





















































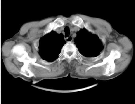
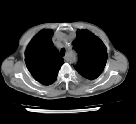
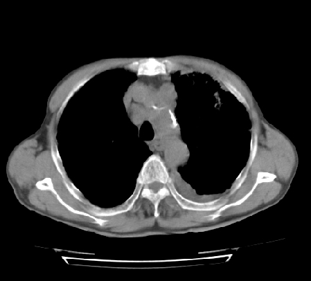
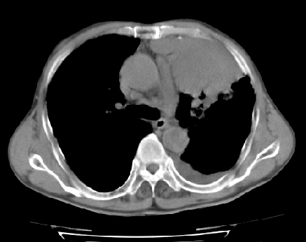
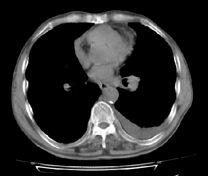
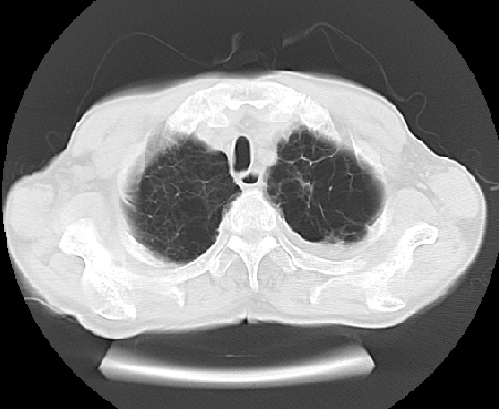
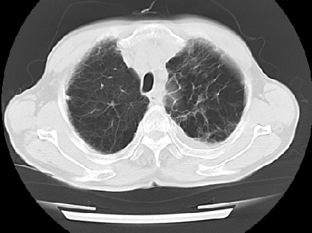
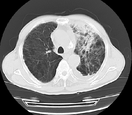
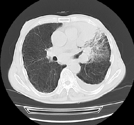
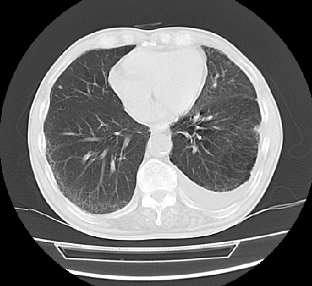
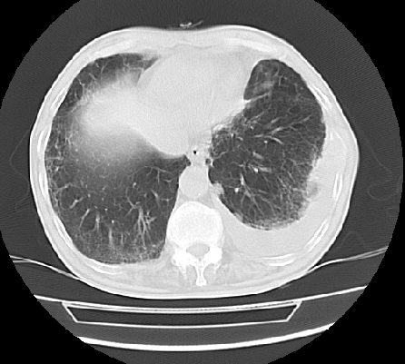
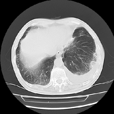
以下是引用ct诊断高手在2009-5-29 13:50:00的发言:[br]考虑左侧中央型肺癌,阻塞性肺炎伴肺不张。纵隔淋巴结转移。慢支 肺间质纤维化肺气肿。左侧胸腔积液。左侧肋骨转移?
以下是引用hhcckk在2009-5-29 14:58:00的发言:[br]左上周围型肺癌,左肺门、纵隔淋巴结转移,左侧胸腔积液,左侧肋骨转移[br]
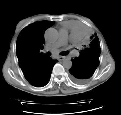
以下是引用hhcckk在2009-5-29 14:58:00的发言:[br]左上周围型肺癌,左肺门、纵隔淋巴结转移,左侧胸腔积液,左侧肋骨转移[br]
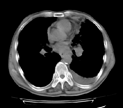
以下是引用hhcckk在2009-5-29 14:58:00的发言:[br]左上周围型肺癌,左肺门、纵隔淋巴结转移,左侧胸腔积液,左侧肋骨转移[br]
以下是引用ct诊断高手在2009-5-29 13:50:00的发言:[br]考虑左侧中央型肺癌,阻塞性肺炎伴肺不张。纵隔淋巴结转移。慢支 肺间质纤维化肺气肿。左侧胸腔积液。左侧肋骨转移?
以下是引用ct诊断高手在2009-5-29 13:50:00的发言:[br]考虑左侧中央型肺癌,阻塞性肺炎伴肺不张。纵隔淋巴结转移。慢支 肺间质纤维化肺气肿。左侧胸腔积液。左侧肋骨转移?
| 欢迎光临 医影在线 (http://bbs.radida.com/bbs/) | Powered by Discuz! X3.2 |