










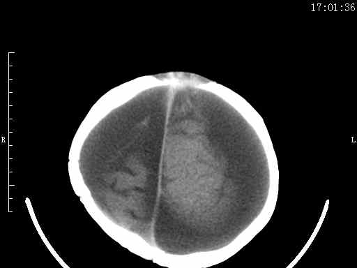
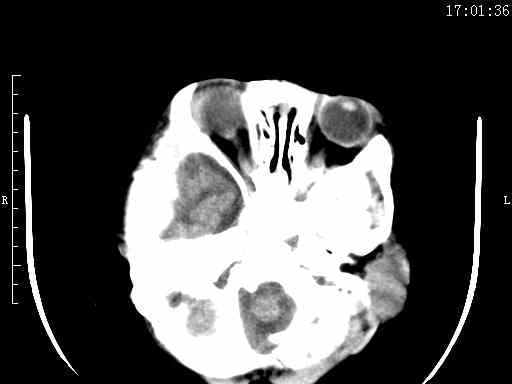
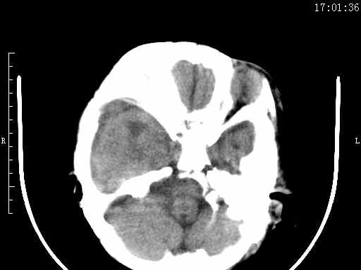
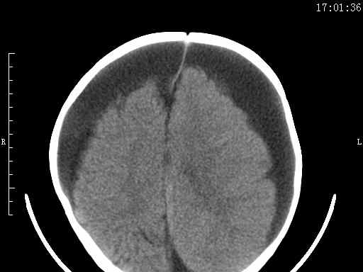
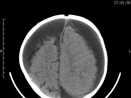
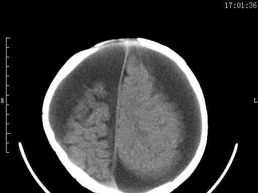
以下是引用余辉在2009-5-30 17:43:00的发言:[br]外围性脑积水在蛛网膜下腔,这个不像,双侧客部液区增宽,内见对称性弧形线状高密度影,边缘清晰锐利,右侧后端终止于冠状缝,左侧终止于人字缝,应该是硬脑膜.双侧硬膜下液区增宽,脑皮质受压变平,脑沟裂无显著增宽,考虑1双侧额颞顶部慢性硬膜外血肿伴硬膜下积液或慢性血肿2双侧慢性硬膜下积液伴硬脑膜剥离并有交通积液(反正考虑硬膜下及硬膜外的慢性血肿或积液)
以下是引用余辉在2009-5-30 17:43:00的发言:[br]外围性脑积水在蛛网膜下腔,这个不像,双侧客部液区增宽,内见对称性弧形线状高密度影,边缘清晰锐利,右侧后端终止于冠状缝,左侧终止于人字缝,应该是硬脑膜.双侧硬膜下液区增宽,脑皮质受压变平,脑沟裂无显著增宽,考虑1双侧额颞顶部慢性硬膜外血肿伴硬膜下积液或慢性血肿2双侧慢性硬膜下积液伴硬脑膜剥离并有交通积液(反正考虑硬膜下及硬膜外的慢性血肿或积液)
| 欢迎光临 医影在线 (http://bbs.radida.com/bbs/) | Powered by Discuz! X3.2 |