医影在线

标题: X5915:胫骨下段 [打印本页]

作者: xxhwh    时间: 2009-6-9 04:17
标题: X5915:胫骨下段
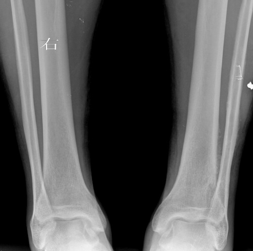
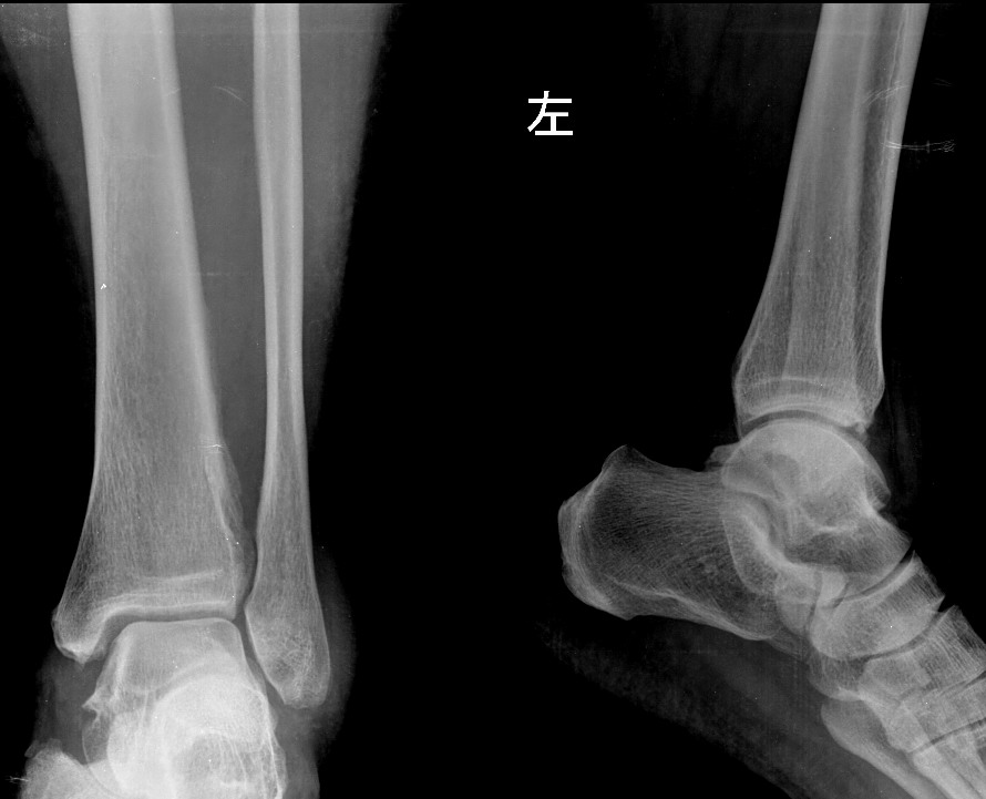
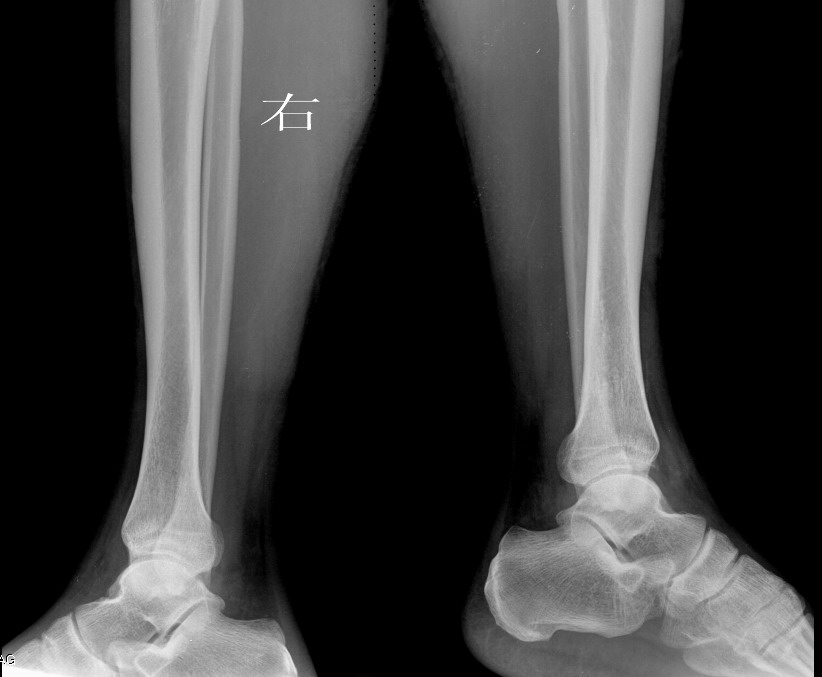
大家帮忙看下左胫骨下段外侧是骨膜反应还是骨间膜改变,或者其它病变
例1、女,48岁,以外伤就诊

例2、男,52岁,偶有左下肢隐痛,这例腓骨也有异常




[本贴已被 cefcmj 于 2009-6-8 21:37:43 修改过]

作者: 513ytb    时间: 2009-6-9 06:57
双侧对比应该有
作者: hexue    时间: 2009-6-9 07:24
正常
作者: bmw011    时间: 2009-6-9 08:12
正常
作者: 小林秋风    时间: 2009-6-9 14:09
标题: 回复:x5915:胫骨下段
以下是引用hexue在2009-6-8 23:24:00的发言:[br]正常

作者: junhua3456    时间: 2009-6-9 15:20
例1正常;例2感觉不对,是否为软组织病变所致?不解!
作者: 随光逐影    时间: 2009-6-9 15:21
未见明确异常。
作者: LIAOQIANG    时间: 2009-6-9 17:00
例2考虑骨膜反应。
作者: zsl6918    时间: 2009-6-9 17:19
例1正常;例2不正常.
作者: 黄玉龙    时间: 2009-6-9 17:29
未见明确异常。
作者: scw007    时间: 2009-6-9 19:24
标题: 回复:x5915:胫骨下段
以下是引用liaoqiang在2009-6-9 9:00:00的发言:[br]例2考虑骨膜反应(感染?)。

支持,建议观察复查。
作者: 黑白光影    时间: 2009-6-9 21:21
不是人人有,有了也不见得全是异常。第一例可能是骨间膜改变; 第二例可考虑筋膜慢性炎性浸润所致。
作者: lanjingshi    时间: 2009-6-9 22:45
发育
作者: gaoyang8    时间: 2009-6-9 23:48
例2考虑骨膜反应(感染?)。


支持,建议观察复查。
作者: 观影朔征    时间: 2009-6-10 01:10
正常
作者: 杀毒软件    时间: 2009-6-10 01:24
标题: 回复:x5915:胫骨下段
以下是引用黑白光影在2009-6-9 13:21:00的发言:[br]不是人人有,有了也不见得全是异常。第一例可能是骨间膜改变; 第二例可考虑筋膜慢性炎性浸润所致。

支持
作者: 宇宙CT    时间: 2009-6-10 04:05
未见明确异常。
作者: 拾荒者    时间: 2009-6-10 04:27
是不是拍片的时候病人不稳定所致?正侧位综合观察未见明显异常。
作者: 蕊蕊爱影像    时间: 2009-6-10 05:52
例二的骨质有低密度的地方?
作者: zhanggenliang    时间: 2009-6-10 06:00
第一例考虑骨间膜,第二例考虑骨膜反应
作者: dr.yang    时间: 2009-6-10 08:03
未见明确异常。
作者: 513ytb    时间: 2009-6-25 07:45
未见明确异常,有无症状。
作者: shibing    时间: 2014-6-30 08:06
未见明确异常。




欢迎光临 医影在线 (http://bbs.radida.com/bbs/) Powered by Discuz! X3.2