
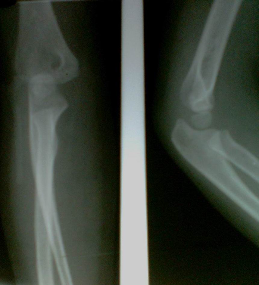
以下是引用风云01在2009-5-29 14:39:00的发言:[br]应该是体位问题
以下是引用风云01在2009-5-29 14:39:00的发言:[br]应该是体位问题
以下是引用观影朔征在2009-5-29 20:41:00的发言:[br]支持
以下是引用余辉在2009-5-29 17:19:00的发言:[br]体位的问题,前臂没有旋后
以下是引用王加美在2009-5-29 14:33:00的发言:[br]体位因素
| 欢迎光临 医影在线 (http://bbs.radida.com/bbs/) | Powered by Discuz! X3.2 |