医影在线

标题: X5871:右肘部肿物。 [打印本页]

作者: 杏林古木    时间: 2009-6-2 05:10
标题: X5871:右肘部肿物。
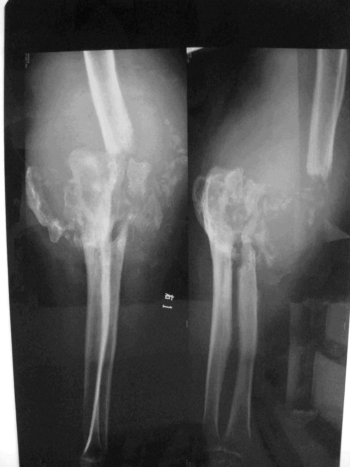
患者男性,57岁,主因右上肢肿物10年,突然加重伴发热10天入院。患者10年前无意中发现右前臂肿胀,无明显发热及疼痛,较对侧增粗。10余年无明显不适,无缓慢增长,不伴地热及盗汗,无皮肤红肿,自诉在当地行拍片检查未发现骨质异常,未曾治疗。10天前肿物突然出现增大,轻度发热,皮温增高,无手部麻木无力,无皮肤破溃。来院。患者自病情加重查体以来饮食差、消瘦,睡眠及二便正常。既往体健,无结核发病及接触史。5年前右手掌部感染,当地手术治疗,遗留右手屈曲挛缩畸形,功能丧失。查体:体消瘦,t:37.4摄氏度。右上肢明显肿胀,皮下深处质硬肿物,边界清楚,可轻度移动,轻度压痛,局部皮温增高,有波动感,右手肘、腕及各手指已完全丧失活动。
相关化验:c反应蛋白 56.8mg/l   ,  bun:2.42mmol/l  , alb:23.3g/l , glo:36.9g/l  ,hgb:76.4g/l , esr: 82mm/h。





[本贴已被 cefcmj 于 2009-6-1 22:09:22 修改过]

作者: ZHANGZHONGSHOU    时间: 2009-6-2 05:14
右肘关节神经性关节病
作者: zxl51642    时间: 2009-6-2 05:16
右肘夏科氏关节。
作者: 随光逐影    时间: 2009-6-2 05:19
右肘关节夏科关节(即神经性关节炎);建议行脊髓mri扫描检查。
作者: hexue    时间: 2009-6-2 05:31
夏科氏病可能性大
作者: 子期    时间: 2009-6-2 05:42
考虑结核可能性大。
作者: bmw011    时间: 2009-6-2 05:45
标题: 回复:右肘部肿物。
以下是引用随光逐影在2009-6-1 21:19:00的发言:[br]右肘关节夏科关节(即神经性关节炎);建议行脊髓mri扫描检查。

作者: myanyun    时间: 2009-6-2 06:04
考虑:夏克氏关节病(萎缩性)

影像学表现:关节不稳定,脱位,显著的关节渗出,关节骨端骨部分吸收,残余骨密度居正常或增加,周围软组织明显肿胀、规则钙化或碎骨片。
          轻微的自觉症状和严重的x线极不相称是诊断本病的要点。

鉴别诊断:
1、骨性关节病  虽然也可以看到骨刺形成,但程度较轻,病程较急(均与神经营养性关节病相比较),临床上可有运动障碍和疼痛,x线上看不到明显的骨破坏和结构上的紊乱;
2、结核  常看不到新骨形成和硬化,患者有疼痛和运动障碍,还可合并脓肿。
作者: cefcmj    时间: 2009-6-2 06:22
支持右肘关节神经性关节病!
作者: 黑白光影    时间: 2009-6-2 06:27
支持右肘关节夏科关节
作者: 513ytb    时间: 2009-6-2 06:37
血管瘤
作者: dyqct    时间: 2009-6-2 07:10
应该伴有感染吧!
作者: niezhenxiong    时间: 2009-6-2 07:49
没见过····学习了哦· · ·
作者: 自贡刘剑    时间: 2009-6-2 08:06
学习了,谢谢大家
作者: dr.yang    时间: 2009-6-2 08:09
典型。
作者: LIAOQIANG    时间: 2009-6-2 16:49
右肘夏科氏关节,结合临床考虑继发感染。
作者: xhp1976    时间: 2009-6-2 17:02
单从x片看确实像夏克氏关节病,8楼的老师分析的很有道理,但我们不能只看x片,更要结合临床。该患者临床并没有上肢感觉功能障碍,超声检查上臂软组织肿物,并有腋窝淋巴结肿大,因此用夏克氏关节不能解释。是否应考虑关节软组织肿块所致的骨质破坏,滑膜肉瘤更合理一些?
作者: muzi888    时间: 2009-6-2 17:26
右肘关节夏科关节(即神经性关节炎)支持!
作者: 医盲    时间: 2009-6-2 17:43
患者肘关节骨端广泛破坏、硬化且呈奇异形态,关节病理性脱位,周围软组织钙化,骨碎片,结合患者病程中无明显疼痛。近10天症状加重。综合上述几点考虑为夏科氏关节也称神经性关节炎,并发感染。
作者: 宇宙CT    时间: 2009-6-2 19:36
考虑:夏克氏关节病(萎缩性)

影像学表现:关节不稳定,脱位,显著的关节渗出,关节骨端骨部分吸收,残余骨密度居正常或增加,周围软组织明显肿胀、规则钙化或碎骨片。
          轻微的自觉症状和严重的x线极不相称是诊断本病的要点。

鉴别诊断:
1、骨性关节病  虽然也可以看到骨刺形成,但程度较轻,病程较急(均与神经营养性关节病相比较),临床上可有运动障碍和疼痛,x线上看不到明显的骨破坏和结构上的紊乱;
2、结核  常看不到新骨形成和硬化,患者有疼痛和运动障碍,还可合并脓肿
作者: 向武昌    时间: 2009-6-2 21:51
病史长(10年),临床症状较轻,x线表现重,无明确软组织块,现发作……典型夏科氏关节并感染。若为滑膜肉瘤,应早就到马克思哪报到。
作者: jinguoji    时间: 2009-6-2 22:08
右肘夏科氏关节。
作者: zjgdzq    时间: 2009-6-2 22:27
学习了
作者: sdynlxt2009    时间: 2009-6-2 23:18
谢谢楼主,学习了
作者: 观影朔征    时间: 2009-6-2 23:46
标题: 回复:x5871:右肘部肿物。
以下是引用zxl51642在2009-6-1 21:16:00的发言:[br]右肘夏科氏关节。

作者: 拾荒者    时间: 2009-6-3 04:42
典型的夏克氏关节。
作者: zhangkening    时间: 2009-6-3 05:15
这是一个血管瘤。
作者: weiyuefang    时间: 2009-6-5 03:03
右肘关节夏科关节
作者: z13511933102z    时间: 2009-6-5 07:29
轻微的自觉症状和严重的x线极不相称是诊断本病的要点,支持右肘关节神经性关节病!
作者: zhanggenliang    时间: 2009-6-5 07:39
多谢8楼的精彩讲解。支持夏克氏关节病
作者: YRJ0513    时间: 2009-6-5 23:09
学习了
作者: 黄玉龙    时间: 2009-6-6 18:11
夏科氏病可能性大
作者: 飞翔十里    时间: 2009-6-6 18:47
学习了
作者: shibing    时间: 2014-6-7 09:56
夏科氏病可能性大




欢迎光临 医影在线 (http://bbs.radida.com/bbs/) Powered by Discuz! X3.2