医影在线

标题: CT20133:病史不详,右侧尾状核病灶出血,第二天做了颅脑CT增强 [打印本页]

作者: z13511933102z    时间: 2009-5-24 04:41
标题: CT20133:病史不详,右侧尾状核病灶出血,第二天做了颅脑CT增强
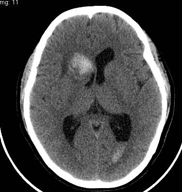
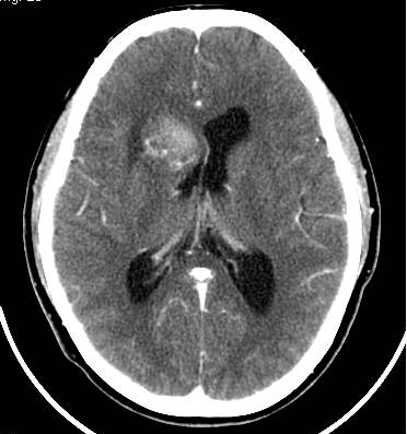
病史不详,右侧尾状核病灶出血,第二天做了颅脑ct增强,请大家帮忙看看如何诊断,谢谢!



[本贴已被 翁志蓬 于 2009-5-23 21:55:27 修改过]

作者: 余辉    时间: 2009-5-24 05:10
支持考虑右侧尾状核头(或侧室前角室管膜下)出血,左侧室枕角有高密度影,考虑出血破入脑室
作者: lrj    时间: 2009-5-24 05:21
右侧尾状核头部出血破入脑室!
作者: zsl6918    时间: 2009-5-24 05:22
右侧尾状核头部出血破入脑室
作者: 影象小泰斗    时间: 2009-5-24 05:54
右侧尾状核出血破入脑室.
作者: SCW007    时间: 2009-5-24 05:57
支持,右侧尾状核头破入脑室系统
作者: ct诊断高手    时间: 2009-5-24 06:02
支持大家
作者: dsl555    时间: 2009-5-24 06:02
右侧尾状核头部出血破入脑室
作者: 黑白光影    时间: 2009-5-24 06:14
支持右侧尾状核头部出血破入脑室
作者: 随光逐影    时间: 2009-5-24 08:08
支持 右侧尾状核头部出血破入脑室。
作者: peijunlong    时间: 2009-5-24 08:11
增强:前部还是原先出血病灶,后方强化的似为异常的血管显影。
作者: yuhongjun    时间: 2009-5-24 13:42
支持 右侧尾状核头部出血破入脑室。
作者: zgjldq    时间: 2009-5-24 15:51
支持 右侧尾状核头部出血破入脑室
作者: 卜一    时间: 2009-5-24 16:00
右侧尾状核头部出血破入脑室!支持!
作者: 观影朔征    时间: 2009-5-24 17:01
右侧尾状核头部出血破入脑室!支持!
作者: jiahui7z    时间: 2009-5-24 17:01
右侧尾状核头部出血破入脑室!支持!
作者: dr.yang    时间: 2009-5-24 17:20
支持,右侧尾状核头破入脑室系统
作者: 自贡刘剑    时间: 2009-5-24 18:33
右侧尾状核头部出血破入脑室
作者: 牛占红    时间: 2009-5-25 05:57
右侧尾状核头部出血,破入脑室
作者: LIAOQIANG    时间: 2009-5-25 17:08
支持右侧尾状核头部出血破入脑室。
作者: 513ytb    时间: 2009-6-20 23:29
支持,右侧尾状核头破入脑室系统
作者: pujunzhi    时间: 2009-6-20 23:34
支持 右侧尾状核头部出血破入脑室。
作者: 杀毒软件    时间: 2009-6-21 01:40
支持 右侧尾状核头部出血破入脑室
作者: dr.yang    时间: 2012-11-25 22:59
支持 右侧尾状核头部出血破入脑室--进步了




欢迎光临 医影在线 (http://bbs.radida.com/bbs/) Powered by Discuz! X3.2