医影在线
标题: CT20206:高清图片--已手术,数日后给病理结果 [打印本页]
作者: wxfg 时间: 2009-5-27 20:44
标题: CT20206:高清图片--已手术,数日后给病理结果
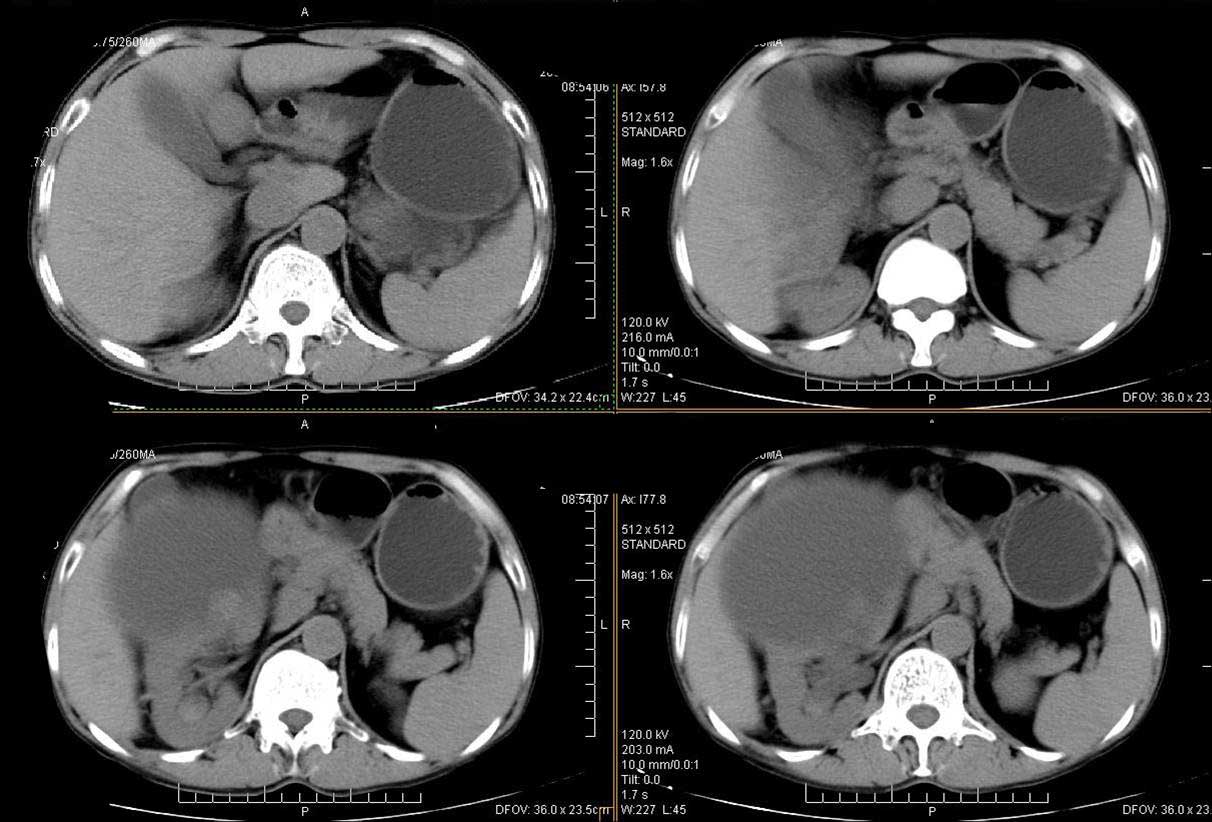
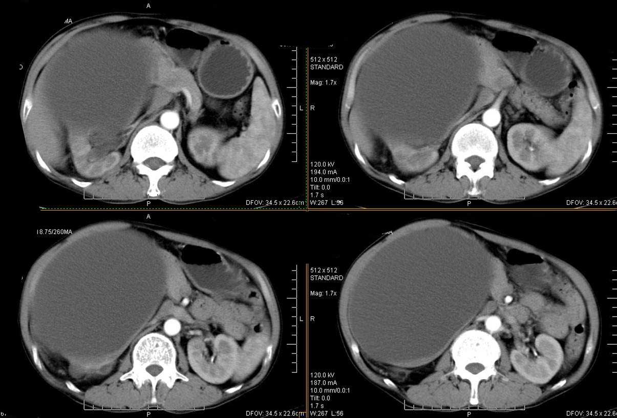
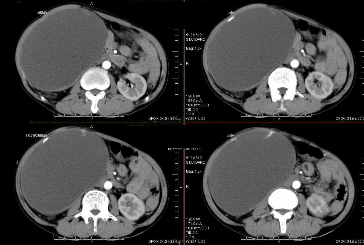
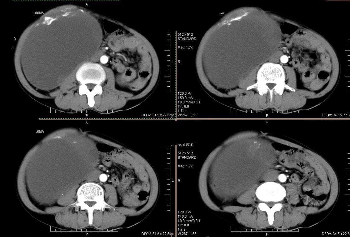
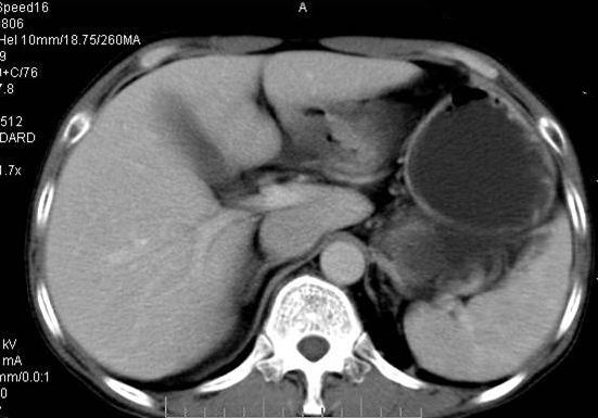
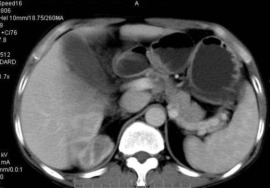
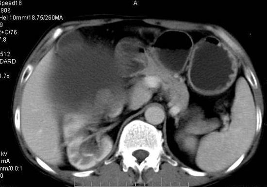
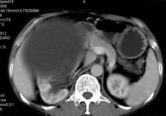
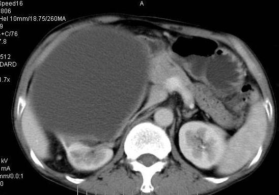
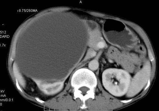
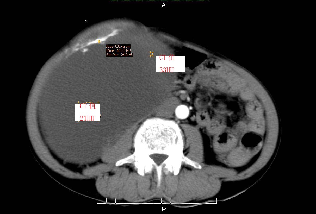
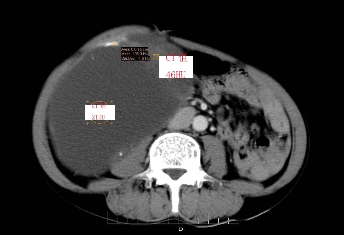
男性 60岁,腹部肿块4年余,肿块逐渐增大,活动性差,无血尿。
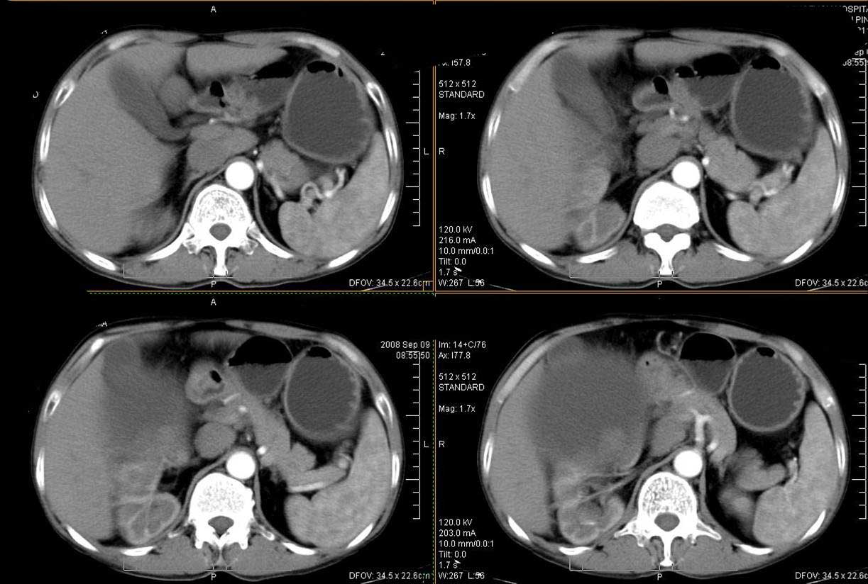
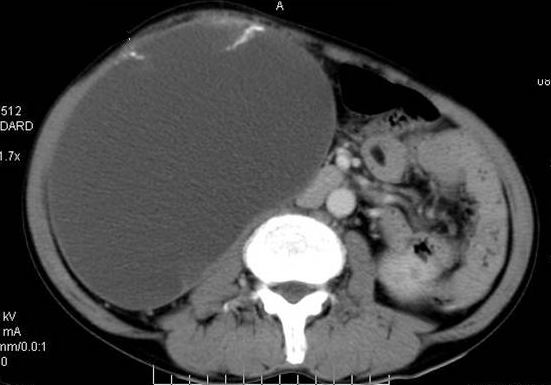
平扫




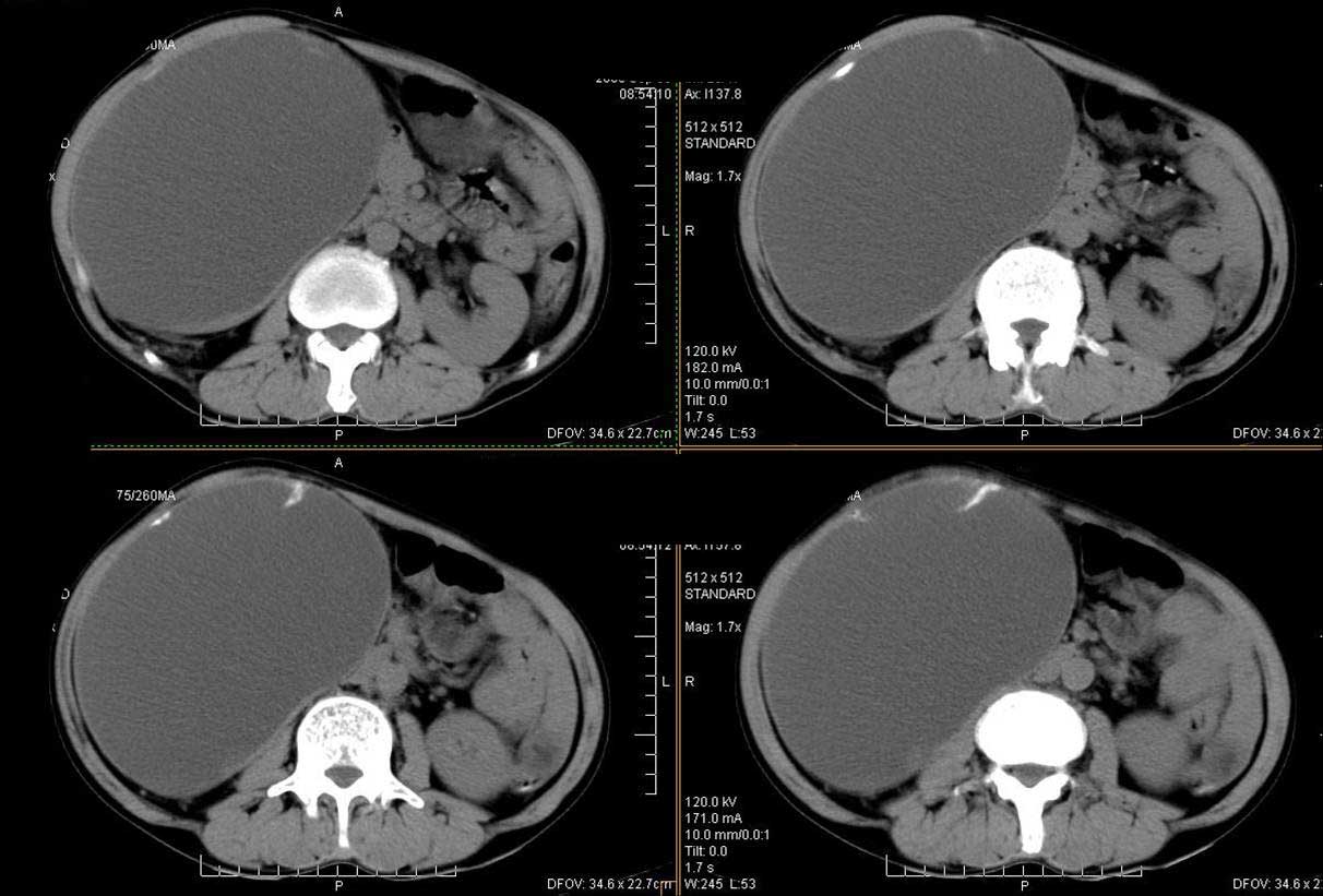
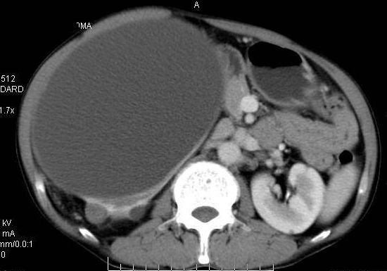
动脉期




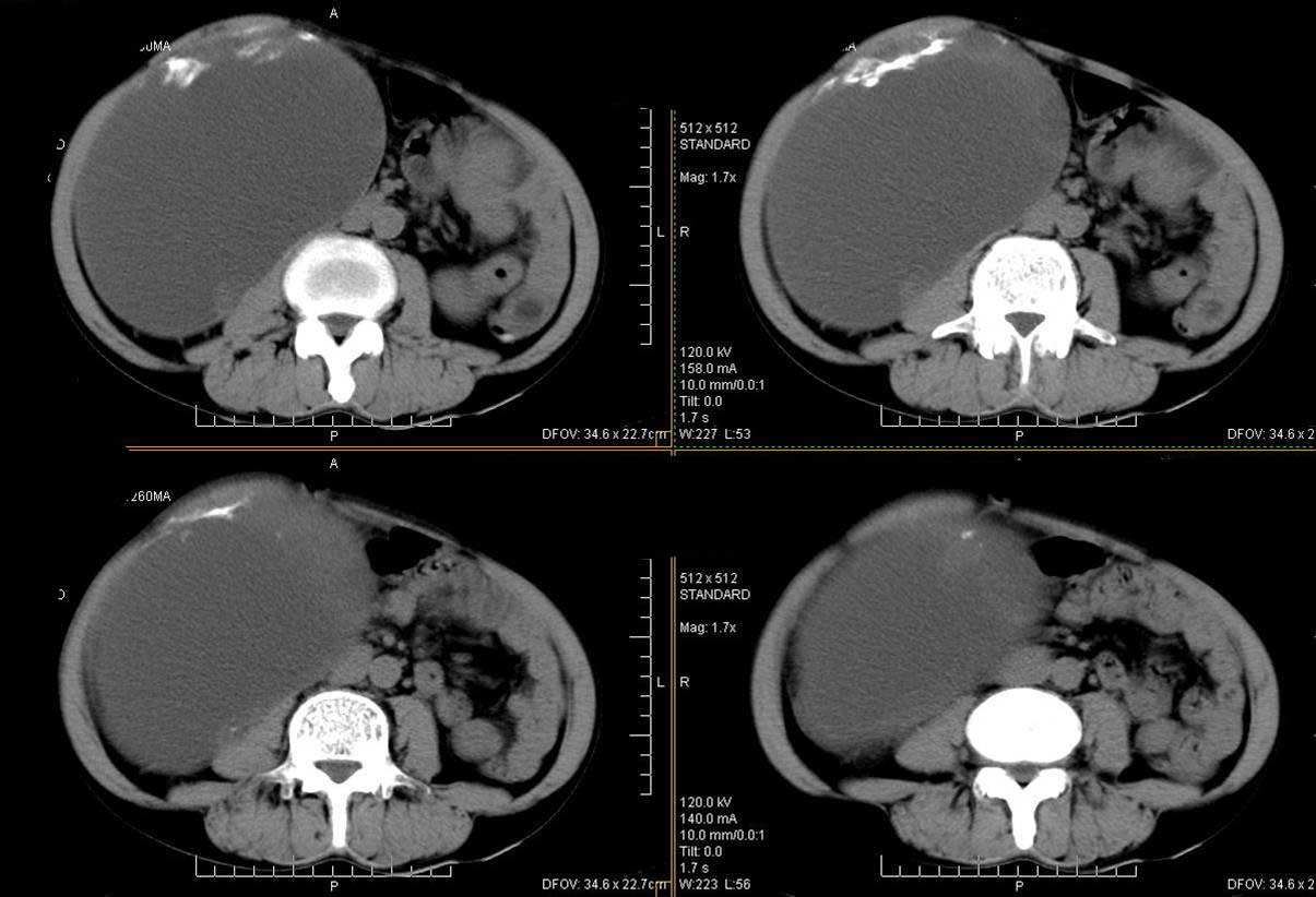
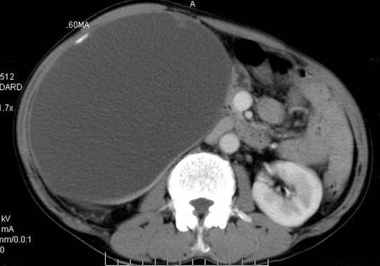
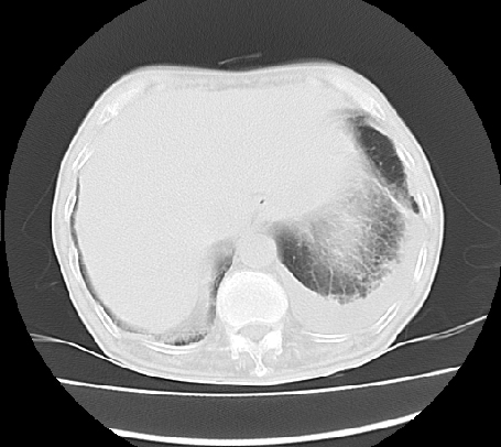
门脉期
















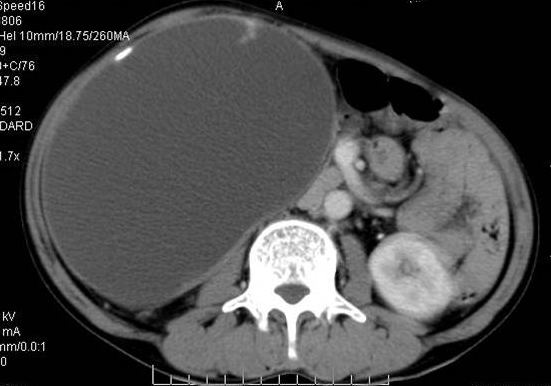
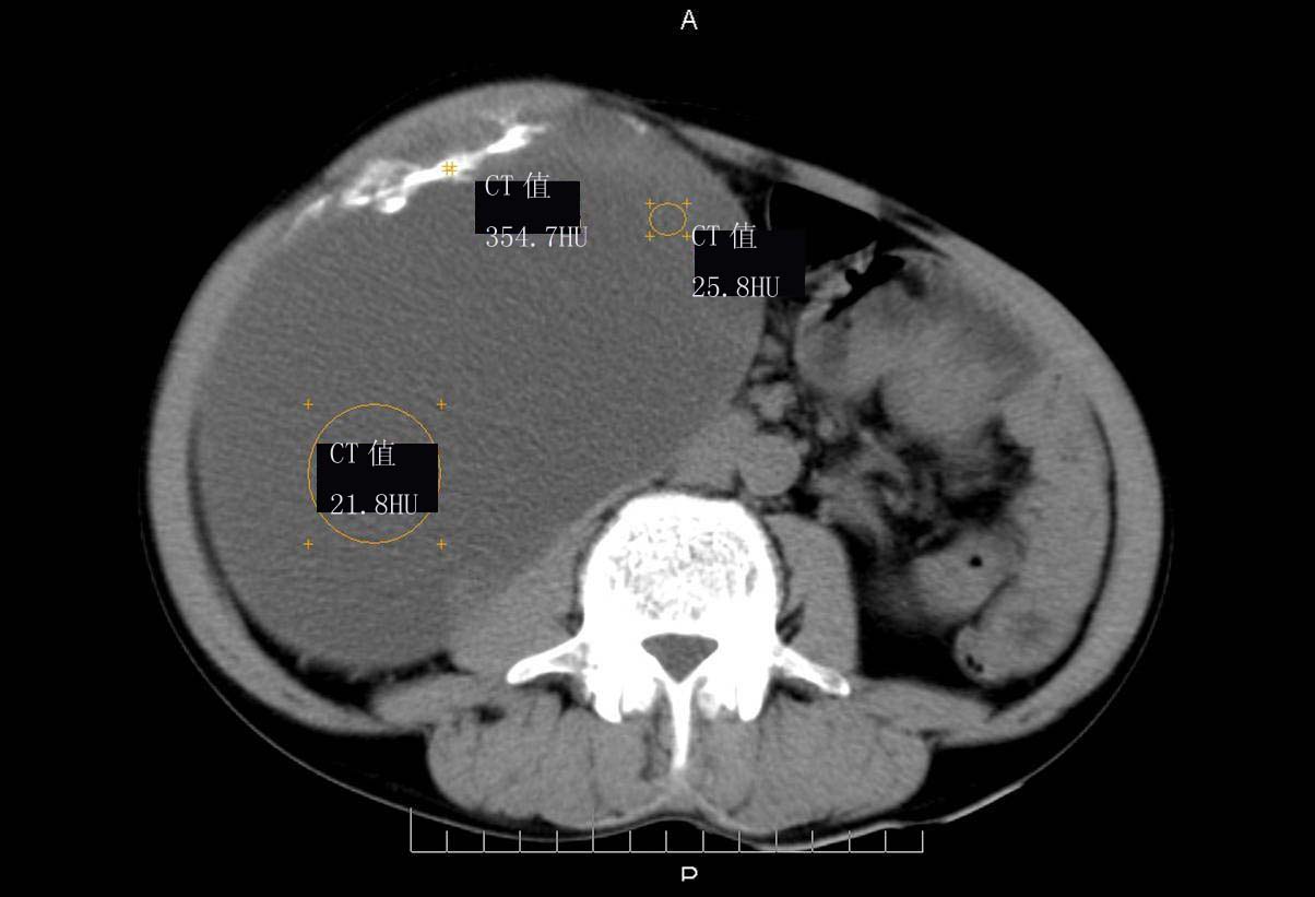
ct值测量
平扫

动脉期

门脉期

[本贴已被 翁志蓬 于 2009-5-27 23:35:43 修改过]
作者: 小翟 时间: 2009-5-27 21:31
重复肾盂,上肾盂积水
作者: bmw011 时间: 2009-5-27 22:13
考虑肾囊肿并囊内出血。
作者: zsl6918 时间: 2009-5-27 22:18
囊性肾癌可能性大
作者: 随光逐影 时间: 2009-5-27 22:23
右侧多发性肾囊肿,其中之一巨大(不排除其为重复肾积水可能);右肾积水。
作者: 深泽交通 时间: 2009-5-27 22:35
考虑肾或胆总管囊肿
作者: ncdjyy 时间: 2009-5-27 23:19
考虑右肾多发囊肿并出血
作者: LIAOQIANG 时间: 2009-5-28 00:14
右肾脏巨大囊样影、囊壁有钙化,囊样影轻度强化有软组织成份。不除外畸胎瘤可能。
作者: zjzjr 时间: 2009-5-28 00:18
囊性肾癌可能性大,右肾多发囊肿。
作者: zxl51642 时间: 2009-5-28 00:37
标题: 回复:高清图片--已手术,数日后给病理结果
以下是引用随光逐影在2009-5-27 14:23:00的发言:[br]右侧多发性肾囊肿,其中之一巨大(不排除其为重复肾积水可能);右肾积水。
作者: 余辉 时间: 2009-5-28 00:58
巨大囊性肿块,囊壁较厚有强化,有团片状钙化,病灶内下方灶内见片絮状高密度影,增强有轻中度强化,考虑囊性肾癌可能性大
增强时机没有抓好
作者: ncy888888 时间: 2009-5-28 01:04
右肾上部巨大的囊实性影,实性部分轻度强化。壁有钙化。考虑右肾囊腺癌。右肾盂积水。
作者: 37度 时间: 2009-5-28 02:22
多平面重建看下
作者: wxfg 时间: 2009-5-28 05:49
标题: 回复:高清图片--已手术,数日后给病理结果
继续,这里的确高手很多。希望可以看到更多精彩的点评
[本贴已被 wxfg 于 2009-5-27 21:52:41 修改过]
作者: 黑白光影 时间: 2009-5-28 05:58
考虑肾或胆总管囊肿
作者: qiuleiyu 时间: 2009-5-28 06:09
定位;肾明显与病灶杯口相交,可以肯定病变来自右肾。
定性;病灶囊性为主,前下部含实性成分,及钙化,部分壁厚薄不均。
肾囊实性病变有;1,囊性肾癌2,囊性肾瘤。3,复杂囊肿。4,重复肾伴积水。然2、3壁相对规则。
综上考虑;囊性肾癌》重复肾伴积水。
建议重建及mri。
作者: pujunzhi 时间: 2009-5-28 20:08
可考虑 1畸胎瘤 2肾包囊虫 3囊性肾瘤或囊性肾癌 4重复肾伴积水。
作者: fyanj168 时间: 2009-5-28 21:08
右侧多发性囊性病变,恶性可能性大
作者: yuhongjun 时间: 2009-5-28 23:07
巨大囊性肿块,囊壁较厚有强化,有团片状钙化,病灶内下方灶内见片絮状高密度影,增强有轻中度强化,考虑囊性肾癌可能性大
作者: wxfg 时间: 2009-5-29 01:44
标题: 回复:ct20206:高清图片--已手术,数日后给病理结果
自己顶一下!
[img][/img]http://i522.photobucket.com/albums/w349/dfbbdfbb/1345.gif
[本贴已被 wxfg 于 2009-5-28 17:46:58 修改过]
作者: 帅河马 时间: 2009-5-29 02:03
标题: 回复:ct20206:高清图片--已手术,数日后给病理结果
以下是引用liaoqiang在2009-5-27 16:14:00的发言:[br]右肾脏巨大囊样影、囊壁有钙化,囊样影轻度强化有软组织成份。不除外畸胎瘤可能。
作者: dfbb 时间: 2009-5-29 18:39
标题: 回复:ct20206:高清图片--已手术,数日后给病理结果
支持囊性肾癌诊断!
作者: 弯弓长2 时间: 2009-5-29 21:03
囊性肾癌诊断!
作者: dr.yang 时间: 2012-7-11 05:59
学习了
| 欢迎光临 医影在线 (http://bbs.radida.com/bbs/) |
Powered by Discuz! X3.2 |