医影在线

标题: CT20205:帮助诊断 [打印本页]

作者: 山东凡人    时间: 2009-5-27 20:41
标题: CT20205:帮助诊断
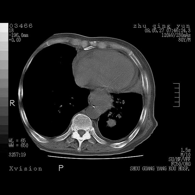
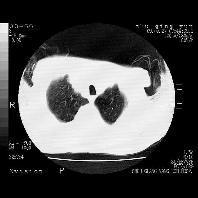
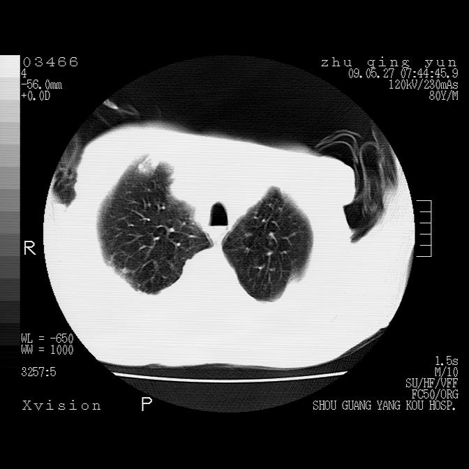
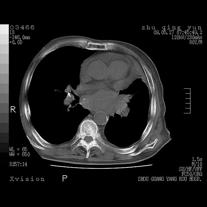
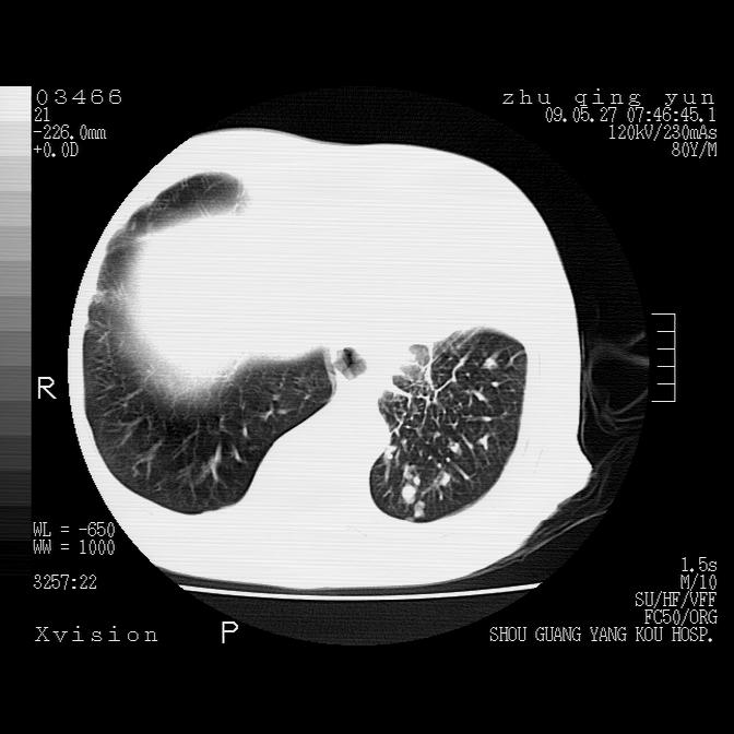
病人男性,年龄80,气喘来院,其他病史不太详细,1月前有过恶心,呕吐,在当地人民医院做过钡餐,诊断胃炎,
















































[本贴已被 翁志蓬 于 2009-5-27 23:34:17 修改过]

作者: panyishengct    时间: 2009-5-27 22:05
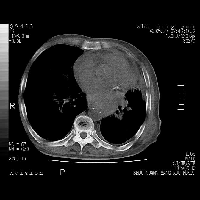
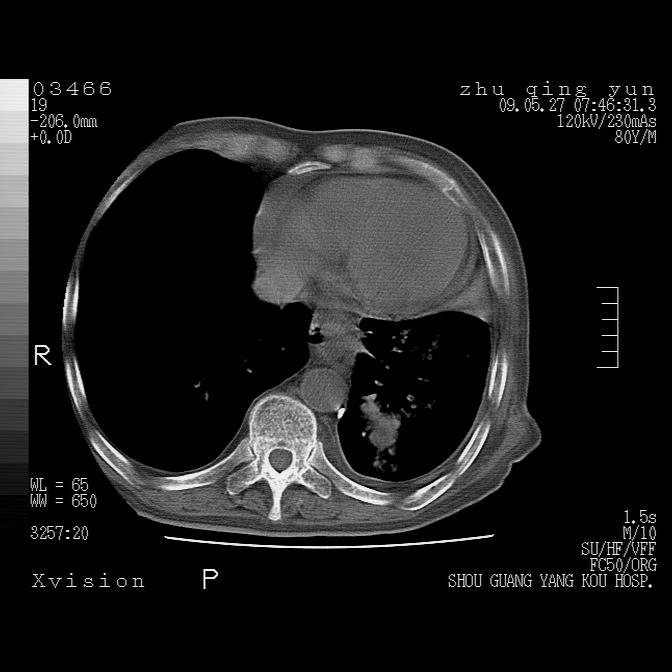
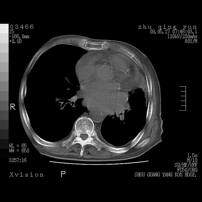
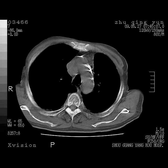
后纵隔恶性肿瘤累及心包并纵隔淋巴结转移/左肺癌性淋巴管炎/肺部感染
作者: 随光逐影    时间: 2009-5-27 22:17
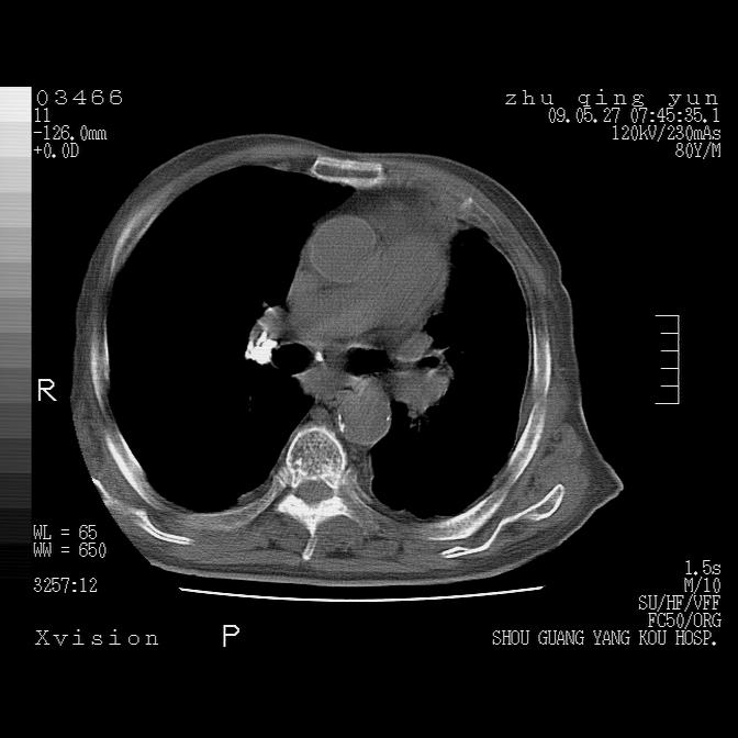
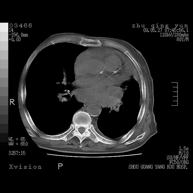
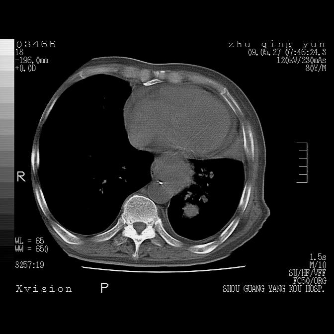
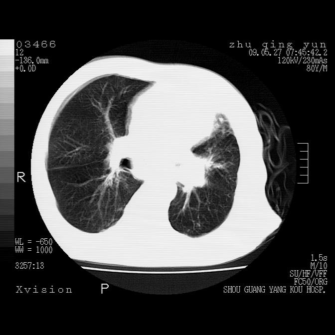
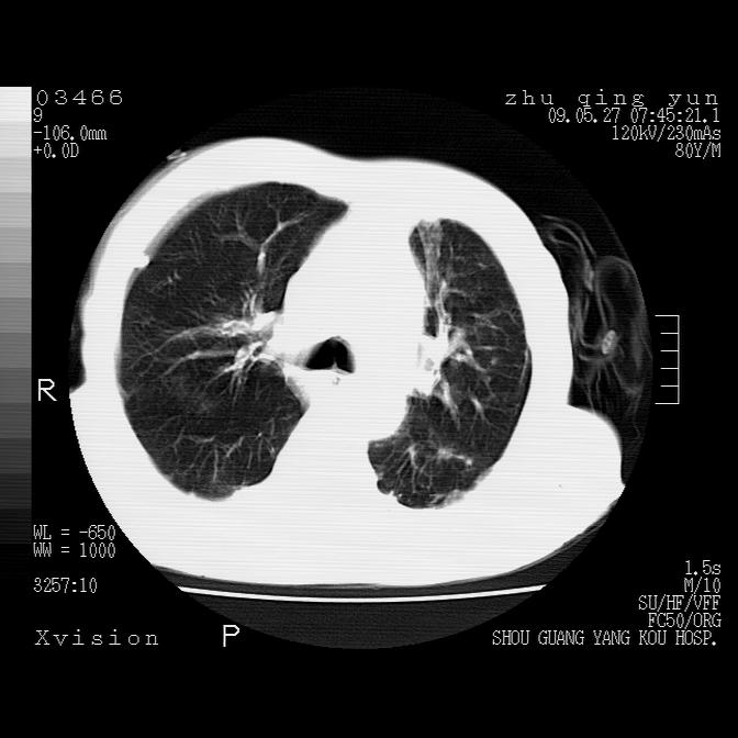
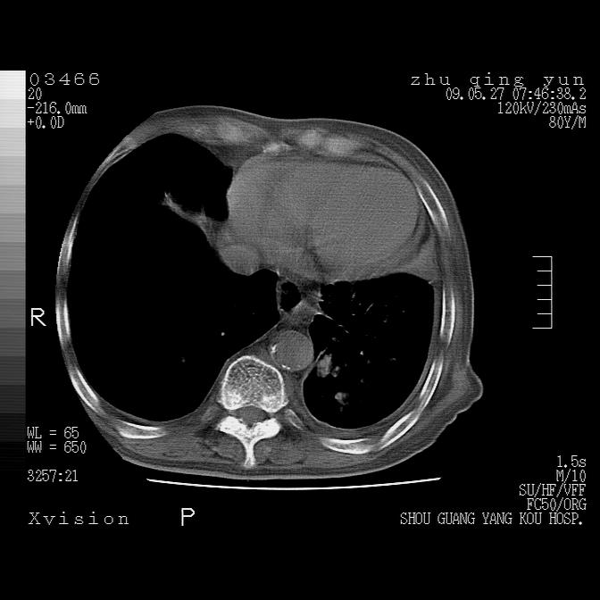
1)考虑左肺中央型肺癌并阻塞性肺炎,后下纵隔受侵伴纵隔淋巴结转移。2)双侧少量胸腔积液,胸膜增厚。3)心包积液。
作者: bmw011    时间: 2009-5-27 22:21
标题: 回复:帮助诊断
以下是引用panyishengct在2009-5-27 14:05:00的发言:[br]后纵隔恶性肿瘤累及心包并纵隔淋巴结转移/左肺癌性淋巴管炎/肺部感染

双侧胸腔积液。
作者: zsl6918    时间: 2009-5-27 22:22
左侧中心型肺癌并纵隔淋巴结广泛转移.
作者: 深泽交通    时间: 2009-5-27 22:39
标题: 回复:帮助诊断
左侧中心型肺癌并纵隔淋巴结广泛转移.心包积液
作者: 老爱克斯    时间: 2009-5-27 23:46
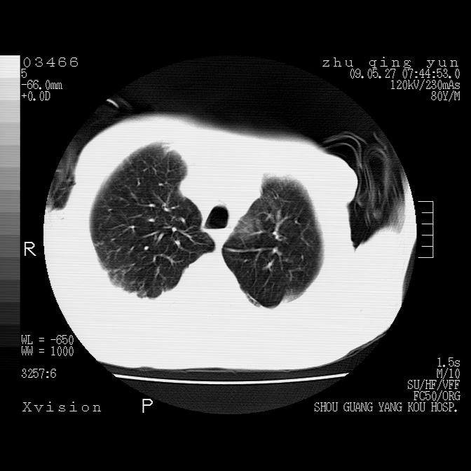
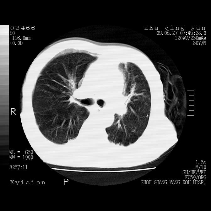
左肺下叶见多发片状及结节状病灶,左肺基底段支气管闭塞,纵隔内见多发淋巴结肿大,纵隔向左侧移位,左侧胸廓变小。应该是左肺下叶中心型肺癌,纵隔淋巴结转移,左侧肺内转移,左肺基底段肺不张,阻塞性肺炎。
作者: zjzjr    时间: 2009-5-28 00:13
左侧中心型肺癌并纵隔淋巴结广泛转移.心包积液
作者: LIAOQIANG    时间: 2009-5-28 00:19
1)考虑左肺中央型肺癌并左肺下叶阻塞性肺炎、不张;左胸膜腔积液、心包积液、纵隔淋巴结转移;癌肿累及左心房。2)左心室大。冠状动脉壁钙化斑。
作者: zxl51642    时间: 2009-5-28 00:33
恶性占位是肯定的,并累及心包并纵隔淋巴结转移/左肺癌性淋巴管炎/肺部感染。是中心性或纵隔型肺癌,还是后纵隔恶性占位,还是食道中下段癌或食道受累需鉴别。
作者: 余辉    时间: 2009-5-28 01:17
支持以上,左肺肿块应该是周围型吧,考虑左下肺周围型肺癌伴肺内转移,阻塞性肺炎,纵隔淋巴转移,左侧胸膜及心包转移
作者: yjr1217    时间: 2009-5-28 01:24
1)考虑左肺中央型肺癌并左肺下叶阻塞性肺炎、不张;左胸膜腔积液、心包积液、纵隔淋巴结转移;癌肿累及左心房。
作者: 黑白光影    时间: 2009-5-28 05:47
支持大家
作者: pujunzhi    时间: 2009-5-28 20:21
考虑左下肺中心性肺癌伴阻塞性肺炎,纵隔淋巴转移,左侧胸膜及心包转移。
作者: fyanj168    时间: 2009-5-28 21:04
考虑左肺中央型肺癌并左肺下叶阻塞性肺炎、不张;左胸膜腔积液、心包积液、纵隔淋巴结转移;癌肿累及左心房




欢迎光临 医影在线 (http://bbs.radida.com/bbs/) Powered by Discuz! X3.2