医影在线

标题: CT20242:请会诊 [打印本页]

作者: lxq2000    时间: 2009-5-29 21:08
标题: CT20242:请会诊
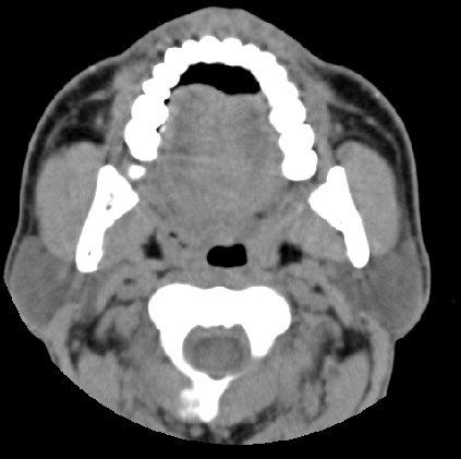
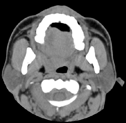
男性 49岁 劳累精神紧张后感咽部不适,疼痛,查:右上鄂肿胀














[本贴已被 jiajie 于 2009-5-29 20:37:10 修改过]

作者: 深泽交通    时间: 2009-5-29 23:13
右侧扁桃腺肿大,但与周围组织分解清晰,考虑炎性
作者: ct诊断高手    时间: 2009-5-29 23:24
支持扁桃体感染
作者: dyqct    时间: 2009-5-30 00:31
标题: 回复:请会诊
以下是引用深泽交通医院在2009-5-29 15:13:00的发言:[br]右侧扁桃腺肿大,但与周围组织分解清晰,考虑炎性

支持!
作者: zjzjr    时间: 2009-5-30 00:53
右侧扁桃腺肿大,但与周围组织分解清晰,考虑炎性
作者: 余辉    时间: 2009-5-30 03:04
根据病史是慢性反复发作的吧的吧,病灶还比较局限,考虑慢性咽炎扁桃体炎可能性大
作者: 不学无术    时间: 2009-5-30 04:56
右侧扁桃腺肿大,但与周围组织分解清晰,考虑炎性  支持
作者: 黑白光影    时间: 2009-5-30 05:35
右侧扁桃腺肿大,但与周围组织分解清晰,考虑炎性。支持
作者: zsl6918    时间: 2009-5-30 06:21
支持扁桃体感染
作者: 随光逐影    时间: 2009-5-30 15:44
右侧腭扁桃体肿大,原因待查;建议行进一步检查排除肿瘤性病变可能。




欢迎光临 医影在线 (http://bbs.radida.com/bbs/) Powered by Discuz! X3.2