医影在线
标题: PED1911:胸部外伤 [打印本页]
作者: lqkys 时间: 2009-5-26 19:46
标题: PED1911:胸部外伤
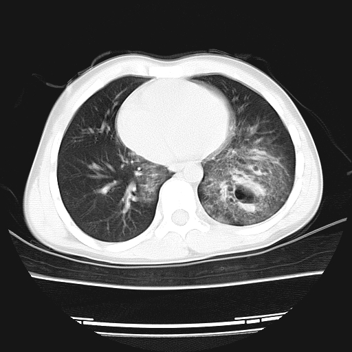
11岁男孩,二楼坠落伤。胸部体症不明星,上腹部痛,腹部ct正常。大家看看,过两天再传复查的片子。

[本贴已被 翁志蓬 于 2009-5-27 0:19:20 修改过]
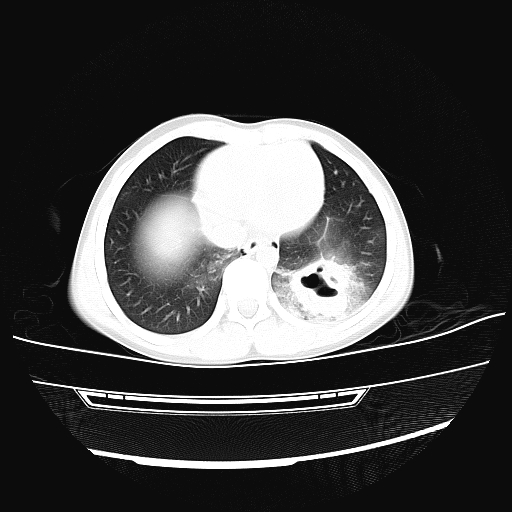
两天后复查的ct


[本贴已被 lqkys 于 2009-6-3 14:47:22 修改过]
作者: bmw011 时间: 2009-5-26 20:02
请把图片传完整。
肺挫伤?
作者: 张辉9999 时间: 2009-5-26 20:12
请把图片传完整
作者: zxl51642 时间: 2009-5-26 21:43
双侧创伤性湿肺,左侧明显并肺大炮。
作者: hyh1973 时间: 2009-5-26 21:56
双侧创伤性湿肺,左侧明显并肺大泡
作者: haha215315 时间: 2009-5-26 22:14
双侧创伤性湿肺,左侧血肿形成。
作者: 黄玉龙 时间: 2009-5-26 22:49
双侧创伤性湿肺,左侧明显并肺大泡
作者: 黄玉龙 时间: 2009-5-26 22:51
双侧创伤性湿肺,左侧明显并肺大泡
作者: zjzjr 时间: 2009-5-26 23:19
双侧创伤性湿肺,左肺挫裂伤,不除外肺囊肿,建议复查.
作者: 深泽交通 时间: 2009-5-26 23:27
标题: 回复:胸部外伤
以下是引用bmw011在2009-5-26 12:02:00的发言:[br]请把图片传完整。[br]肺挫伤?
作者: 卜一 时间: 2009-5-26 23:46
双侧创伤性湿肺!!!
作者: CT-LU 时间: 2009-5-27 00:06
双侧创伤性湿肺伴左下肺叶创伤性肺气囊形成
作者: 随光逐影 时间: 2009-5-27 00:34
双侧创伤性湿肺,左肺挫裂伤(气血囊肿)。
作者: zsl6918 时间: 2009-5-27 00:37
肺挫裂伤并气血囊肿形成
作者: xupengjie 时间: 2009-5-27 00:37
双侧创伤性湿肺,左肺挫裂伤,不除外肺囊肿,建议复查.支持
作者: 黑白光影 时间: 2009-5-27 06:00
双侧创伤性湿肺,左肺挫裂伤,不除外肺囊肿,建议复查。
作者: zoujunhui1977 时间: 2009-5-27 19:40
气腔系肺撕裂伤后改变
作者: gjj6818 时间: 2009-5-28 03:04
标题: 回复:ped1911:胸部外伤
以下是引用zjzjr在2009-5-26 15:19:00的发言:[br]双侧创伤性湿肺,左肺挫裂伤,不除外肺囊肿,建议复查.
作者: sungh 时间: 2009-5-28 04:27
双侧创伤性湿肺伴左下肺撕裂伤并假囊肿形成
| 欢迎光临 医影在线 (http://bbs.radida.com/bbs/) |
Powered by Discuz! X3.2 |