医影在线

标题: CT20507:请问老师,鞍背正常吗?? [打印本页]

作者: zhuoluoshishui    时间: 2009-6-12 23:59
标题: CT20507:请问老师,鞍背正常吗??




[本贴已被 翁志蓬 于 2009-6-12 22:31:07 修改过]

作者: 深泽交通    时间: 2009-6-13 00:00
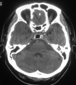
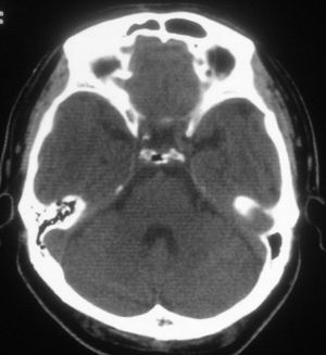
空蝶鞍,正常变异
作者: 随光逐影    时间: 2009-6-13 00:25
鞍背正常——为蝶窦过度气化所致。
作者: bmw011    时间: 2009-6-13 00:36
支持。
作者: 晨星剑    时间: 2009-6-13 00:45
请上传骨窗。另摄头颅侧位片
作者: zjzjr    时间: 2009-6-13 01:00
鞍背正常——为蝶窦过度气化所致。
作者: jiangguowu    时间: 2009-6-13 01:08
鞍背正常——为蝶窦过度气化所致
作者: pujunzhi    时间: 2009-6-13 01:10
标题: 回复:请问老师,鞍钡正常吗??
以下是引用zjzjr在2009-6-12 17:00:00的发言:[br]鞍背正常——为蝶窦过度气化所致。

作者: 飘影    时间: 2009-6-13 01:45
标题: 回复:请问老师,鞍钡正常吗??
以下是引用随光逐影在2009-6-12 16:25:00的发言:[br]鞍背正常——为蝶窦过度气化所致。

作者: 杀毒软件    时间: 2009-6-13 02:09
正常
作者: 牟言科    时间: 2009-6-13 02:42
是的,正常鞍区表现。鞍背骨质的低密度气体为蝶窦过度气化所致!
作者: junhua3456    时间: 2009-6-13 03:02
学习了
作者: 刘阿赵    时间: 2009-6-13 03:03
正常
作者: 帅河马    时间: 2009-6-13 06:04
0k
作者: zsl6918    时间: 2009-6-13 06:08
把资料上传完整,综合分析.
作者: yuhongjun    时间: 2009-6-13 13:22
正常鞍区表现。鞍背骨质的低密度气体为蝶窦过度气化所致!
作者: 黑白光影    时间: 2009-6-13 17:36
正常,鞍背骨质的低密度气体为蝶窦过度气化所致。
作者: 513ytb    时间: 2009-6-19 07:49
鞍背正常——为蝶窦过度气化所致




欢迎光临 医影在线 (http://bbs.radida.com/bbs/) Powered by Discuz! X3.2