医影在线
标题: CL1008:【经典】胆囊石榴籽样结石。 [打印本页]
作者: 随光逐影 时间: 2009-5-27 21:16
标题: CL1008:【经典】胆囊石榴籽样结石。
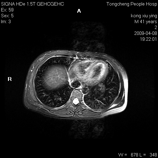
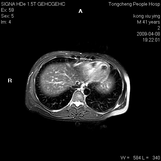
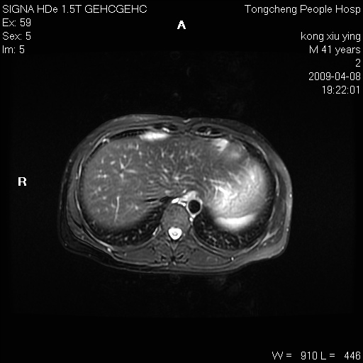
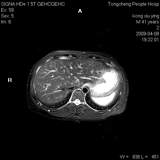
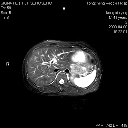
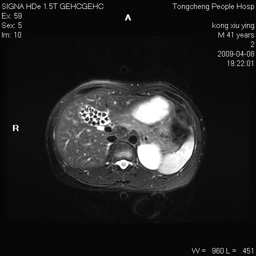
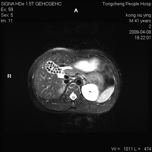
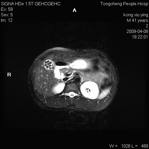
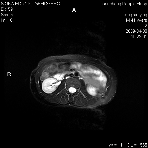
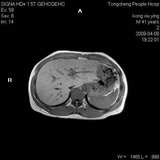
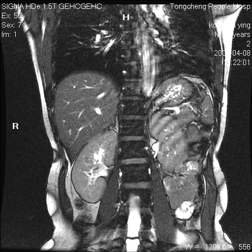
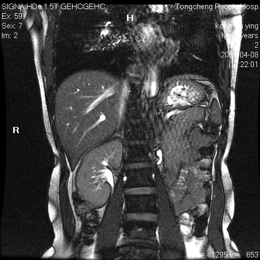
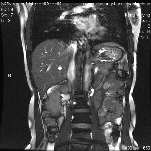
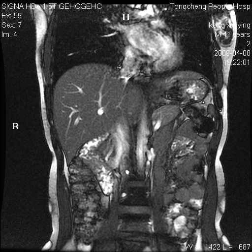
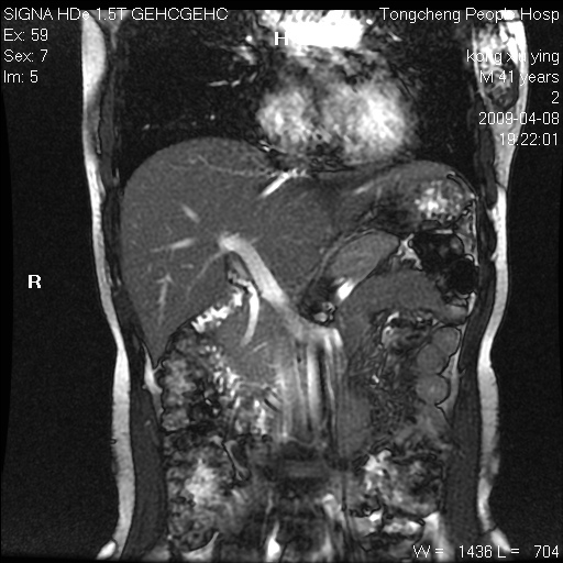
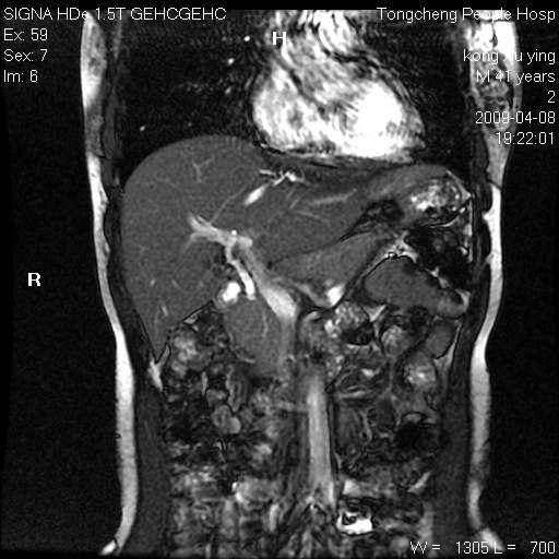
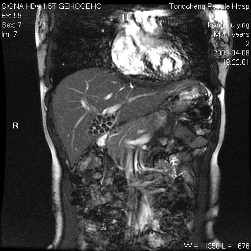
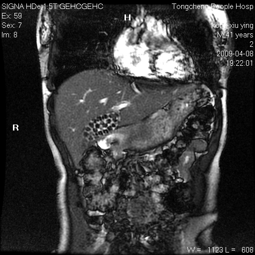
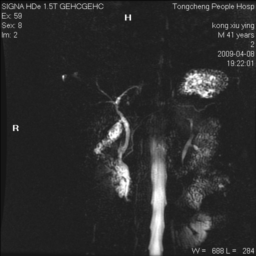
女,41岁。健康体检——彩超提示:胆囊显示不清。平素健康,无不适感。
腹部mr扫描及mrcp,图像如下:













































































[本贴已被 翁志蓬 于 2009-5-28 0:51:51 修改过]
作者: zjh196425 时间: 2009-5-27 22:08
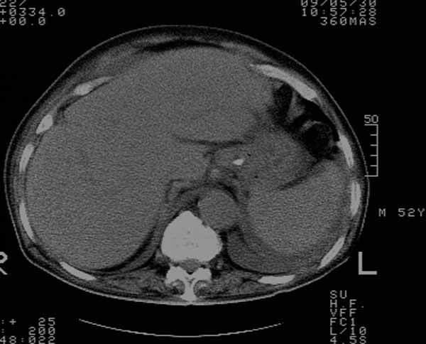
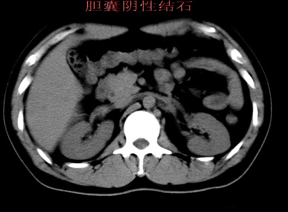
标题: 胆囊阴性结石ct图片
好啊!我有ct的插进来啊,楼主请允许噶。


[本贴已被 zjh196425 于 2009-5-27 14:28:33 修改过]
[本贴已被 zjh196425 于 2009-5-29 9:38:43 修改过]
[本贴已被 zjh196425 于 2009-5-29 9:40:17 修改过]
作者: bmw011 时间: 2009-5-28 00:01
经典!!!
作者: 杀毒软件 时间: 2009-5-28 05:15
学习了
作者: jinguoji 时间: 2009-5-28 07:02
学习了。
作者: zsl6918 时间: 2009-5-28 07:09
好漂亮
作者: 影像孺子牛 时间: 2009-5-28 17:23
好漂亮的图片,学习了。
作者: 黑白光影 时间: 2009-5-29 01:15
谢分享
作者: 帅河马 时间: 2009-5-29 01:43
经典
作者: 拾荒者 时间: 2009-5-29 04:50
太漂亮了!只是有杀鸡用牛刀的感觉。
作者: 罗荣森 时间: 2009-5-29 07:21
检查做得真周,分析应该没什么问题
作者: jiangguowu 时间: 2009-5-29 07:45
学习了
作者: 同 时间: 2009-5-29 23:18
学习了,谢谢!!!
作者: dyqct 时间: 2009-5-30 00:40
经典!
作者: scdlc2008 时间: 2009-5-30 05:13
经典
作者: 寻芳者 时间: 2009-5-31 08:00
太漂亮了----------
作者: wuzhenan 时间: 2009-6-1 06:29
确实漂亮!头一次见!谢谢!!!
作者: hexue 时间: 2009-6-2 06:20
漂亮好看
作者: sunbin 时间: 2009-6-5 01:56
经典。
作者: hguox 时间: 2009-6-8 06:29
学习了。
作者: imageSS 时间: 2010-1-29 06:33
石榴籽样阴性结石,学习了!
作者: shibing 时间: 2012-6-7 07:28
胆囊石榴籽样结石。
作者: xywx 时间: 2012-7-28 15:21
感谢楼主奉献
欢迎光临 医影在线 (http://bbs.radida.com/bbs/) |
Powered by Discuz! X3.2 |