











































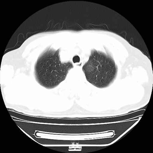
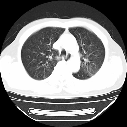
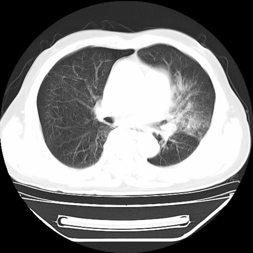
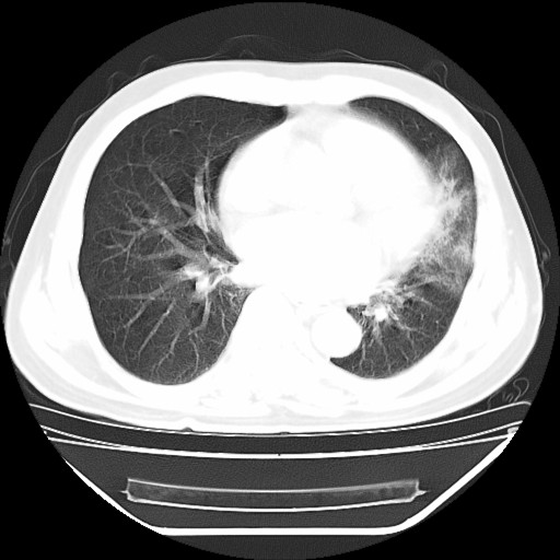
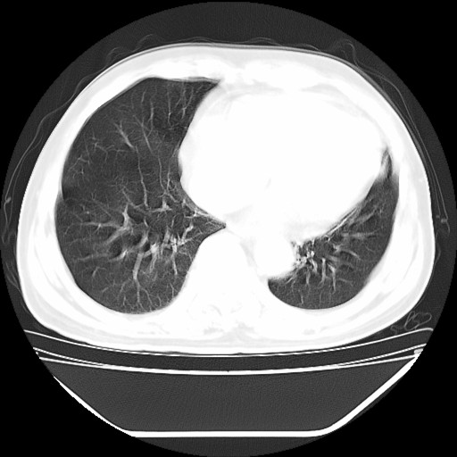
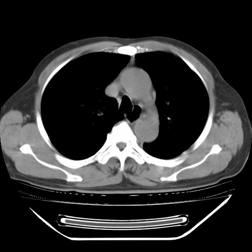
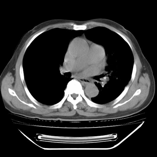
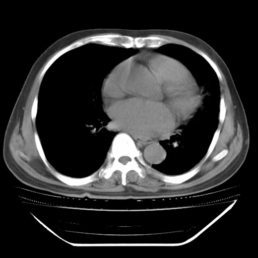
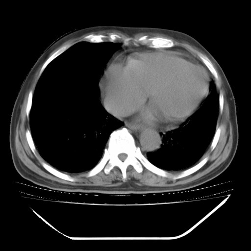
以下是引用hhcckk在2009-5-29 10:34:00的发言:[br]左下肺片絮状边缘模糊影,考虑感染,建议治疗后复查[br]
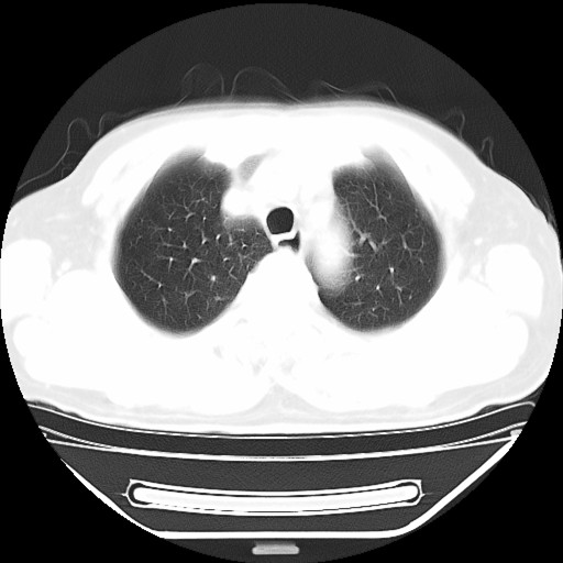
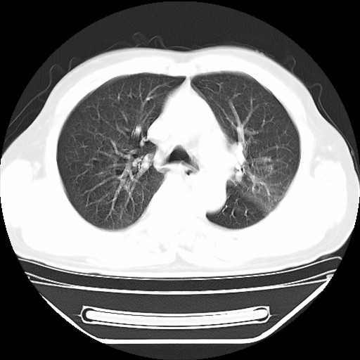
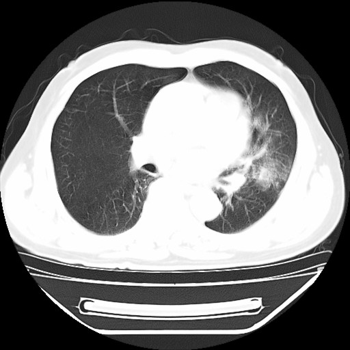
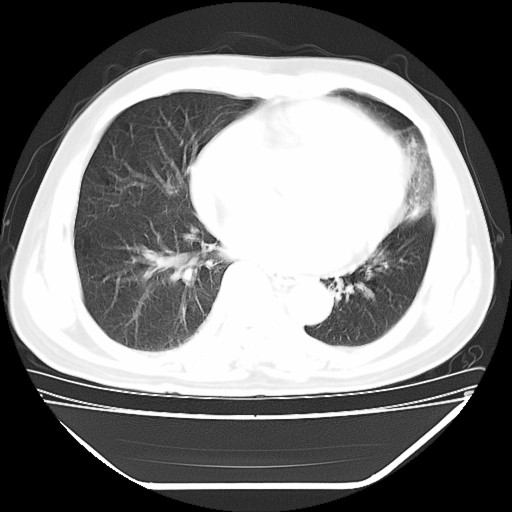
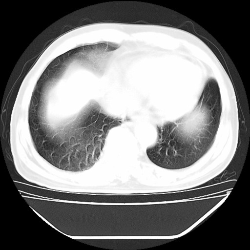
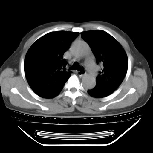
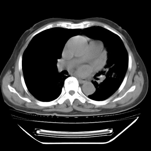
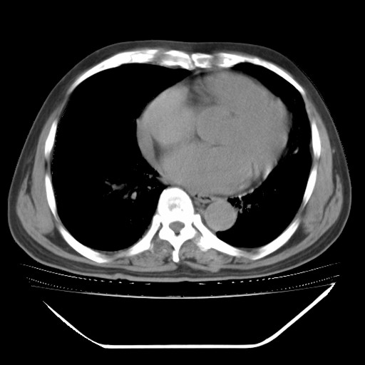
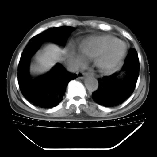
以下是引用hhcckk在2009-5-29 10:34:00的发言:[br]左下肺片絮状边缘模糊影,考虑感染,建议治疗后复查[br]
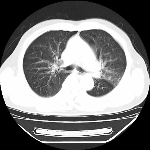
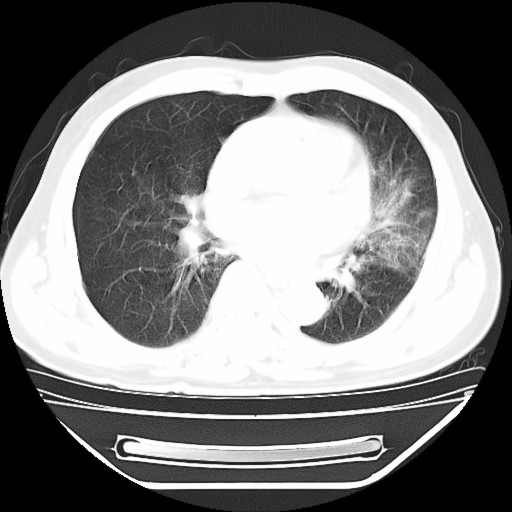
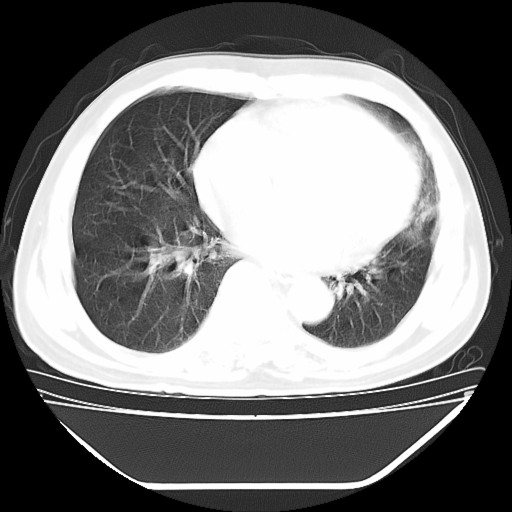
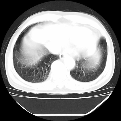
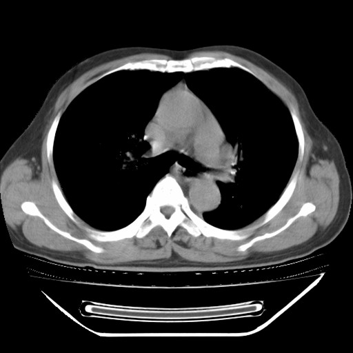
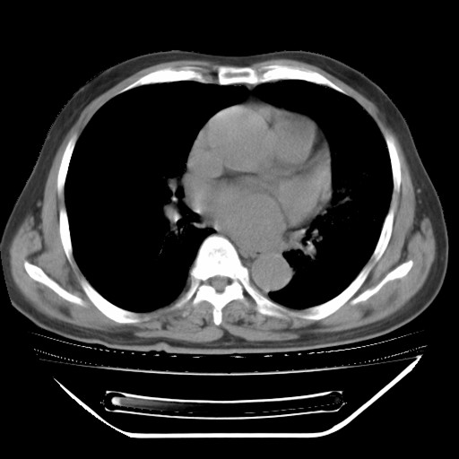
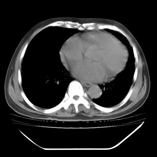
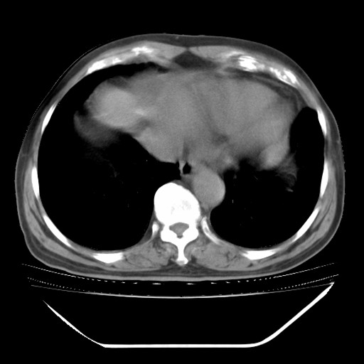
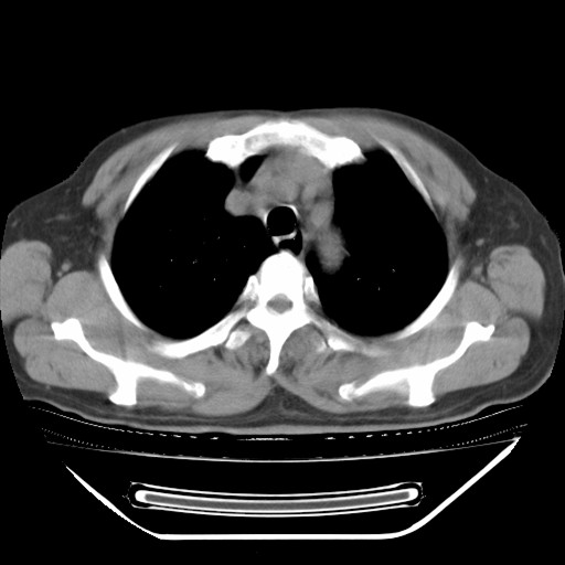
以下是引用hhcckk在2009-5-29 10:34:00的发言:[br]左下肺片絮状边缘模糊影,考虑感染,建议治疗后复查[br]
| 欢迎光临 医影在线 (http://bbs.radida.com/bbs/) | Powered by Discuz! X3.2 |