医影在线

标题: CT20268:肺泡癌?间质性肺炎? [打印本页]

作者: 韦伟    时间: 2009-5-31 09:12
标题: CT20268:肺泡癌?间质性肺炎?
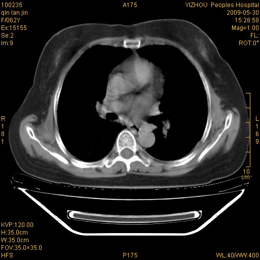
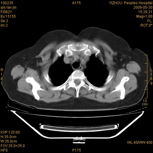
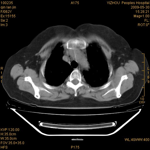
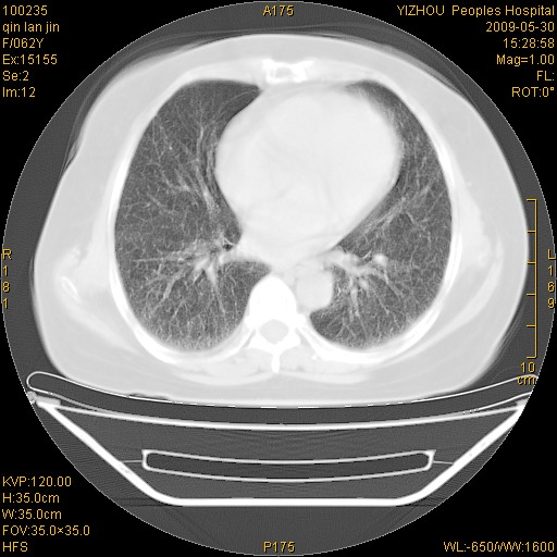
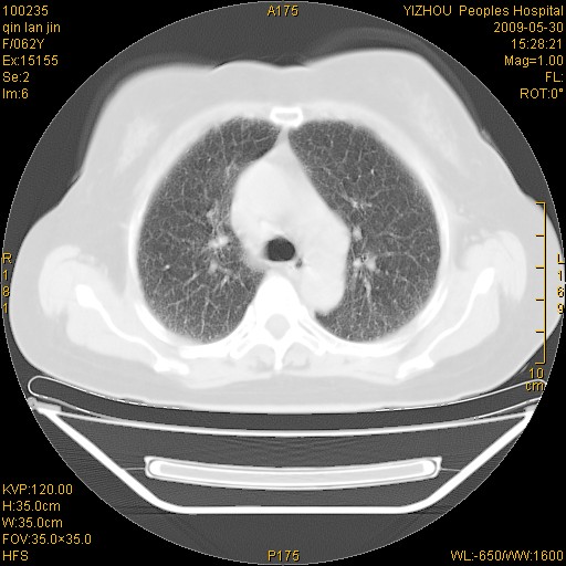
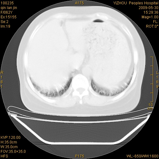
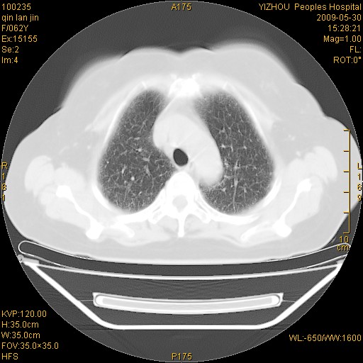
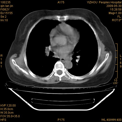
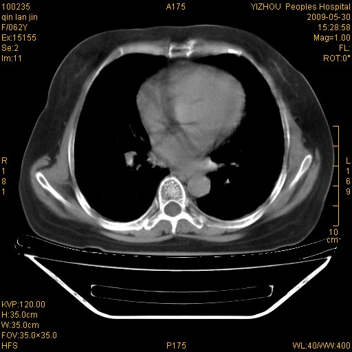
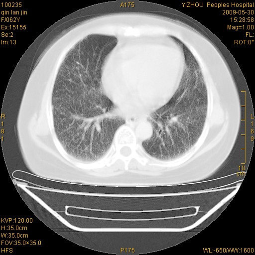
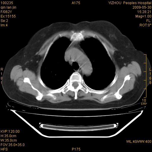
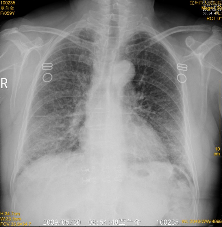
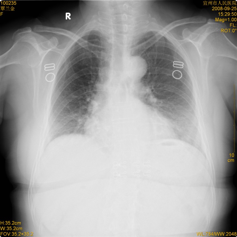
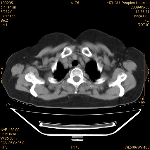
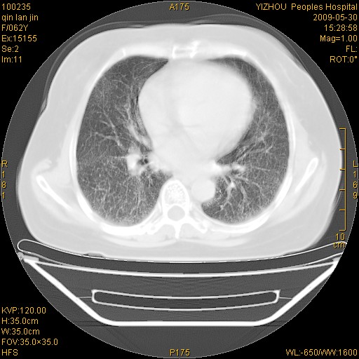
女,62岁,近二年经常咳嗽,近二个月,消瘦、乏力。



































[本贴已被 翁志蓬 于 2009-5-31 22:14:40 修改过]

作者: 韦伟    时间: 2009-5-31 09:15
前面一张胸片是今天照的,后面一张胸片是去年9月份的。
作者: yuhongjun    时间: 2009-5-31 13:35
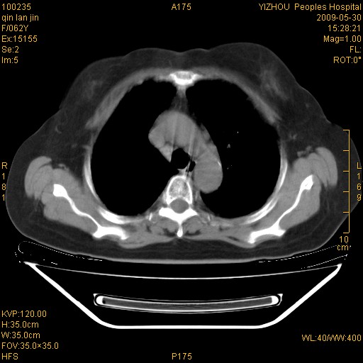
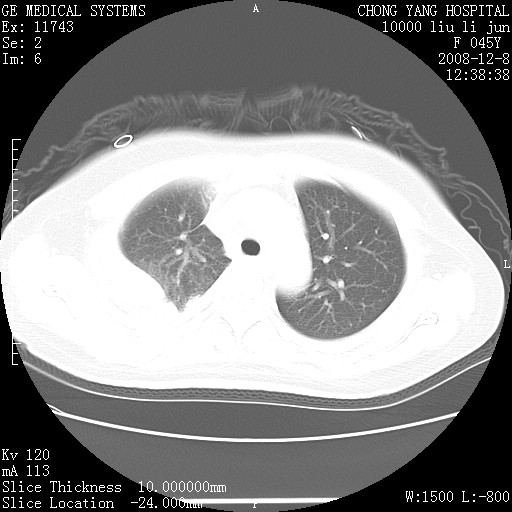
弥漫性双肺间质纤维化。
作者: 随光逐影    时间: 2009-5-31 15:21
两肺弥漫性间质性病变(间质性肺炎伴肺间质纤维化?)。
作者: bmw011    时间: 2009-5-31 16:03
标题: 回复:肺泡癌?间质性肺炎?
以下是引用随光逐影在2009-5-31 7:21:00的发言:[br]两肺弥漫性间质性病变(间质性肺炎伴肺间质纤维化)

作者: zjgdzq    时间: 2009-5-31 17:28
标题: 回复:肺泡癌?间质性肺炎?
以下是引用随光逐影在2009-5-31 7:21:00的发言:[br]两肺弥漫性间质性病变(间质性肺炎伴肺间质纤维化?)。

作者: zsl6918    时间: 2009-5-31 17:30
弥漫性双肺间质纤维化
作者: wangcxyisheng    时间: 2009-5-31 17:55
支持弥漫性肺间质纤维化。
作者: jiangjing    时间: 2009-5-31 18:15
支持 特发性间质性肺炎【iip 】
作者: 宇宙CT    时间: 2009-5-31 18:45
两肺弥漫性间质性病变(间质性肺炎伴肺间质纤维化?)。
作者: 吴承学    时间: 2009-5-31 19:56
标题: 回复:肺泡癌?间质性肺炎?
以下是引用yuhongjun在2009-5-31 5:35:00的发言:[br]弥漫性双肺间质纤维化。

作者: zjzjr    时间: 2009-5-31 23:35
间质性肺炎伴肺间质纤维化。
作者: zjb    时间: 2009-5-31 23:52
弥漫性双肺间质纤维化
作者: pujunzhi    时间: 2009-6-1 00:48
间质性肺炎伴肺间质纤维化。
作者: zhangjixiang    时间: 2009-6-1 05:42
纵隔淋巴结大,须排外癌性淋巴管炎
作者: 黑白光影    时间: 2009-6-1 05:57
支持弥漫性肺间质纤维化。
作者: 杀毒软件    时间: 2009-6-2 01:48
弥漫性双肺间质纤维化
作者: dr.yang    时间: 2012-7-11 22:00
弥漫性双肺间质纤维化




欢迎光临 医影在线 (http://bbs.radida.com/bbs/) Powered by Discuz! X3.2