


























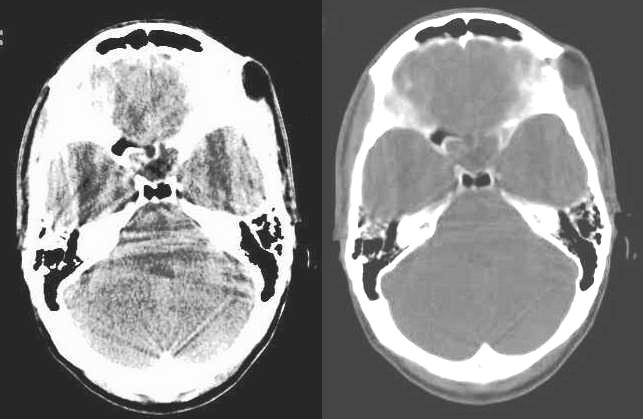
以下是引用随光逐影在2009-6-13 7:45:00的发言:[br]考虑皮样囊肿或表皮样囊肿。
以下是引用随光逐影在2009-6-13 7:45:00的发言:[br]考虑皮样囊肿或表皮样囊肿。

以下是引用随光逐影在2009-6-13 7:45:00的发言:[br]考虑皮样囊肿或表皮样囊肿。
以下是引用随光逐影在2009-6-13 7:45:00的发言:[br]考虑皮样囊肿或表皮样囊肿。
| 欢迎光临 医影在线 (http://bbs.radida.com/bbs/) | Powered by Discuz! X3.2 |