医影在线

标题: CT20239:右肺上叶病灶! [打印本页]

作者: zhg2005    时间: 2009-5-29 21:02
标题: CT20239:右肺上叶病灶!
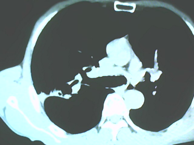
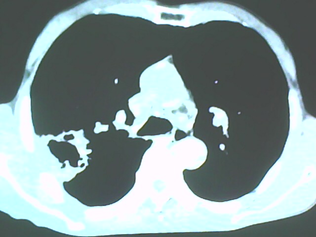
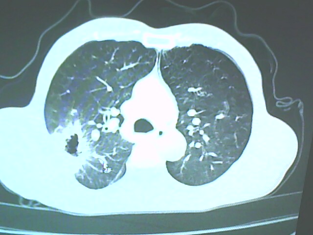
患者,男,66岁,以咳嗽、咳痰伴胸痛来就诊。
胸片提示右上肺占位病变。请各位老师看看ct。
























[本贴已被 jiajie 于 2009-5-29 20:33:02 修改过]

作者: ct诊断高手    时间: 2009-5-29 21:07
考虑肺ca可能
作者: zhg2005    时间: 2009-5-29 21:07
请各位老师看看,考虑:癌性空洞吗?
作者: 王加美    时间: 2009-5-29 22:24
慢性感染性病变不除外
作者: 同    时间: 2009-5-29 22:44
考虑 右肺癌可能性大。
作者: 小康    时间: 2009-5-29 23:06
首先考虑 肺癌。片子欠佳,帅哥照的挺清楚
作者: hhcckk    时间: 2009-5-29 23:09
考虑癌性空洞可能性大,空洞内壁不规则,病灶周围模糊,分叶、有毛刺

[本贴已被 hhcckk 于 2009-5-29 15:10:16 修改过]

作者: 深泽交通    时间: 2009-5-29 23:30
慢性肺脓肿液化
作者: dyqct    时间: 2009-5-30 00:37
标题: 回复:右肺上叶病灶!
以下是引用hhcckk在2009-5-29 15:09:00的发言:[br]考虑癌性空洞可能性大,空洞内壁不规则,病灶周围模糊,分叶、有毛刺[br][br]
[本贴已被 hhcckk 于 2009-5-29 15:10:16 修改过]

支持!
作者: zjzjr    时间: 2009-5-30 00:44
考虑癌性空洞可能性大,空洞内壁不规则,病灶周围模糊,分叶、有毛刺
作者: pujunzhi    时间: 2009-5-30 01:57
考虑癌性空洞可能性大,空洞内壁不规则,病灶周围模糊,分叶、有毛刺。
作者: 余辉    时间: 2009-5-30 02:07
空洞内壁不规则,病灶周围模糊,分叶、毛刺呈日光放射状,突然截断,支持考虑癌性空洞
作者: heroin29    时间: 2009-5-30 02:44
考虑癌性空洞可能性大,空洞内壁不规则,病灶周围模糊,分叶、有毛刺
作者: zhg2005    时间: 2009-5-30 04:45
谢谢各位老师的评价啊,和诊断啊
作者: qc80012345    时间: 2009-5-30 05:27
图像太差了。
作者: 黑白光影    时间: 2009-5-30 05:31
考虑癌性空洞可能性大,空洞内壁不规则,病灶周围模糊,分叶、有毛刺
支持
作者: zsl6918    时间: 2009-5-30 06:25
图像很难看啊,但还是考虑癌性空洞.
作者: peijunlong    时间: 2009-5-30 08:37
从年龄及影像特征均支持癌性空洞。
作者: yuhongjun    时间: 2009-5-30 12:35
考虑癌性空洞可能性大,空洞内壁不规则,病灶周围模糊,分叶、有毛刺
支持
作者: 随光逐影    时间: 2009-5-30 15:38
考虑右肺上叶后段周围型肺癌并癌性空洞形成。
作者: lxq2000    时间: 2009-5-30 15:49
考虑癌性空洞可能性大,内壁不规则,洞壁薄厚不均呈结节状突起,边缘模糊,分叶,毛刺
作者: 微风佛面    时间: 2009-5-30 17:12
右上肺后段肺癌:
典型癌性空洞(偏心性,壁厚薄不均,内壁不光整),周围毛刺较僵硬,且有刺突征和血管聚集征




欢迎光临 医影在线 (http://bbs.radida.com/bbs/) Powered by Discuz! X3.2