医影在线
标题: CT20054:女,45岁,几年前有过外伤史及肺结核史 [打印本页]
作者: YRJ0513 时间: 2009-5-20 23:40
标题: CT20054:女,45岁,几年前有过外伤史及肺结核史
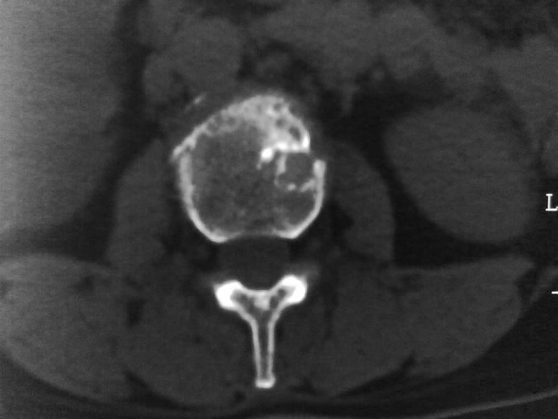
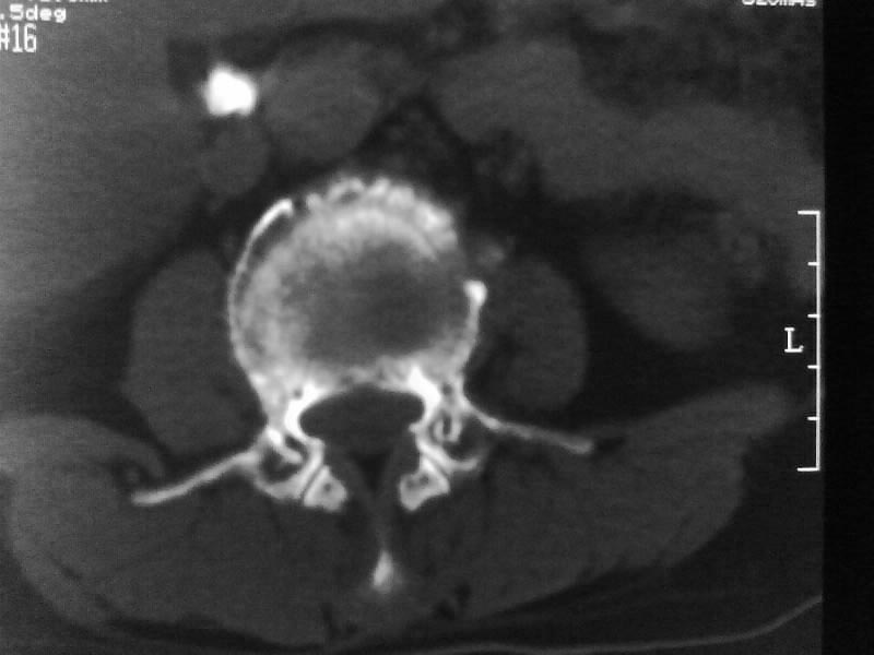
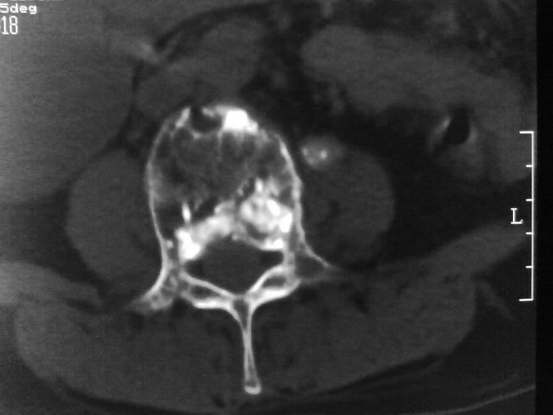
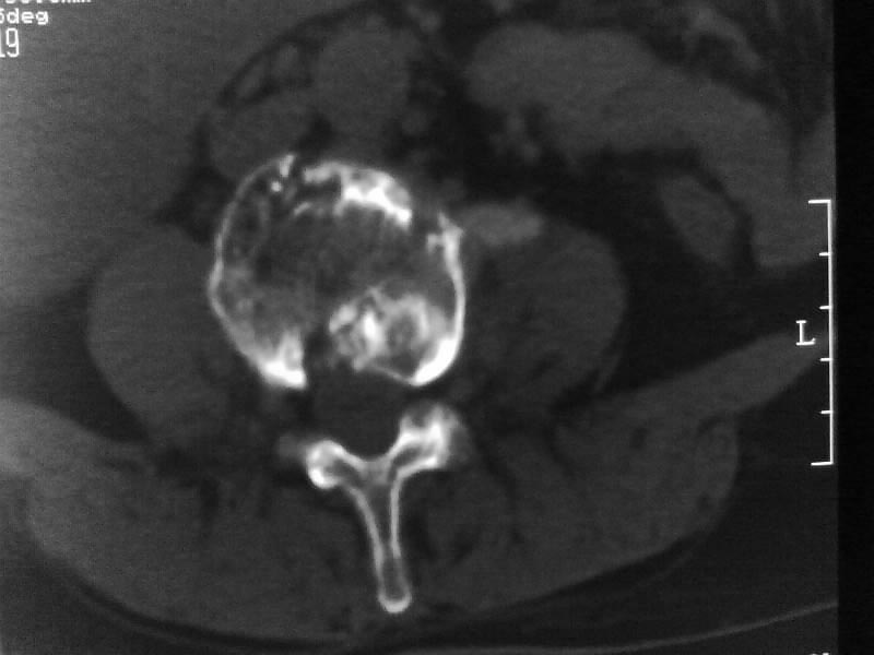
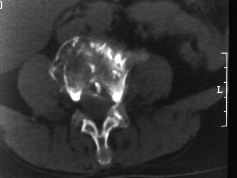
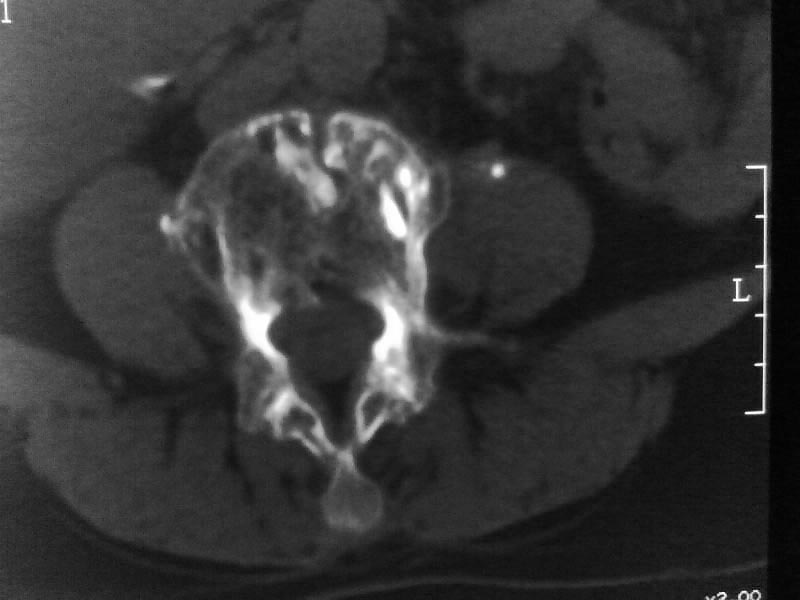
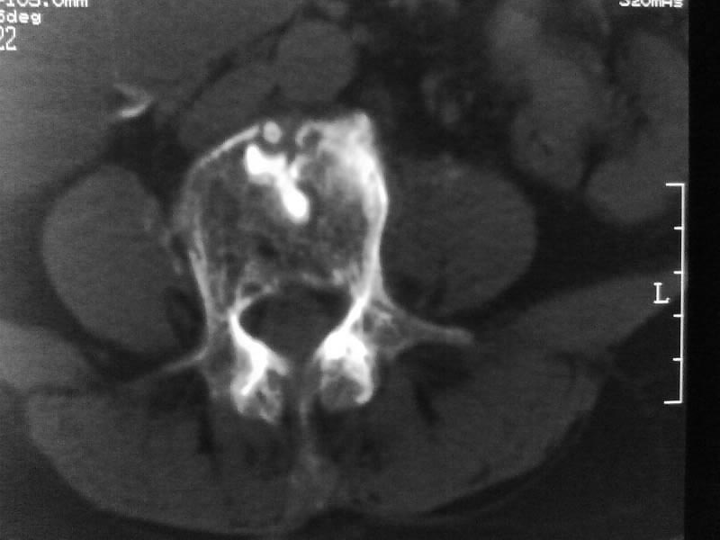
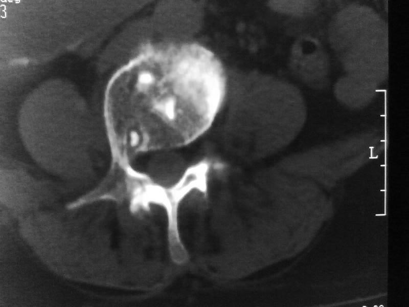
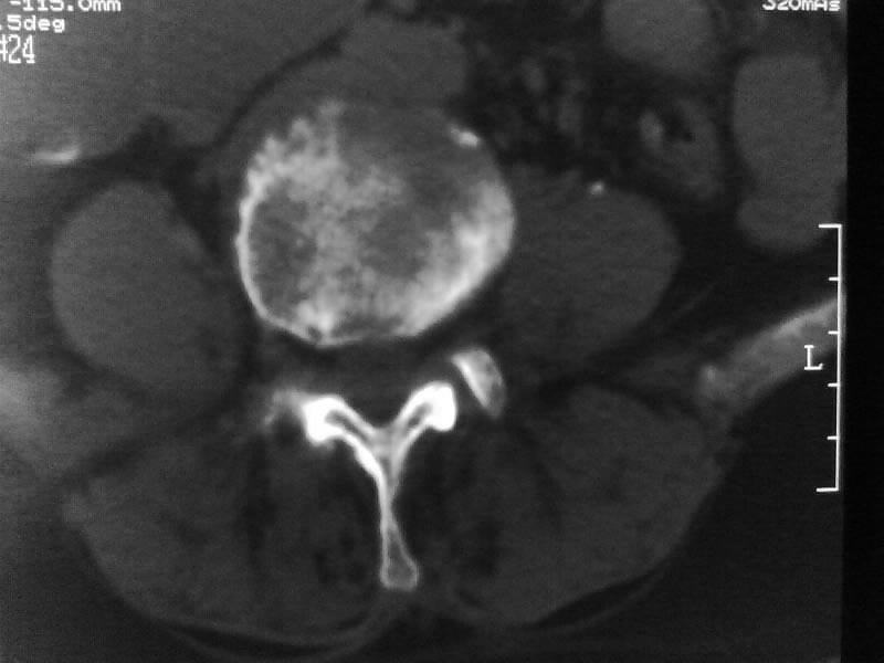
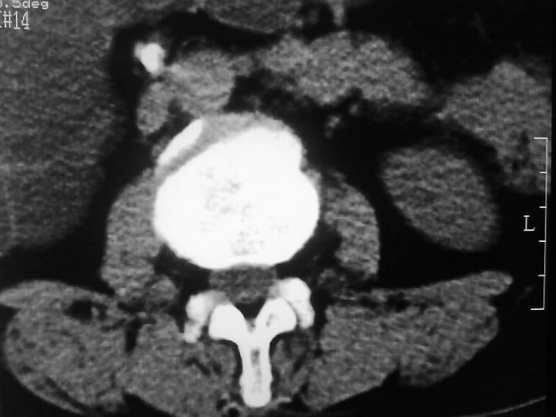
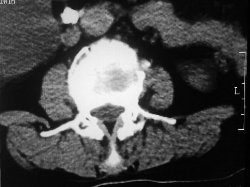
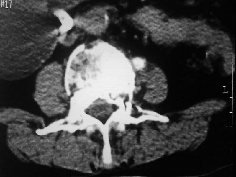
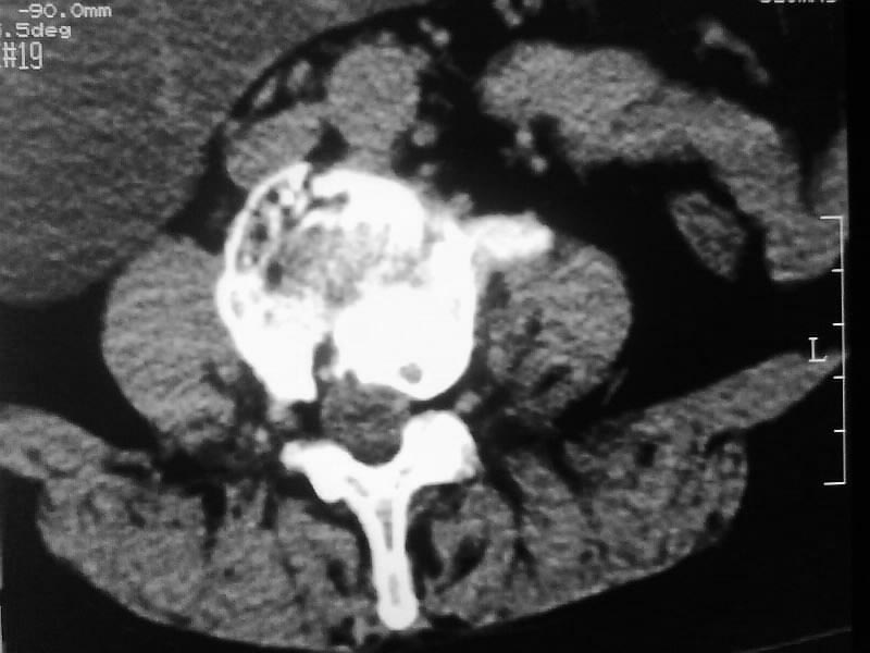
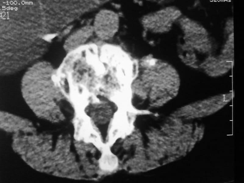
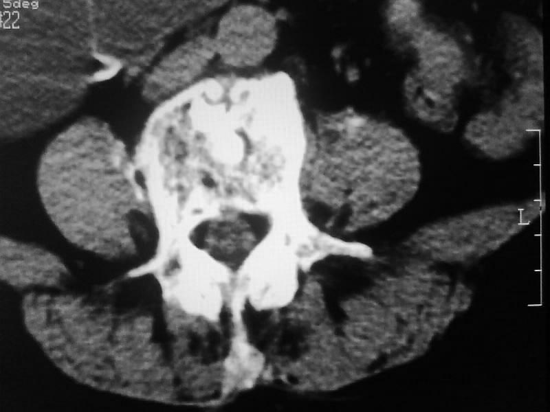
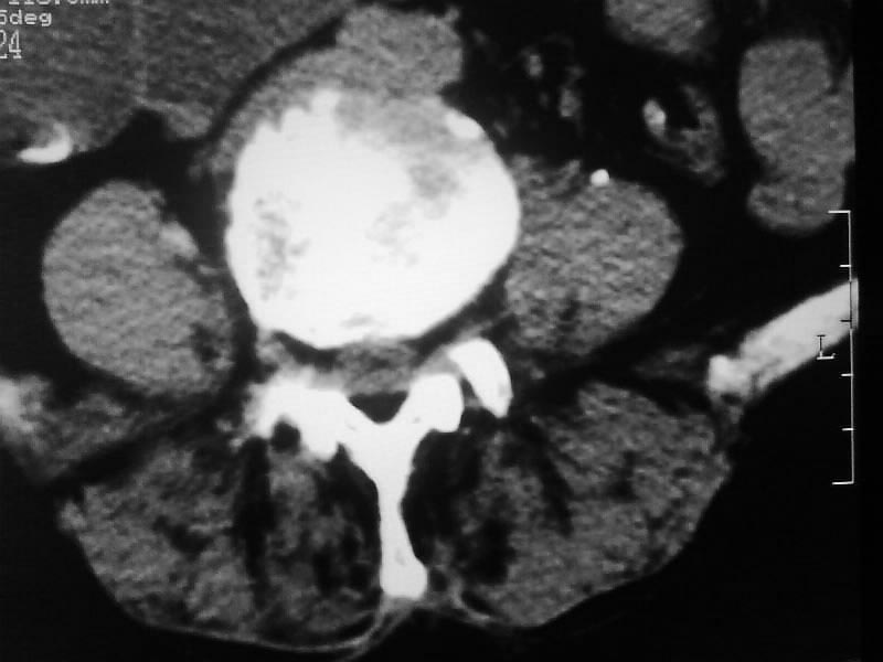
定位相示l2呈楔形改变(ct示陈旧性骨折改变,图像未传),l4.5椎体融合,以下是l4.5ct平扫.请各位看看,




















[本贴已被 jiajie 于 2009-5-20 19:06:23 修改过]
作者: 影像孺子牛 时间: 2009-5-20 23:49
考虑结核(有破坏、硬化及死骨)。
作者: 黑白光影 时间: 2009-5-20 23:54
标题: 。
以下是引用yrj0513在2009-5-20 15:40:00的发言:[br]定位相示l2呈楔形改变(ct示陈旧性骨折改变,图像未传),l4.5椎体融合,以下是l4.5ct平扫.请各位看看,
定位像咋看也是腰一压缩性骨折,因为它上面的一个椎体的肋骨。
1、三四椎体结核,2、水平骶椎。
[本贴已被 黑白光影 于 2009-5-20 15:58:17 修改过]
作者: 黑白光影 时间: 2009-5-20 23:56
标题: 回复

作者: 深泽交通 时间: 2009-5-21 00:00
支持楼主
作者: 岚儿 时间: 2009-5-21 00:09
1、l1压缩性骨折(陈旧性)。
2、l3、4椎体结核。
作者: muzi888 时间: 2009-5-21 00:19
支持!1、l1压缩性骨折(陈旧性)。
2、l3、4椎体结核。(融合)
作者: zjzjr 时间: 2009-5-21 00:34
就是腰1压缩性骨折,腰3\\4椎体结核(融合),水平骶椎.
作者: YRJ0513 时间: 2009-5-21 00:36
是l1压缩,不是l2写错了
作者: 余辉 时间: 2009-5-21 00:55
标题: 回复:女,45岁,几年前有过外伤史及肺结核史
以下是引用zjzjr在2009-5-20 16:34:00的发言:[br]就是腰1压缩性骨折,腰3\\4椎体结核(融合),水平骶椎.
作者: 康鹏 时间: 2009-5-21 01:54
腰1压缩性骨折
腰3、4结核
作者: ncy888888 时间: 2009-5-21 02:29
支持大家的建议
作者: jiahui7z 时间: 2009-5-21 03:01
支持楼主
作者: 杀毒软件 时间: 2009-5-21 03:03
标题: 回复:女,45岁,几年前有过外伤史及肺结核史
以下是引用黑白光影在2009-5-20 15:54:00的发言:[br][quote]以下是引用yrj0513在2009-5-20 15:40:00的发言:[br]定位相示l2呈楔形改变(ct示陈旧性骨折改变,图像未传),l4.5椎体融合,以下是l4.5ct平扫.请各位看看,
[br][br][br]定位像咋看也是腰一压缩性骨折,因为它上面的一个椎体的肋骨。[br]1、三四椎体结核,2、水平骶椎。[br][br][本贴已被 黑白光影 于 2009-5-20 15:58:17 修改过]
[/quote]
支持
作者: chinanyd 时间: 2009-5-21 03:04
顶
作者: 随光逐影 时间: 2009-5-21 03:06
支持 l1椎体陈旧性压缩性骨折;l3、4椎体结核(融合);水平骶椎。
| 欢迎光临 医影在线 (http://bbs.radida.com/bbs/) |
Powered by Discuz! X3.2 |