医影在线
标题: CT20053:胸部增强请会诊。 [打印本页]
作者: frzh 时间: 2009-5-20 22:41
标题: CT20053:胸部增强请会诊。
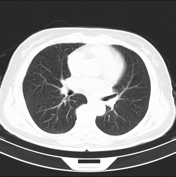
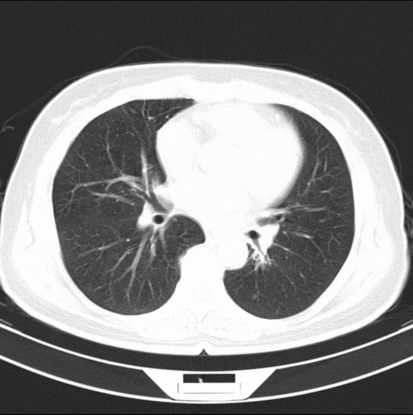
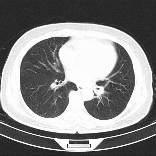
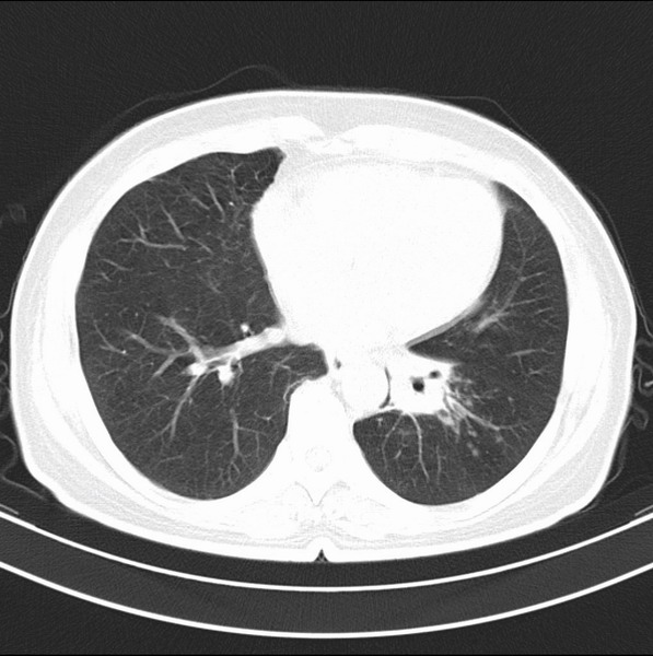
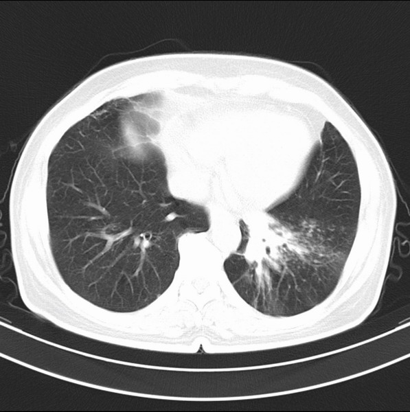
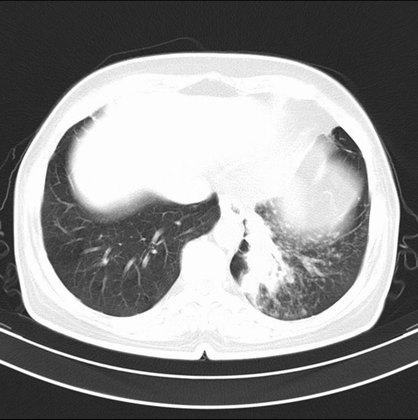
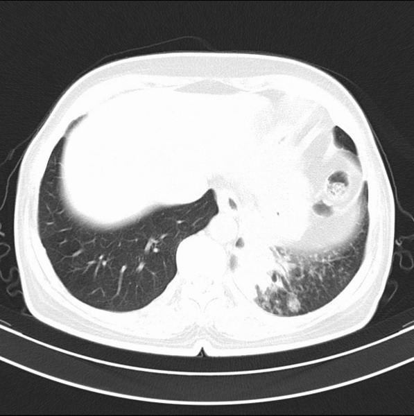
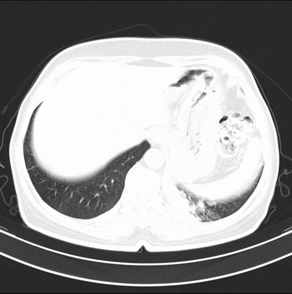
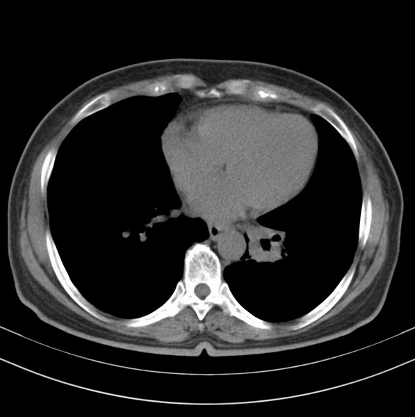
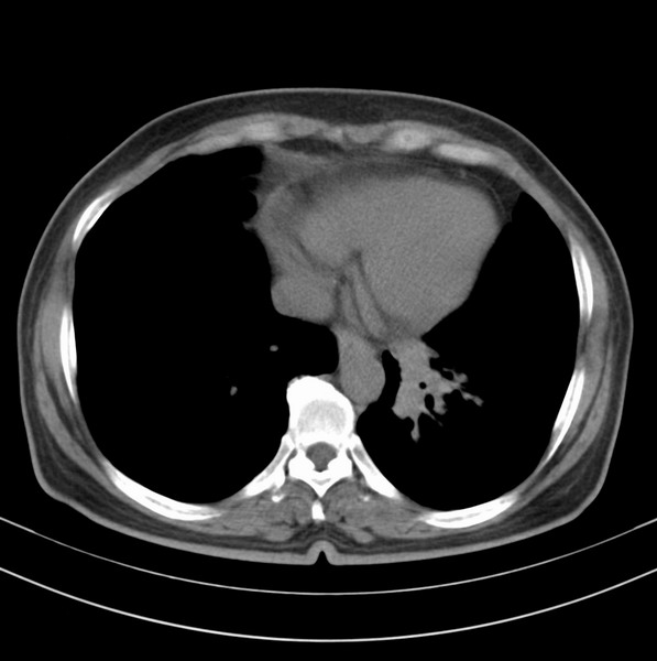
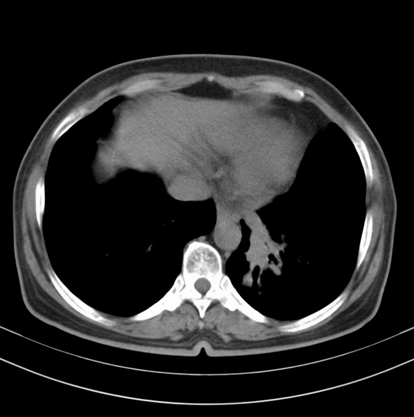
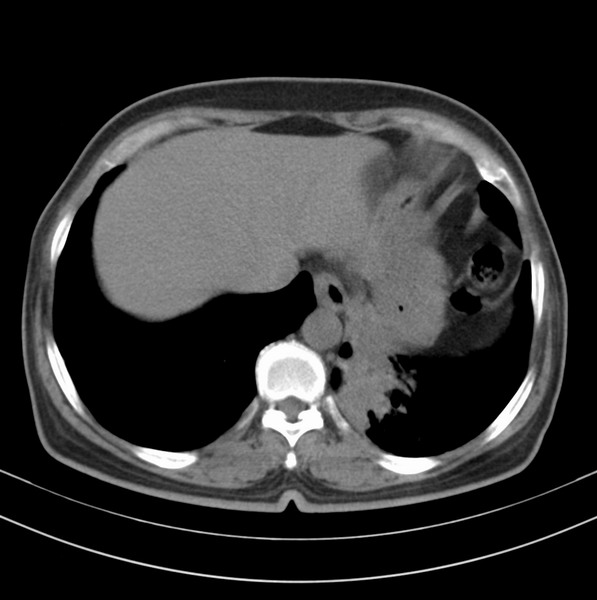
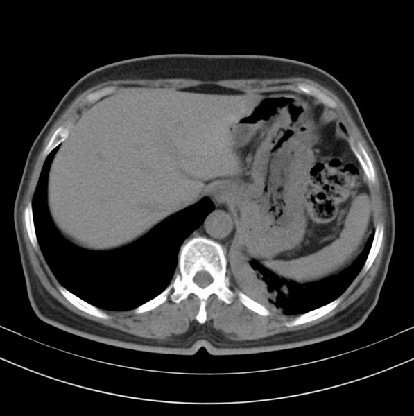
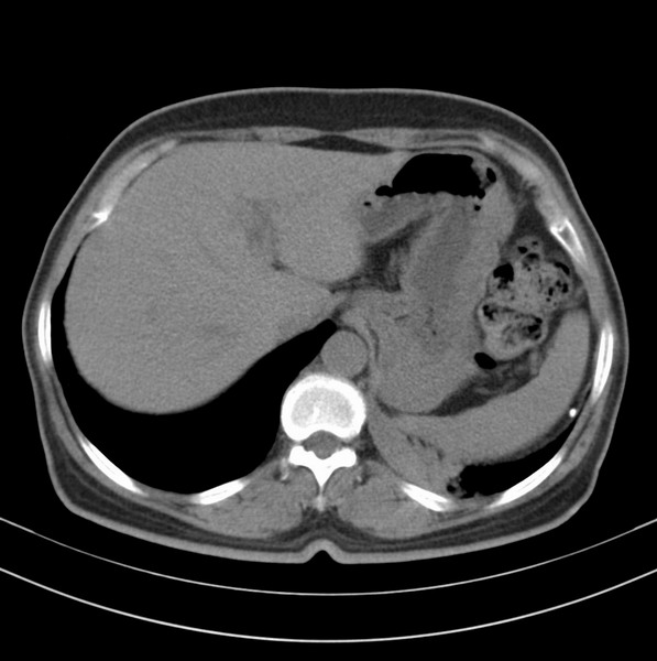
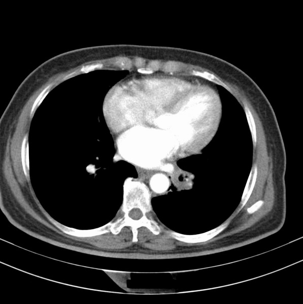
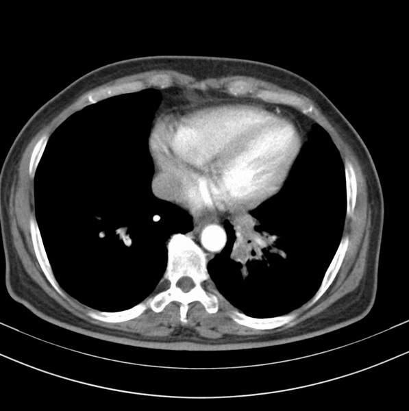
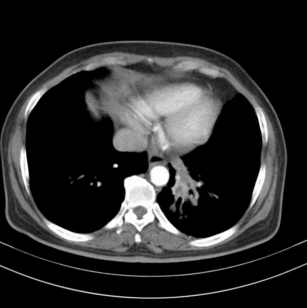
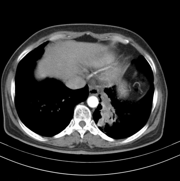
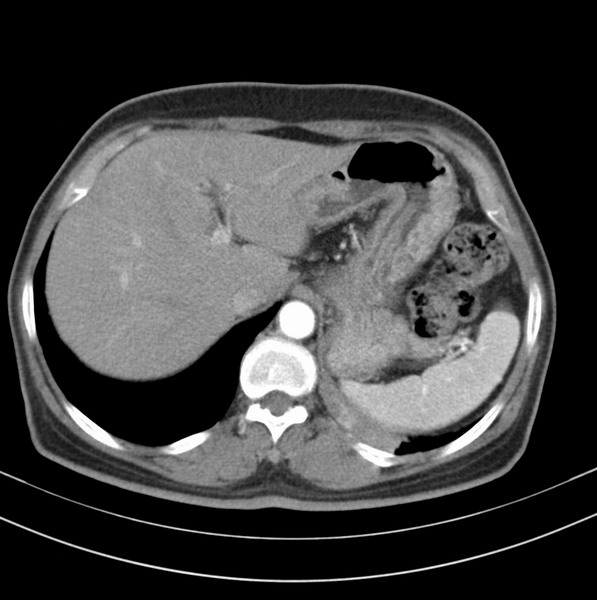
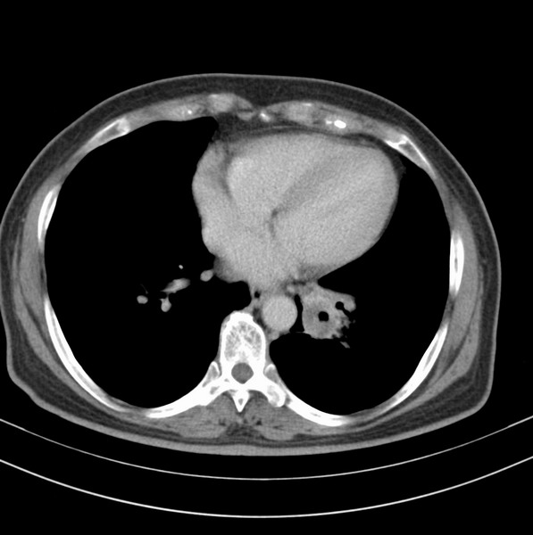
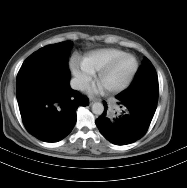
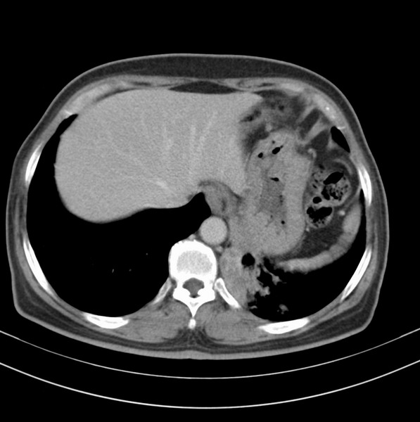
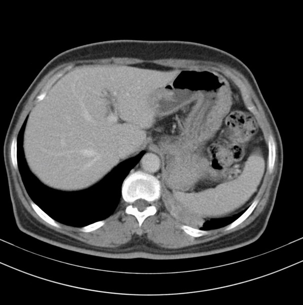
女、63
咳嗽、胸痛四个月






































[本贴已被 frzh 于 2009-5-20 15:05:47 修改过]
[本贴已被 jiajie 于 2009-5-20 19:05:58 修改过]
作者: 边生丽 时间: 2009-5-20 23:14
考虑左下肺中央型肺癌
作者: 岚儿 时间: 2009-5-20 23:23
支持左下中央型肺癌伴阻塞性炎症不张。
作者: 影像孺子牛 时间: 2009-5-20 23:44
支持左下中央型肺癌伴阻塞性炎症不张。
作者: ct诊断高手 时间: 2009-5-20 23:47
支持
作者: 沉默是金 时间: 2009-5-20 23:50
考虑左下肺中央型肺癌伴阻塞性炎症不张
作者: 黄玉龙 时间: 2009-5-20 23:59
支持
作者: 黑白光影 时间: 2009-5-21 00:00
也支持。
作者: 深泽交通 时间: 2009-5-21 00:02
标题: 回复:胸部增强请会诊。
以下是引用岚儿在2009-5-20 15:23:00的发言:[br]支持左下中央型肺癌伴阻塞性炎症不张。
作者: juxl 时间: 2009-5-21 00:03
包绕左下肺基底段的不规则的软组织肿块,段支气管腔变形、狭窄及阻塞性炎症,病变区不规则强化,又是老年女性支持楼上看法。
作者: lxq2000 时间: 2009-5-21 00:17
考虑左下肺中央型肺癌伴阻塞性炎症不张
作者: muzi888 时间: 2009-5-21 00:21
支持左下中央型肺癌伴阻塞性炎症不张。
作者: zjzjr 时间: 2009-5-21 00:30
支持左下中央型肺癌伴阻塞性炎症不张。
作者: chinanyd 时间: 2009-5-21 01:35
支持大家的意见,建议随访
作者: 康鹏 时间: 2009-5-21 01:56
肺癌
作者: 随光逐影 时间: 2009-5-21 03:02
考虑左肺下叶中央型肺癌伴阻塞性肺炎、支气管黏液嵌塞。
作者: 杀毒软件 时间: 2009-5-21 03:04
支持大家的意见
作者: jiahui7z 时间: 2009-5-21 03:05
支持左下中央型肺癌伴阻塞性炎症不张。
作者: 微风佛面 时间: 2009-5-21 03:23
典型病例:左下肺基底段中央型肺癌,相应支气管狭窄并阻塞性炎症
作者: cuixiaoning 时间: 2009-5-21 04:07
支持
作者: qc80012345 时间: 2009-5-21 06:53
支持;左下中央型肺癌伴阻塞性炎症不张。
作者: YRJ0513 时间: 2009-5-21 08:01
支持各位
作者: yuhongjun 时间: 2009-5-21 13:52
支持左下中央型肺癌伴阻塞性炎症不张。
| 欢迎光临 医影在线 (http://bbs.radida.com/bbs/) |
Powered by Discuz! X3.2 |