医影在线
标题: CT20128:肝脏病灶增强 [打印本页]
作者: 懒娃娃 时间: 2009-5-24 02:07
标题: CT20128:肝脏病灶增强
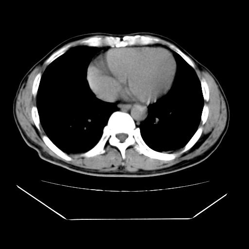
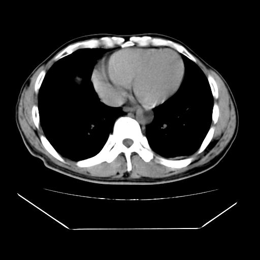
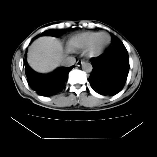
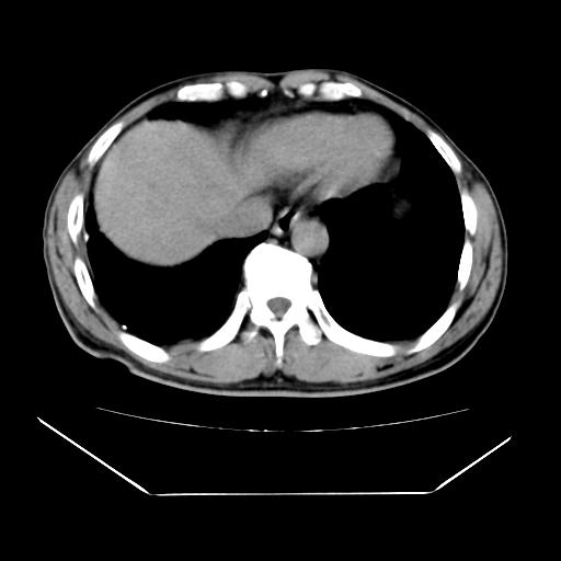
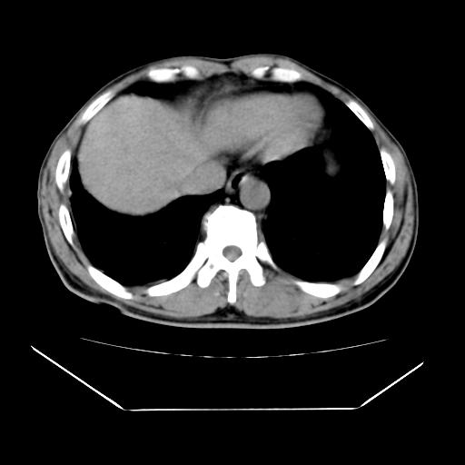
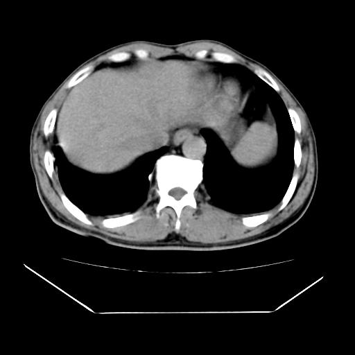
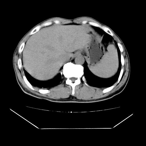
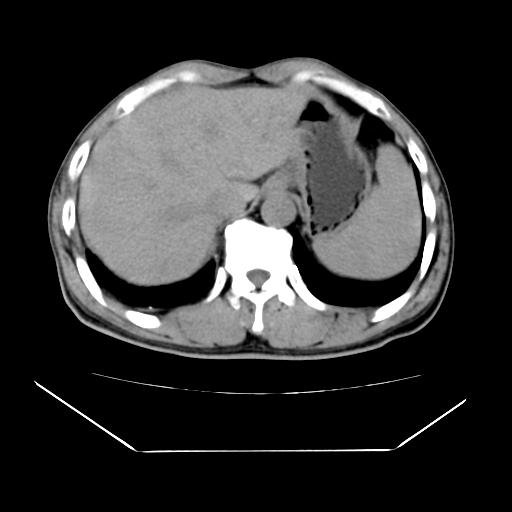
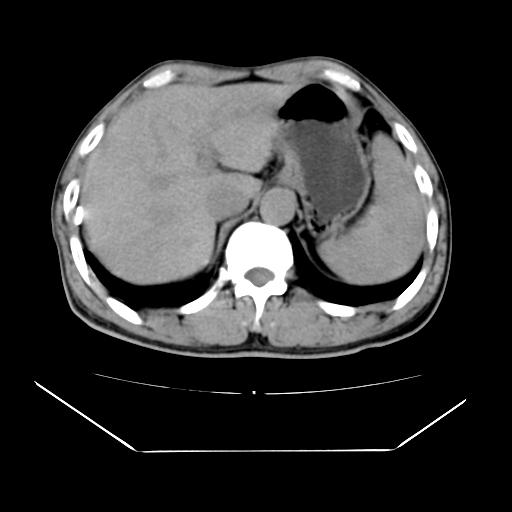
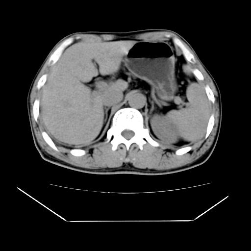
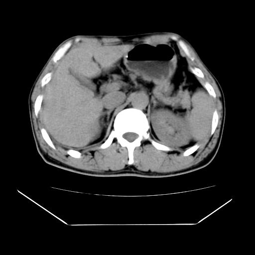
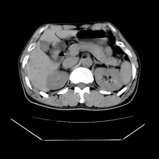
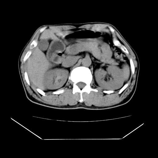
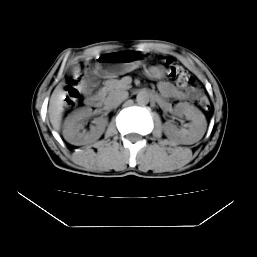
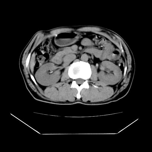
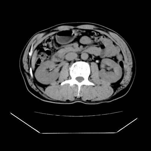
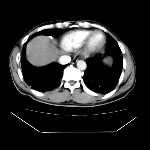
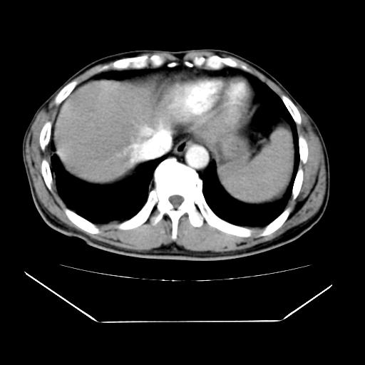
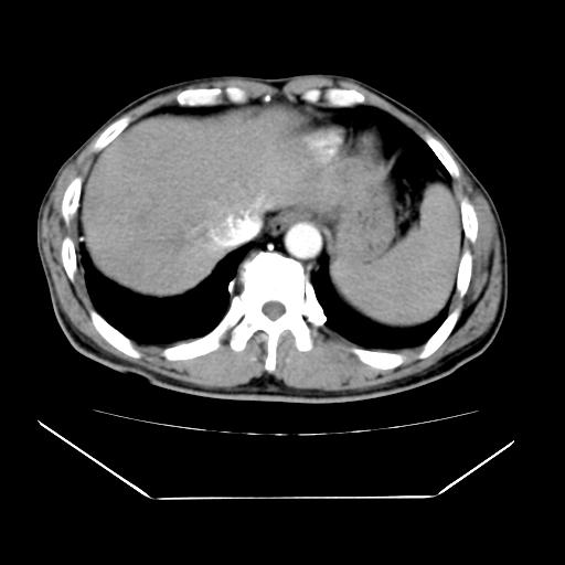
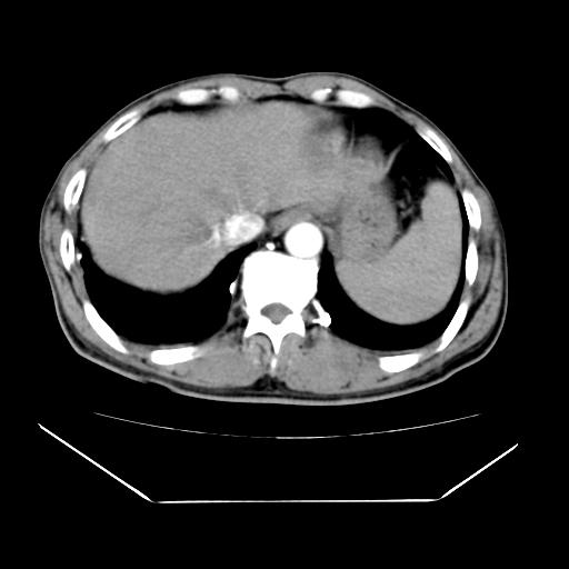
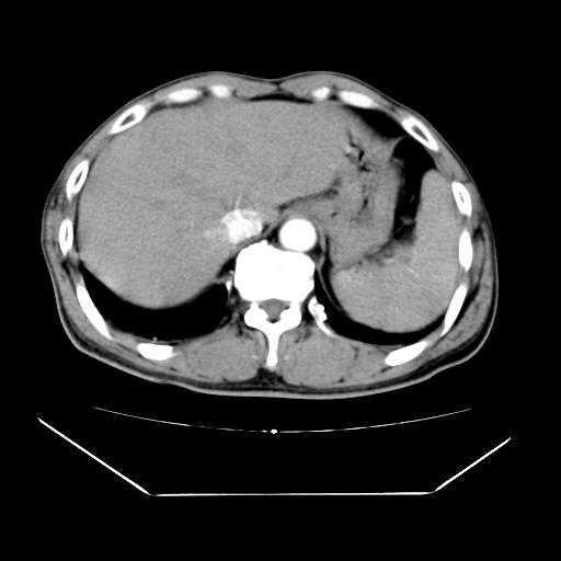
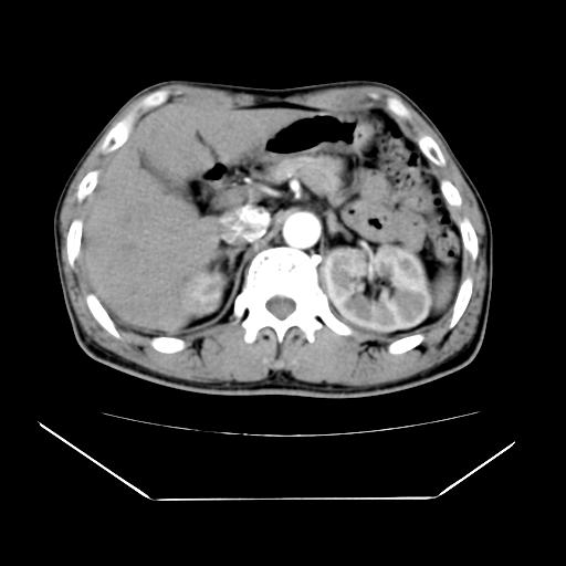
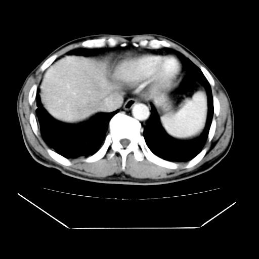
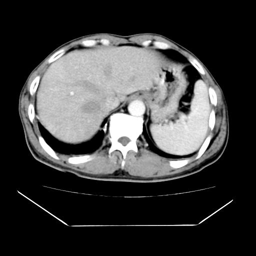
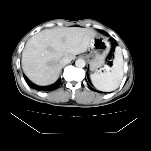
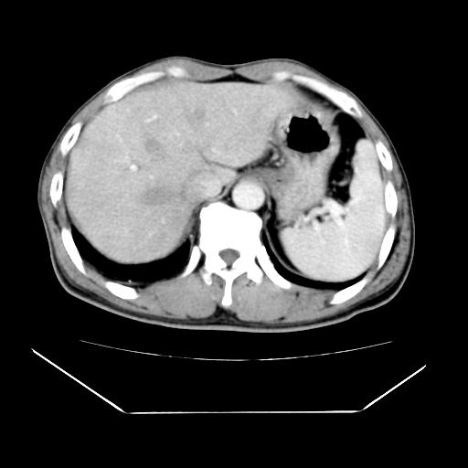
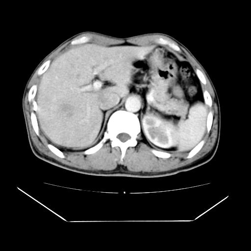
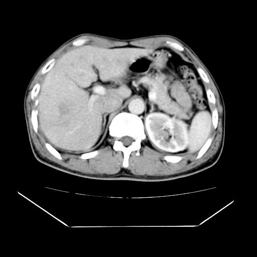
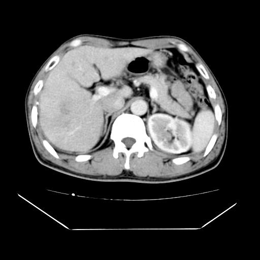
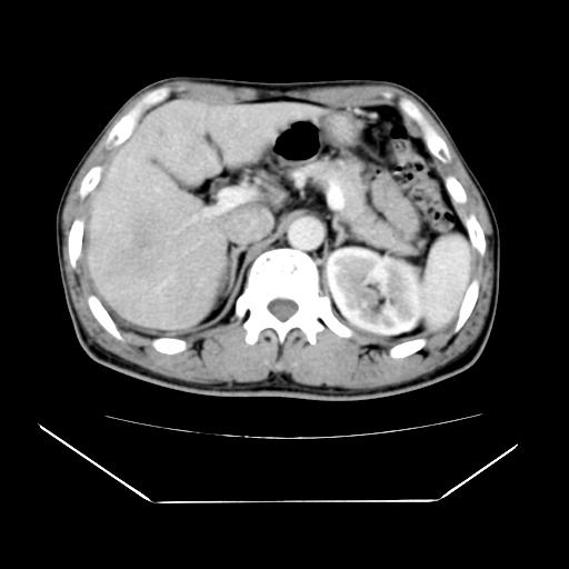
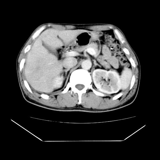
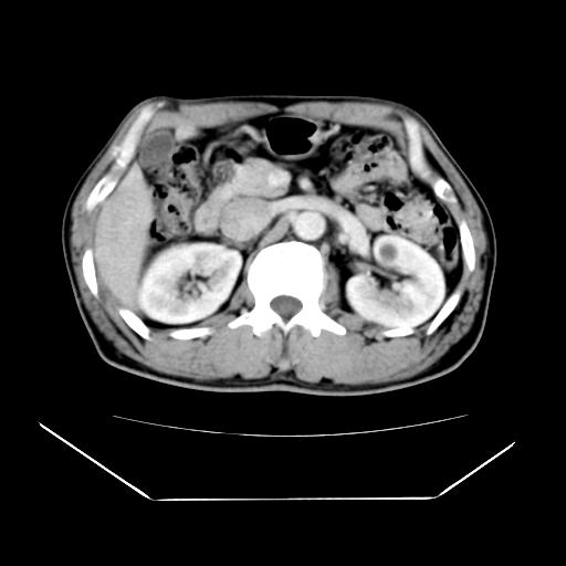
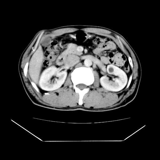
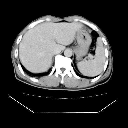
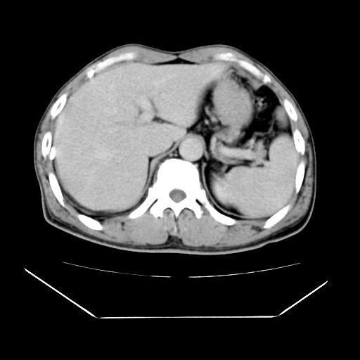
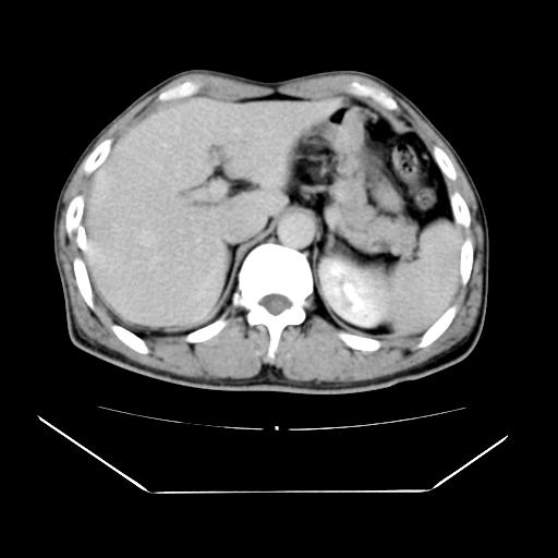
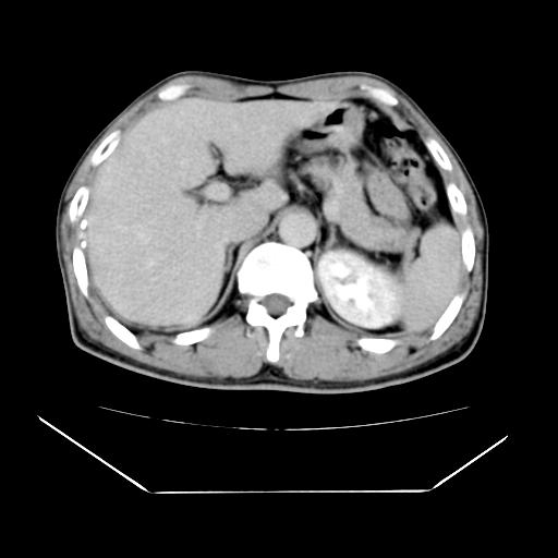
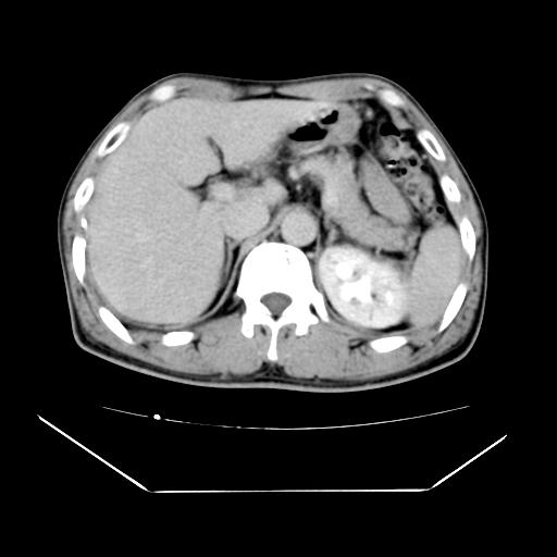
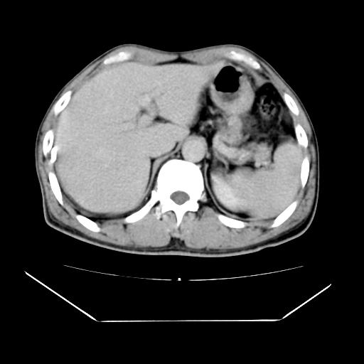
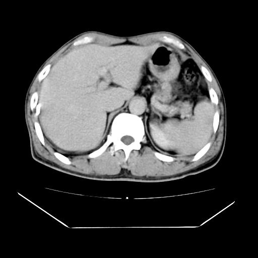
男性,55岁,外院体检afp明显升高,但b超未发现异常,否认乙肝病史。来我院ct增强。有延时扫描。











































































[本贴已被 翁志蓬 于 2009-5-23 21:46:20 修改过]
作者: 懒娃娃 时间: 2009-5-24 02:11
标题: 建议磁共振检查
[em1]
[本贴已被 懒娃娃 于 2009-5-23 18:12:53 修改过]
作者: 奋进者 时间: 2009-5-24 03:02
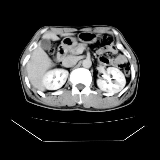
肝脏未见明显异常。
作者: zjzjr 时间: 2009-5-24 04:11
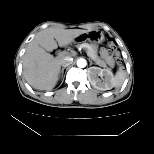
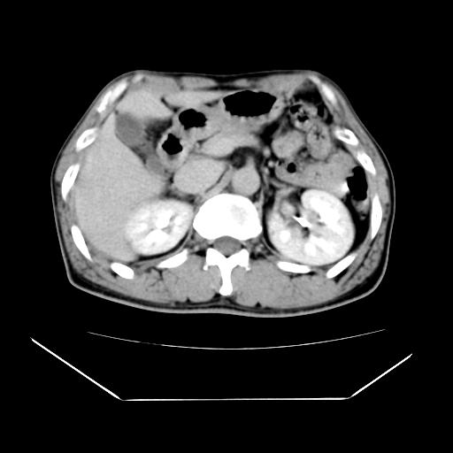
左肾囊肿.右肺中叶内侧段钙化灶.慢性胆囊炎.
作者: liuyue 时间: 2009-5-24 04:14
肝脏未见明显异常。
作者: 卜一 时间: 2009-5-24 04:15
肝脏未见明显异常!
作者: yangyang2000 时间: 2009-5-24 04:17
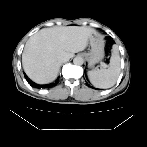
延时扫描完全充填,血管瘤
作者: 余辉 时间: 2009-5-24 04:23
肝脏未见明显异常!
作者: 黄毛小子 时间: 2009-5-24 04:29
标题: 回复:肝脏病灶增强
以下是引用yangyang2000在2009-5-23 20:17:00的发言:[br]延时扫描完全充填,血管瘤
作者: 迎客松abc 时间: 2009-5-24 04:47
肝脏右叶动脉期可见低密度影,至延迟期被充填,考虑血管瘤可能性大。
作者: lrj 时间: 2009-5-24 05:34
上腹部ct平扫+增强未见明确异常
作者: zsl6918 时间: 2009-5-24 05:37
大致正常所见吧
作者: 黑白光影 时间: 2009-5-24 06:04
标题: 回复:ct20128:肝脏病灶增强
以下是引用yangyang2000在2009-5-23 20:17:00的发言:[br]延时扫描完全充填,血管瘤
作者: 懒娃娃 时间: 2009-5-24 06:31
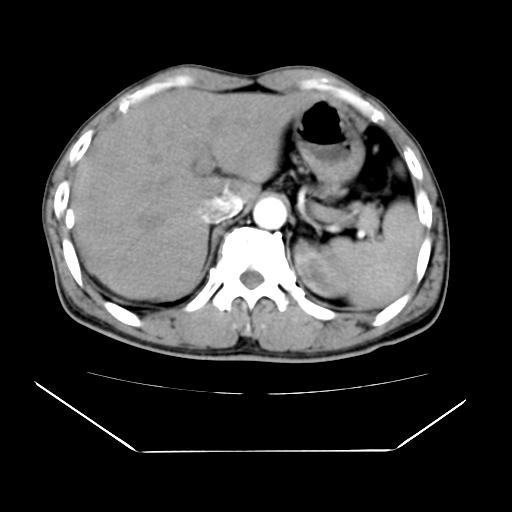
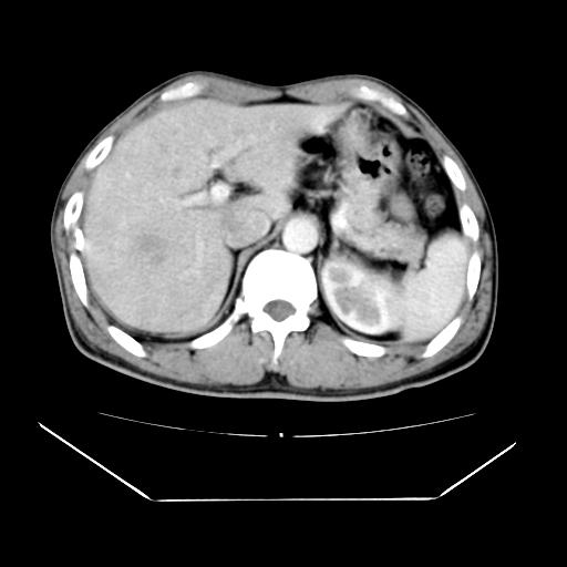
标题: 肝右叶病灶强化
肝右叶病灶


[本贴已被 懒娃娃 于 2009-5-23 22:32:33 修改过]
作者: 草之原 时间: 2009-5-24 06:53
肝脏平扫+增强;ct扫描未见明显异常。
作者: 随光逐影 时间: 2009-5-24 07:57
不排除肝右叶肝癌可能。
作者: yuhongjun 时间: 2009-5-24 13:46
不排除肝右叶肝癌可能。
作者: 余辉 时间: 2009-5-24 16:58
这个不是肝右静脉吗,这么大的病灶b超不可能发现不了吧
如果这个是癌灶的话则下腔静脉有瘤栓可能
作者: 自贡刘剑 时间: 2009-5-24 17:56
肝6段血管瘤
作者: huangyinshan 时间: 2009-5-24 18:19
血管瘤可能性大。
作者: zjzjr 时间: 2009-5-24 21:00
是肝右静脉吧
作者: chinanyd 时间: 2009-5-25 00:04
肝脏未见异常
作者: LIAOQIANG 时间: 2009-5-25 17:17
ct平扫和增强:肝脏未见确切异常。
作者: dr.yang 时间: 2012-7-2 23:25
考虑肝右静脉影。
| 欢迎光临 医影在线 (http://bbs.radida.com/bbs/) |
Powered by Discuz! X3.2 |