医影在线

标题: X5828:骨囊肿 [打印本页]

作者: r8923012    时间: 2009-5-25 05:01
标题: X5828:骨囊肿
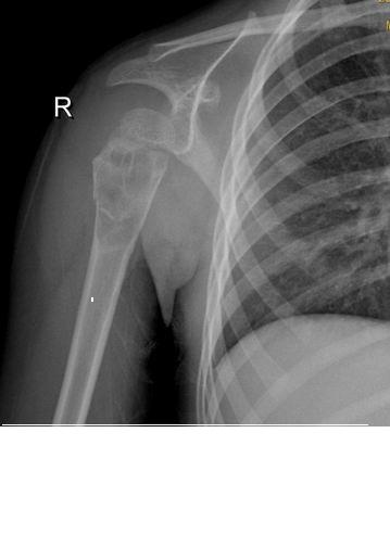
一小时前肩关节受外伤,一年前有外伤史


[本贴已被 cefcmj 于 2009-5-24 21:39:13 修改过]

作者: 拾荒者    时间: 2009-5-25 05:59
骨纤维异常增殖症可能。
作者: ganeng.2008    时间: 2009-5-25 06:22
支持2楼
作者: bmw011    时间: 2009-5-25 07:01
支持骨纤。在显影泡久了。
作者: 康振朝    时间: 2009-5-25 07:13
个人认为动脉瘤样骨囊肿比骨纤肯能性大
作者: zygshh    时间: 2009-5-25 08:58
靠不考虑,骨巨细胞瘤?
作者: yuhongjun    时间: 2009-5-25 13:58
首先考虑动脉瘤样骨囊肿。
作者: 随光逐影    时间: 2009-5-25 15:38
考虑肱骨上段骨纤维结构不良,不排除骨囊肿。
作者: 杀毒软件    时间: 2009-5-25 15:51
标题: 回复:x5828:骨囊肿
以下是引用随光逐影在2009-5-25 7:38:00的发言:[br]考虑肱骨上段骨纤维结构不良,不排除骨囊肿。

支持
作者: LIAOQIANG    时间: 2009-5-25 16:10
考虑骨纤,不除外动脉瘤样骨囊肿。
作者: 韦伟    时间: 2009-5-25 18:26
骨纤维异常增殖症可能
作者: zxl51642    时间: 2009-5-25 18:59
肱骨近端骨质呈多房囊状膨胀性改变,与骨干长轴方向一致,未突破骺软骨板,边缘见硬化,骨壳欠完整,可见“骨折片陷落征”,内见多个残留长短不一骨棘,软组织影无肿胀。
鉴别诊断:1、骨囊肿,典型发病年龄及部位,可见病理性骨折,较支持,不支持点是骨质膨胀较明显;
2、骨纤维异常增殖症:单骨多囊状破坏,外缘光滑,内缘毛糙波浪状,囊内外条索状骨纹及斑片状致密影具有特征性;
3、软骨母细胞瘤:骨骺部位偏心性病变,可跨越骺板;
4、abc,未突破骺软骨板,骨质膨胀;
5、软骨母合并abc。
考虑:骨囊肿合并病理性骨折可能性大,需排除骨纤、软骨母合并abc等。
作者: smhk    时间: 2009-5-25 19:01
考虑骨纤,不除外动脉瘤样骨囊肿。
作者: 小初学者    时间: 2009-5-25 19:04
标题: 回复:x5828:骨囊肿
首先考虑骨囊肿,建议ct\\mr进一步检查。

作者: xly    时间: 2009-5-25 19:23
同意12楼的观点,分析很到位,本人支持将骨纤放第一位,软骨母细胞瘤放第二位。
作者: zxl51642    时间: 2009-5-25 19:41
标题: 回复:x5828:骨囊肿
转一病例:男,4岁,上臂外伤后疼痛。
作者: 观影朔征    时间: 2009-5-25 19:48
15l楼支持
作者: 987654zwf    时间: 2009-5-25 20:25
以下是引用随光逐影在2009-5-25 7:38:00的发言:
考虑肱骨上段骨纤维结构不良,不排除骨囊肿。


支持
作者: 592438394    时间: 2009-5-25 20:40
首先考虑动脉瘤样骨囊肿。  
   

yuhongjun说
作者: gaoyang8    时间: 2009-5-25 23:23
考虑骨纤,不除外动脉瘤样骨囊肿.
作者: kh    时间: 2009-5-25 23:53
动脉瘤样骨囊肿
作者: songyi    时间: 2009-5-26 00:27
考虑骨纤,不除外动脉瘤样骨囊肿
作者: 黑白光影    时间: 2009-5-26 00:34
考虑肱骨上段骨纤维结构不良,不排除骨囊肿。
作者: 王仕学    时间: 2009-5-26 01:40
动脉瘤样骨囊肿比骨纤肯能性大
作者: gjj6818    时间: 2009-5-26 04:06
考虑骨纤
作者: zhanggenliang    时间: 2009-5-26 05:56
首先考虑动脉瘤样骨囊肿,不排除非骨化性纤维瘤
作者: hexue    时间: 2009-5-26 06:42
考虑骨纤,不除外动脉瘤样骨囊肿。
作者: dyqct    时间: 2009-5-26 06:53
标题: 回复:x5828:骨囊肿
以下是引用随光逐影在2009-5-25 7:38:00的发言:[br]考虑肱骨上段骨纤维结构不良,不排除骨囊肿。

支持!
作者: jinguoji    时间: 2009-5-26 18:08
支持考虑骨纤维结构不良,不排除骨囊肿。
作者: yanguoliang    时间: 2009-5-26 18:54
骨纤,
作者: 张辉9999    时间: 2009-5-26 21:11
考虑骨纤,不除外动脉瘤样骨囊肿。
作者: 513ytb    时间: 2009-6-10 07:56
考虑肱骨上段骨纤维结构不良,不排除骨囊肿
作者: shibing    时间: 2014-6-9 09:21
考虑骨纤,不除外动脉瘤样骨囊肿。




欢迎光临 医影在线 (http://bbs.radida.com/bbs/) Powered by Discuz! X3.2