医影在线

标题: CT20488:女,39岁,体检,双侧脑室有问题吗? [打印本页]

作者: lanrenlaile    时间: 2009-6-11 19:28
标题: CT20488:女,39岁,体检,双侧脑室有问题吗?













[本贴已被 jiajie 于 2009-6-11 12:31:38 修改过]

作者: 自贡刘剑    时间: 2009-6-11 19:46
正常
作者: xinliheng001    时间: 2009-6-11 20:01
没见过但可能没啥病理意义吧。
作者: 帅河马    时间: 2009-6-11 20:06
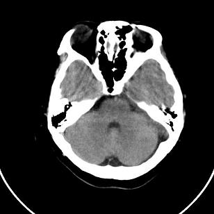
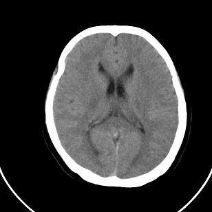
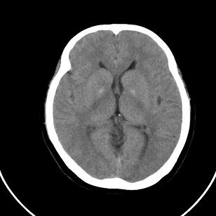
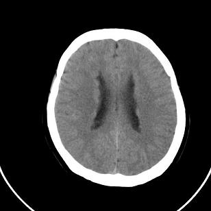
双侧脑室边缘呈波浪样,没有见过?
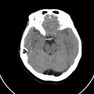
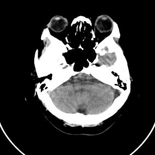
小脑后的囊状低密度影,里面可见分隔,考虑枕大池还是蛛网膜囊肿。
作者: 深泽交通    时间: 2009-6-11 20:09
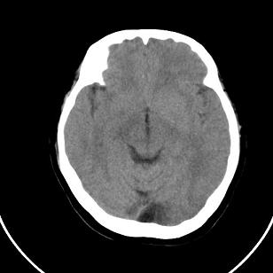
双侧脑室外缘灰质密度结节应该是尾状核的体部;枕大池前缘受压前移位,考虑囊肿
作者: hhcckk    时间: 2009-6-11 22:07
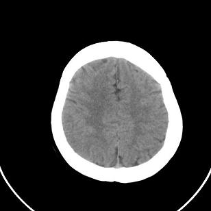
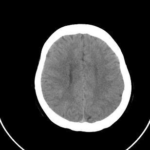
不知患者有无临床症状,双侧侧脑室边缘不规则,呈波浪状,考虑脑室周围白质软化症可能性大
脑室周围白质软化症(periventricular leukomalacia, pvl)是继发性脑白质病。见于早产儿及产后窒息存活的儿童,由于缺血缺氧性脑实质损伤,而引起脑室周围白质软化。
临床表现:包括皮质盲、智力障碍、双下肢痉挛性瘫或四肢瘫。
影像学表现:软化灶分布于半卵圆中心和脑室周围白质,呈斑片状或长条状,多为双侧分布,脑室扩大,且脑室缘不规整。这是本症在影像学上的特点。
作者: 卜一    时间: 2009-6-11 22:17
不知患者有无临床症状,双侧侧脑室边缘不规则,呈波浪状,考虑脑室周围白质软化症可能性大
脑室周围白质软化症(periventricular leukomalacia, pvl)是继发性脑白质病。见于早产儿及产后窒息存活的儿童,由于缺血缺氧性脑实质损伤,而引起脑室周围白质软化。
临床表现:包括皮质盲、智力障碍、双下肢痉挛性瘫或四肢瘫。
影像学表现:软化灶分布于半卵圆中心和脑室周围白质,呈斑片状或长条状,多为双侧分布,脑室扩大,且脑室缘不规整。这是本症在影像学上的特点。  
  
学习!致敬!
作者: 杨军    时间: 2009-6-11 22:31
只有一层显示双侧侧脑室边缘不规则,呈波浪状,不排除部分容积效应,我做的话薄层再扫描一下
作者: 天南地北    时间: 2009-6-11 22:47
这个病例不符合脑室周围白质软化症
是不是应该考虑结节性硬化或者灰质移位,建议mri
我曾碰过类似一例病例
迟点发上来
作者: zjzjr    时间: 2009-6-11 23:12
支持灰质移位,mri检查有必要.枕大池蛛网膜囊肿.
作者: 随光逐影    时间: 2009-6-11 23:17
1)脑灰质异位。2)双侧枕部颅骨内板下方类似扇形及弧形脑脊样低密度影;鉴别于巨大枕大池与蛛网膜囊肿之间。建议必要时行进一步检查。
作者: bmw011    时间: 2009-6-11 23:23
支持灰质移位,mri检查有必要.枕大池蛛网膜囊肿.
作者: 杀毒软件    时间: 2009-6-12 01:40
标题: 回复:ct20488:女,39岁,体检,双侧脑室有问题吗?
以下是引用zjzjr在2009-6-11 15:12:00的发言:[br]支持灰质移位,mri检查有必要.枕大池蛛网膜囊肿.

支持
作者: pujunzhi    时间: 2009-6-12 04:59
支持 1灰质移位,2枕大池蛛网膜囊肿。
作者: mmy_cat_1    时间: 2009-6-12 05:25
正常,侧脑室纵络丛走行血管
作者: 黑白光影    时间: 2009-6-12 05:27
1)脑灰质异位。2)双侧枕部颅骨内板下方类似扇形及弧形脑脊样低密度影;鉴别于巨大枕大池与蛛网膜囊肿之间。建议必要时行进一步检查。
作者: mmy_cat_1    时间: 2009-6-12 05:31
正常,考虑侧脑室脉络丛走行血管
作者: yuhongjun    时间: 2009-6-12 12:41
支持灰质移位,mri检查有必要.枕大池蛛网膜囊肿.
作者: chinanyd    时间: 2009-6-12 13:46
建议行mri检查,期待结果的公布。考虑灰质异位症,不知道患者有无临床症状啊
作者: 奥特之父    时间: 2009-6-12 18:16
我倾向9楼意见。
作者: guoanwei2008    时间: 2009-6-13 00:08
各位,学习了。
作者: 513ytb    时间: 2009-6-19 07:43
支持灰质移位,mri检查有必要.枕大池蛛网膜囊肿




欢迎光临 医影在线 (http://bbs.radida.com/bbs/) Powered by Discuz! X3.2