医影在线

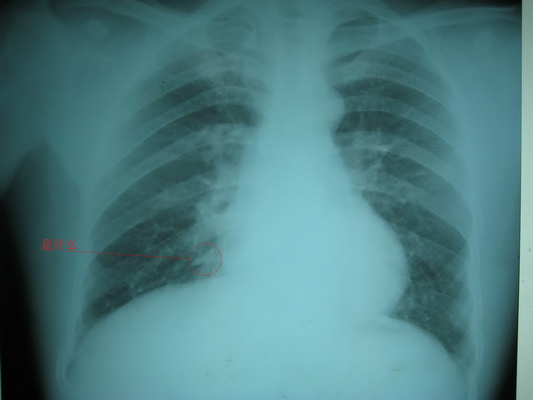
标题: X5931:男,45岁.水泥厂工人体检. [打印本页]

作者: clj20    时间: 2009-6-12 00:28
标题: X5931:男,45岁.水泥厂工人体检.




[本贴已被 jiajie 于 2009-6-11 18:04:17 修改过]

作者: bmw011    时间: 2009-6-12 00:38
不好定,ct检查吧。
作者: 杀毒软件    时间: 2009-6-12 01:08
转个斜位看看,效果更好
作者: 帅河马    时间: 2009-6-12 02:03
密度挺高,看走形像肋软骨钙化。
必要时ct吧
作者: yuhongjun    时间: 2009-6-12 02:35
不好说 透视下看看。
作者: 华英雄    时间: 2009-6-12 02:40
条件偏小,胸膜钙化?
作者: wangyong1977    时间: 2009-6-12 03:17
不好说 透视下看看。
作者: sdynlxt2009    时间: 2009-6-12 04:14
标题: 回复:x5931:男,45岁.水泥厂工人体检.
以下是引用yuhongjun在2009-6-11 18:35:00的发言:[br]不好说 透视下看看。

作者: 黑白光影    时间: 2009-6-12 04:46
标题: 回复:x5931:男,45岁.水泥厂工人体检.
以下是引用bmw011在2009-6-11 16:38:00的发言:[br]不好定,ct检查吧。

作者: gjj6818    时间: 2009-6-12 04:59
不好说 透视下看看。
作者: dyqct    时间: 2009-6-12 07:06
标题: 回复:x5931:男,45岁.水泥厂工人体检.
以下是引用bmw011在2009-6-11 16:38:00的发言:[br]不好定,ct检查吧。

应该。
作者: 寻芳者    时间: 2009-6-12 07:11
不好说 透视下看看。-----------
作者: HPZYYDL    时间: 2009-6-12 07:29
盘状肺不张?
作者: zhanggenliang    时间: 2009-6-12 07:39
不好定。透视一下,转动体位应该看出一些变化
作者: 随光逐影    时间: 2009-6-12 15:25
右下胸膜钙化?建议必要时行ct扫描检查。
作者: 592438394    时间: 2009-6-12 17:06
不好定,ct检查吧。  
   

bmw011说

  

睇野睇全套,食野食味道。
作者: 观影朔征    时间: 2009-6-12 18:09
底段血管
作者: xiaojiaose    时间: 2009-6-12 20:53
做个ct看看密度吧!或看看斜位看是那里的东西!
作者: qsbaomingcheng    时间: 2009-6-12 21:48
不好说 透视下看看。
作者: gaoyang8    时间: 2009-6-13 00:42
不好说 ,做个ct看看吧!
作者: jiangguowu    时间: 2009-6-13 01:19
支持血管影,血管及周边组织组合影
作者: wuyiyunwu    时间: 2009-6-13 03:11
两肺纹理增粗,两肺门稍增大,结合临床考虑尘肺改变可能.右下肺心隔角旁条索影应该是右下肺静脉影.
楼主是山口百惠的粉丝了,顶!
作者: ljj88    时间: 2009-6-13 04:17
不好说 透视下看看。
作者: hexue    时间: 2009-6-13 05:04
未见异常
作者: 拾荒者    时间: 2009-6-13 06:17
还是结合透视转动一下或直接建议ct扫描!
作者: scw007    时间: 2009-6-13 17:34
不除外感染或肺不张,ct不就行了
作者: abmwc    时间: 2009-6-18 23:18
1 加照侧位片。2 充分吸气下再摄一张正位片。
作者: 513ytb    时间: 2009-6-27 01:25
两肺纹理增粗,两肺门稍增大,结合临床考虑尘肺改变可能.右下肺心隔角旁条索影应该是右下肺静脉影.
作者: shibing    时间: 2014-7-27 15:41
透视下看看。




欢迎光临 医影在线 (http://bbs.radida.com/bbs/) Powered by Discuz! X3.2