医影在线

标题: CT20123:女性患者,42岁,阻塞性黄疸7天,既往史:两年前因 [打印本页]

作者: 无知    时间: 2009-5-24 00:22
标题: CT20123:女性患者,42岁,阻塞性黄疸7天,既往史:两年前因
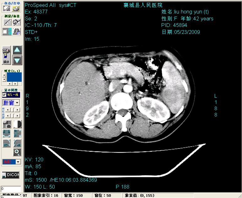
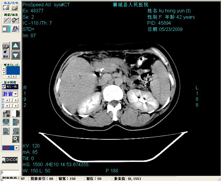
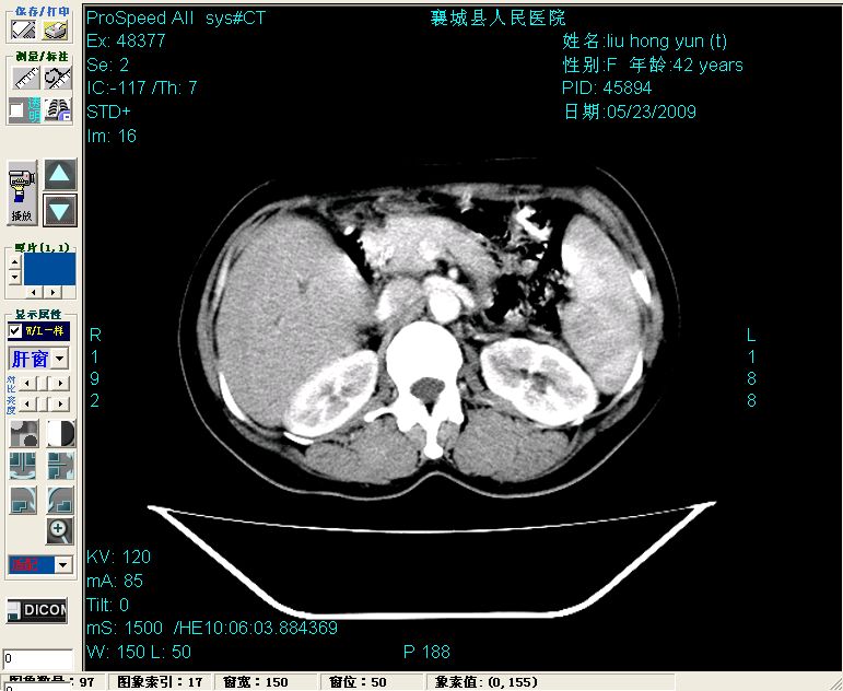
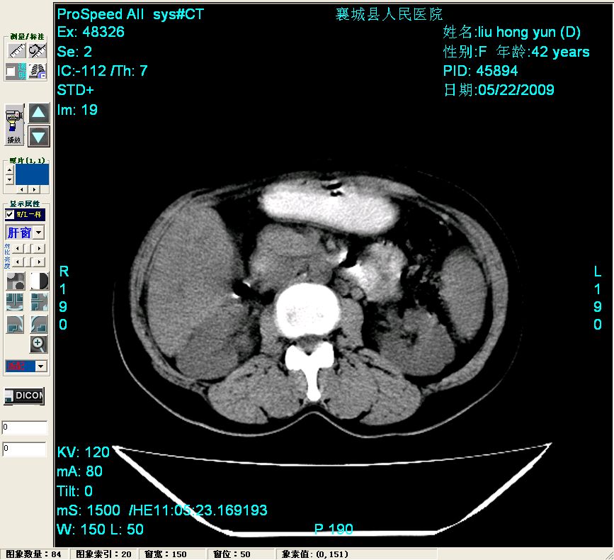
平扫:





















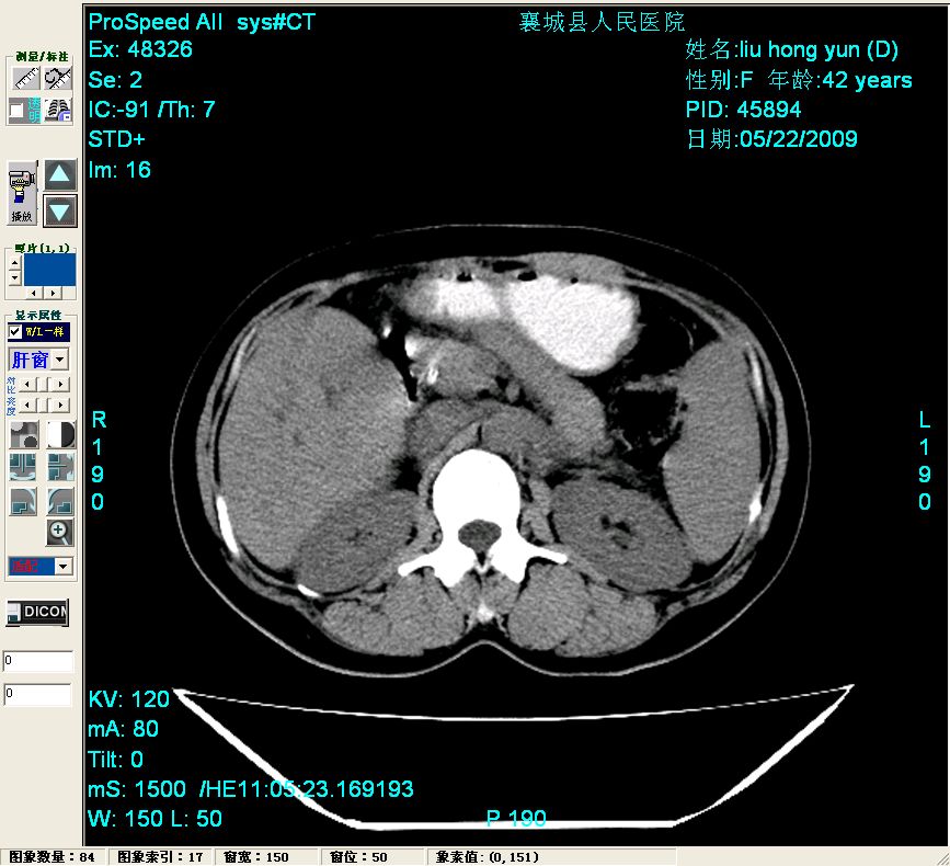
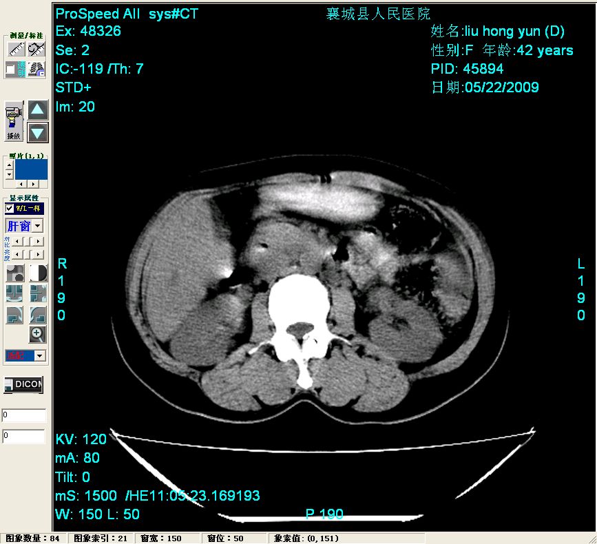
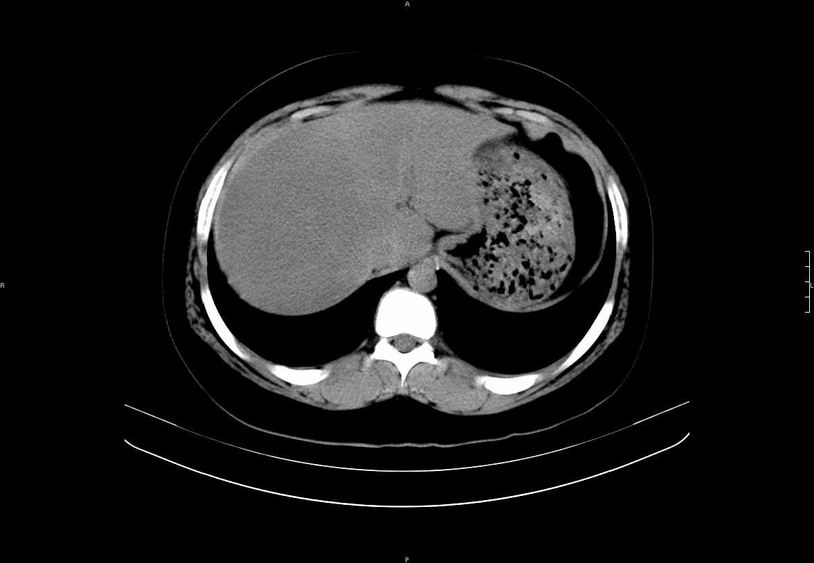
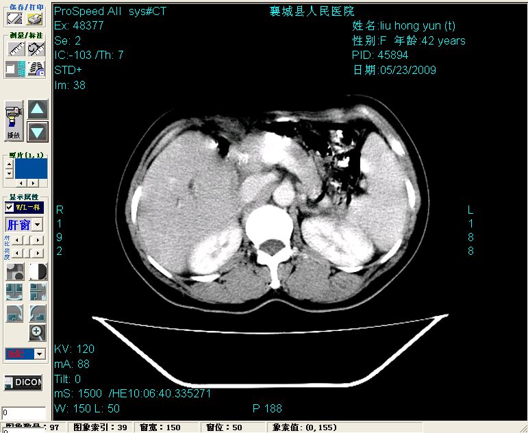
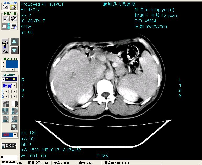
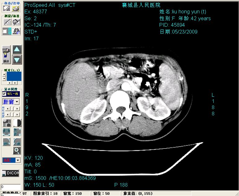
增强:





























































[本贴已被 翁志蓬 于 2009-5-23 21:34:11 修改过]

作者: 余辉    时间: 2009-5-24 00:57
肝脏乱像从生啊
平扫左肝外叶体积显著减小,左肝外叶见多房囊性低密度区,左肝实质及右肝前叶浅表实质呈低密度改变,左肝及右肝前叶胆管扩张,脾大
增强动脉期前述低密度区轻度早其强化,门脉期强化程度显著增高,延期扫描强化程度下降,但仍为相对高密度影
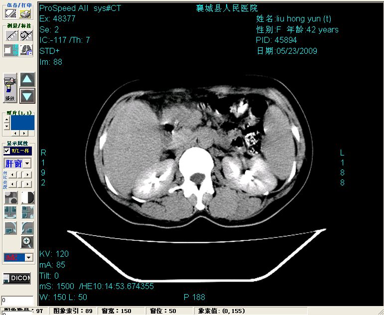
胰头部见结节状高密度影,其前方略可分辨扩强胆部管,平扫到增强始终有,但现在尚难与胃肠造影剂鉴别.
结合病史考虑,1现在引起黄疸体征的原因应该是胆总管胰段结石阻塞,建议局部胃肠造影剂排空后复查.
                   2左肝及右肝前叶表现考虑胆囊摘除术后所致的肝动门脉瘘形成,慢性纤维组织炎性增生.不完全除外左肝胆管细胞癌
             3脾大,可能与动门脉瘘所致门脉高压有关
作者: 卜一    时间: 2009-5-24 00:57
胆总管末端结石伴肝内胆管扩张合并结石!另:不除外合并胆系感染!
作者: bmw011    时间: 2009-5-24 01:06
支持二楼。
作者: ct诊断高手    时间: 2009-5-24 01:08
支持楼上两位
作者: 微风佛面    时间: 2009-5-24 01:37
考虑:1、胆道结石伴肝内胆管扩张、积气;胆系感染!2、从平扫、增强片来看,不存在胆管肿瘤征象;3、提介建议:作为影像医师,在做一项检查之前应先熟悉临床医生的目的,象这个病例,检查前就不应喝高密度造影剂,而应充分喝好水就可,要不适得其反,反而较难判断胆总管下段是否有结石。
作者: ncy888888    时间: 2009-5-24 02:10
脂肪肝
胆管细胞癌可能性大
作者: 黑白光影    时间: 2009-5-24 05:51
胆总管末端结石伴肝内胆管扩张合并结石!另:不除外合并胆系感染!
作者: dsl555    时间: 2009-5-24 06:13
支持二楼
作者: 随光逐影    时间: 2009-5-24 07:47
1)肝内胆管结石,胆总管末端结石伴肝内胆管扩张。2)肝左叶及肝右叶前段增强前后之异常表现,考虑炎性改变,不排除胆管细胞癌。
作者: yuhongjun    时间: 2009-5-24 13:57
支持余版主。
作者: LIAOQIANG    时间: 2009-5-25 17:28
1)肝内胆管结石,胆总管末端结石伴肝内胆管扩张。2)肝左叶及肝右叶前段增强前后之异常表现,考虑炎性改变,不排除胆管细胞癌。3)脾大。
作者: dr.yang    时间: 2012-7-2 23:21
支持楼上




欢迎光临 医影在线 (http://bbs.radida.com/bbs/) Powered by Discuz! X3.2