






























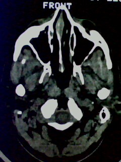
以下是引用余辉在2009-5-20 19:35:00的发言:[br]1)考虑左上颌骨近中线区含牙囊肿。2)鼻中隔右突偏曲。3)双侧下鼻甲肥大。[br]支持,不除外上颌骨正中囊肿,有窦道通鼻前庭,出血可能是内部有感染,图像不是很清,可照个片看一下
以下是引用余辉在2009-5-20 19:35:00的发言:[br]1)考虑左上颌骨近中线区含牙囊肿。2)鼻中隔右突偏曲。3)双侧下鼻甲肥大。[br]支持,不除外上颌骨正中囊肿,有窦道通鼻前庭,出血可能是内部有感染,图像不是很清,可照个片看一下
以下是引用余辉在2009-5-20 19:35:00的发言:[br]1)考虑左上颌骨近中线区含牙囊肿。2)鼻中隔右突偏曲。3)双侧下鼻甲肥大。[br]支持,不除外上颌骨正中囊肿,有窦道通鼻前庭,出血可能是内部有感染,图像不是很清,可照个片看一下
以下是引用余辉在2009-5-20 19:35:00的发言:[br]1)考虑左上颌骨近中线区含牙囊肿。2)鼻中隔右突偏曲。3)双侧下鼻甲肥大。[br]支持,不除外上颌骨正中囊肿,有窦道通鼻前庭,出血可能是内部有感染,图像不是很清,可照个片看一下
以下是引用余辉在2009-5-20 19:35:00的发言:[br]1)考虑左上颌骨近中线区含牙囊肿。2)鼻中隔右突偏曲。3)双侧下鼻甲肥大。[br]支持,不除外上颌骨正中囊肿,有窦道通鼻前庭,出血可能是内部有感染,图像不是很清,可照个片看一下
以下是引用随光逐影在2009-5-20 19:22:00的发言:[br]1)考虑左上颌骨近中线区含牙囊肿。2)鼻中隔右突偏曲。3)双侧下鼻甲肥大。
以下是引用随光逐影在2009-5-20 19:22:00的发言:[br]1)考虑左上颌骨近中线区含牙囊肿。2)鼻中隔右突偏曲。3)双侧下鼻甲肥大。
| 欢迎光临 医影在线 (http://bbs.radida.com/bbs/) | Powered by Discuz! X3.2 |