








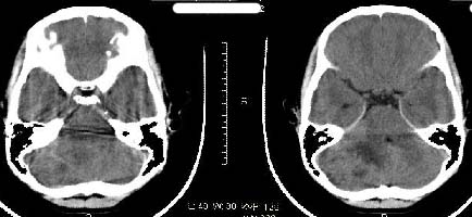
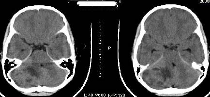
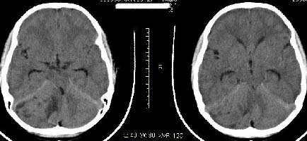
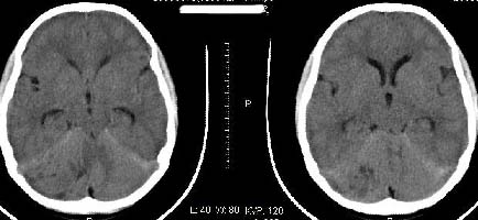
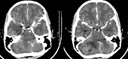
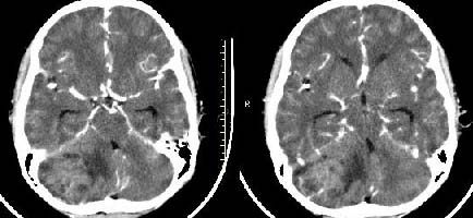
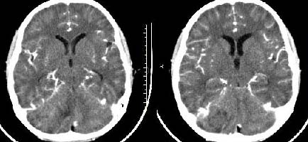
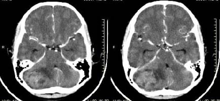
以下是引用子期在2009-6-10 21:34:00的发言:[br]髓母细胞瘤一般位于中线附近和小脑蚓部,该病灶位于右侧小脑半球,倾向于毛细胞型星形细胞瘤,当然也不能完全排除髓母细胞瘤。
以下是引用随光逐影在2009-6-10 22:26:00的发言:[br]考虑右侧小脑胶质瘤,髓母细胞瘤待排。
以下是引用子期在2009-6-10 21:34:00的发言:[br]髓母细胞瘤一般位于中线附近和小脑蚓部,该病灶位于右侧小脑半球,倾向于毛细胞型星形细胞瘤,当然也不能完全排除髓母细胞瘤。
以下是引用影象小泰斗在2009-6-10 22:14:00的发言:[br]年龄及影像表现军符合小脑星形细胞瘤表现![br]期待病理结果!
以下是引用随光逐影在2009-6-10 22:26:00的发言:[br]考虑右侧小脑胶质瘤,髓母细胞瘤待排。
| 欢迎光临 医影在线 (http://bbs.radida.com/bbs/) | Powered by Discuz! X3.2 |