


















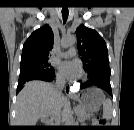
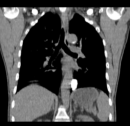
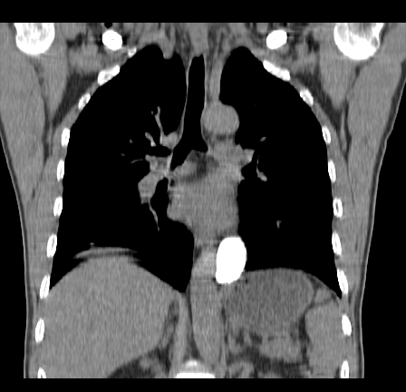
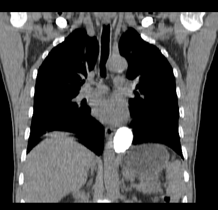
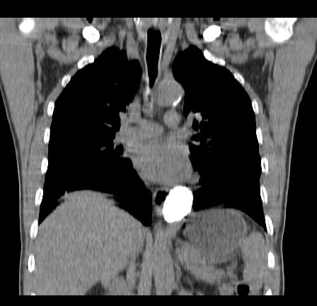
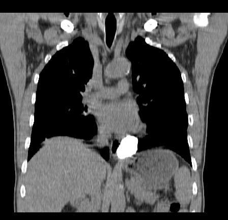
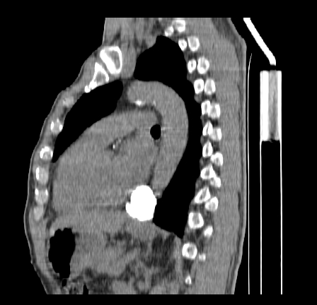
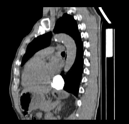
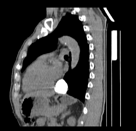
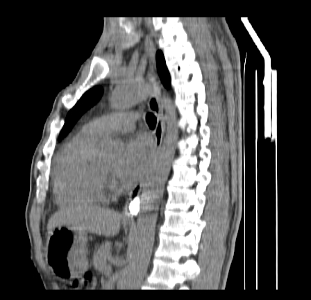
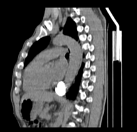
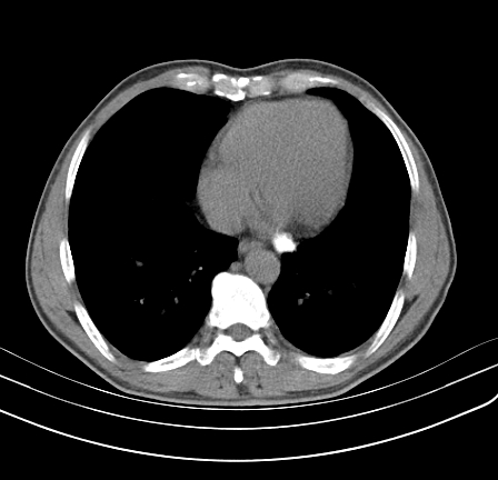
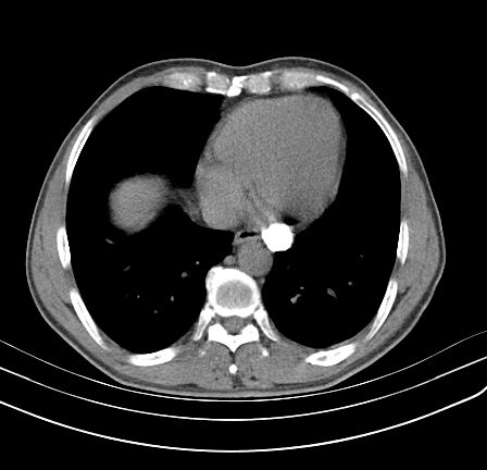
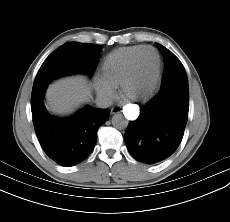
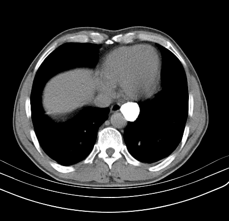
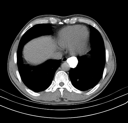
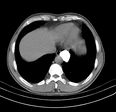
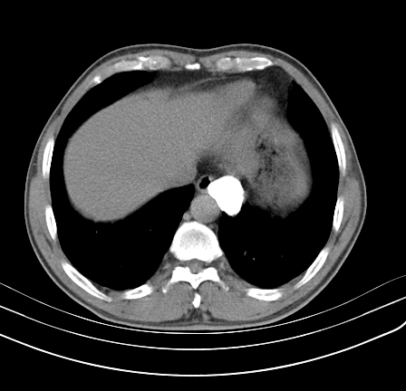
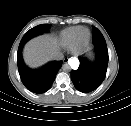
以下是引用影像孺子牛在2009-5-20 23:18:00的发言:[br]左侧后心膈角处类椭圆形钙化灶,最常见的是淋巴结钙化,但太大了不支持,其它如食管囊肿钙化、实性畸胆瘤等。何东西钙化真不好定。
以下是引用zbp537在2009-5-20 20:52:00的发言:[br]钙化灶,来源不好说。
以下是引用ct诊断高手在2009-5-20 22:06:00的发言:[br]大家说的都有道理
| 欢迎光临 医影在线 (http://bbs.radida.com/bbs/) | Powered by Discuz! X3.2 |