医影在线
标题: 20103:小脑 [打印本页]
作者: ysxyy 时间: 2009-5-23 01:16
标题: 20103:小脑
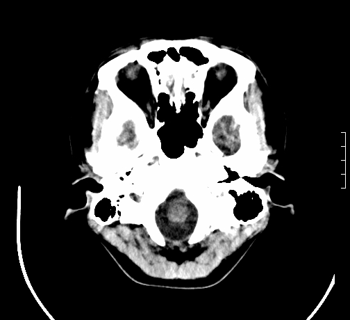
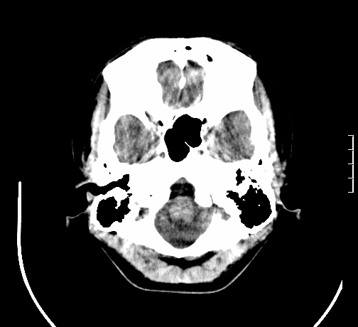
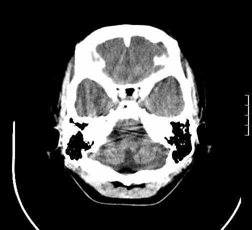
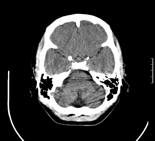
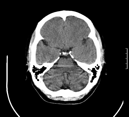
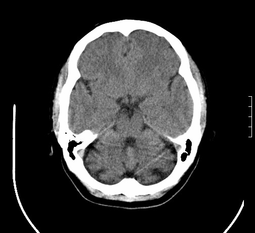
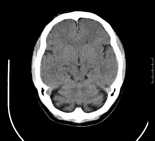
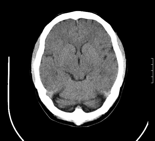
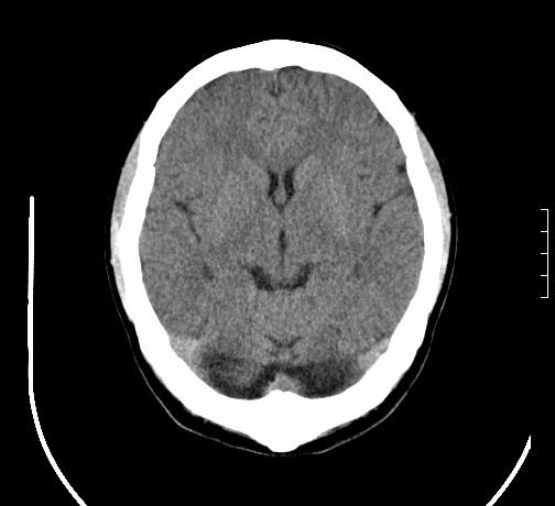
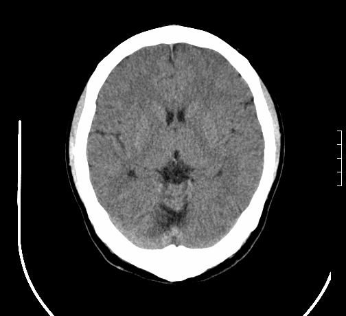
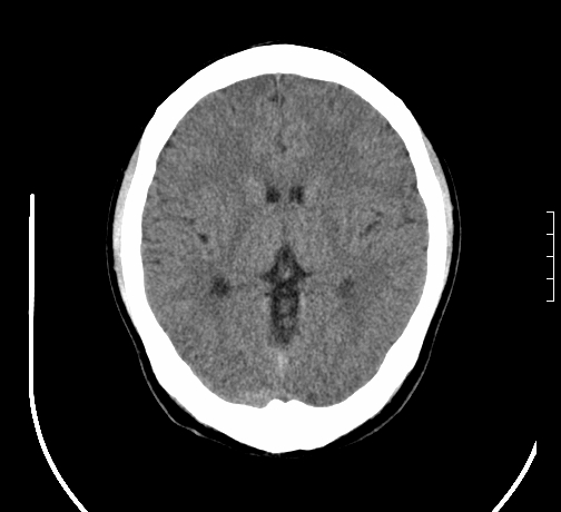
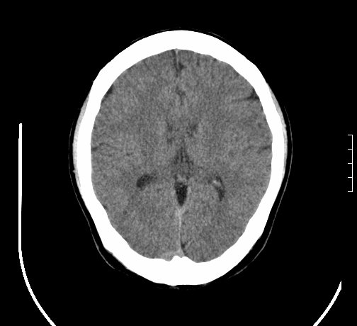
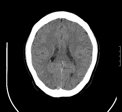
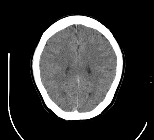
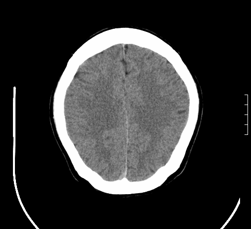
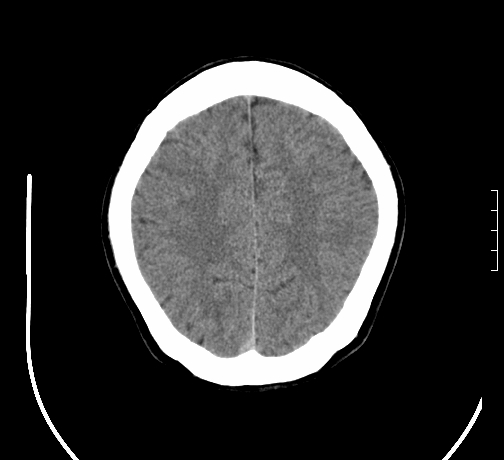
女,28岁,幼时有癫痫,常有发作,服药后可几月不发作,走路不稳3-4月,加重一月。

















[本贴已被 ysxyy 于 2009-5-22 17:25:44 修改过]
[本贴已被 翁志蓬 于 2009-5-22 23:47:32 修改过]
作者: bmw011 时间: 2009-5-23 01:22
小脑发育畸形?
作者: 随光逐影 时间: 2009-5-23 01:38
小脑萎缩。
作者: ct诊断高手 时间: 2009-5-23 02:00
标题: 回复:小脑
以下是引用随光逐影在2009-5-22 17:38:00的发言:[br]小脑萎缩。
作者: zjzjr 时间: 2009-5-23 02:20
考虑小脑发育不良,建议mri检查。
作者: 学无崖 时间: 2009-5-23 02:42
标题: 回复:小脑
以下是引用zjzjr在2009-5-22 18:20:00的发言:[br]考虑小脑发育不良,建议mri检查。
作者: 余辉 时间: 2009-5-23 03:00
这个比较麻烦
患者出现走路不稳是近几个月的事,而癫痫则有幼时就有,常发,则会常服药,癫痫药可引起小脑综合症,小脑萎缩,而小脑发育不良的主要症状不是癫痫
考虑癫痫,长期间断发服抗癫药,导致小脑综合症,小脑萎缩
不知现在还有没有癫痫,应该另有致痫灶,进一步检查。
作者: 卜一 时间: 2009-5-23 04:10
考虑小脑发育不良伴小脑萎缩,建议mri检查。
作者: chinanyd 时间: 2009-5-23 04:13
顶
作者: pujunzhi 时间: 2009-5-23 04:20
小脑萎缩,原因待查,建议mri检查。
作者: 黑白光影 时间: 2009-5-23 05:52
考虑小脑发育不良,建议mri检查。
作者: 987654zwf 时间: 2009-5-23 20:01
考虑小脑发育不良伴小脑萎缩,建议mri检查
作者: 513ytb 时间: 2009-6-21 07:33
小脑萎缩。
作者: zb5205 时间: 2009-7-30 19:45
考虑小脑发育不良伴小脑萎缩,建议mri检查。
作者: zxl51642 时间: 2009-7-31 01:18
以下是引用zjzjr在2009-5-22 18:20:00的发言:
考虑小脑发育不良,建议mri检查。
作者: 初学者LANMEI 时间: 2009-7-31 01:39
考虑小脑发育不良伴小脑萎缩,建议mri检查。
作者: 许山 时间: 2009-7-31 03:11
考虑药物性小脑萎缩
作者: zbp537 时间: 2009-7-31 04:18
小脑萎缩。
作者: mlfx123321 时间: 2009-8-8 11:09
小脑发育不良
作者: dr.yang 时间: 2013-3-11 22:20
考虑小脑发育不良,建议mri检查。
| 欢迎光临 医影在线 (http://bbs.radida.com/bbs/) |
Powered by Discuz! X3.2 |