


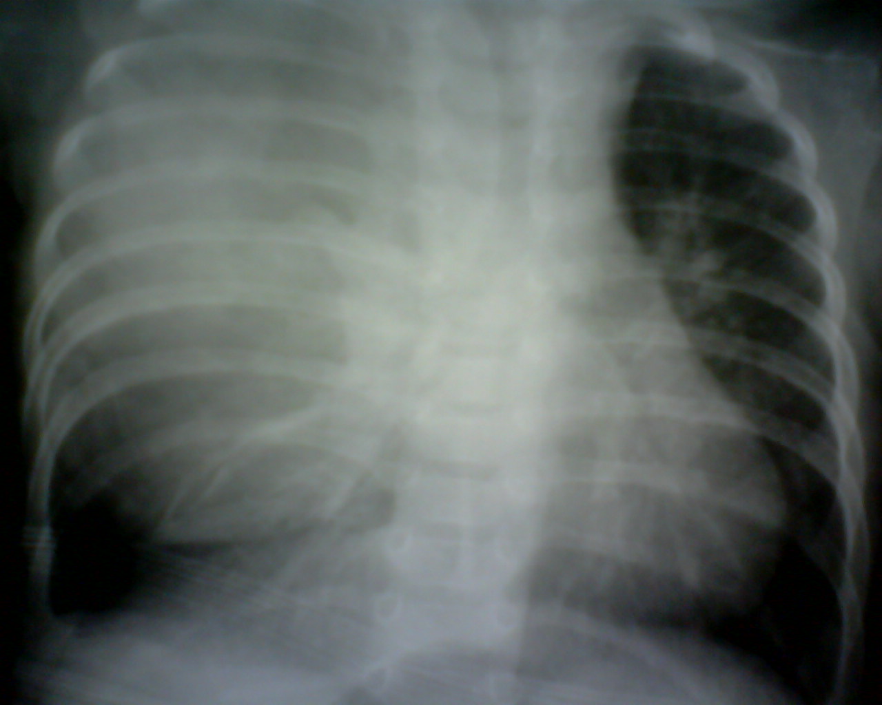
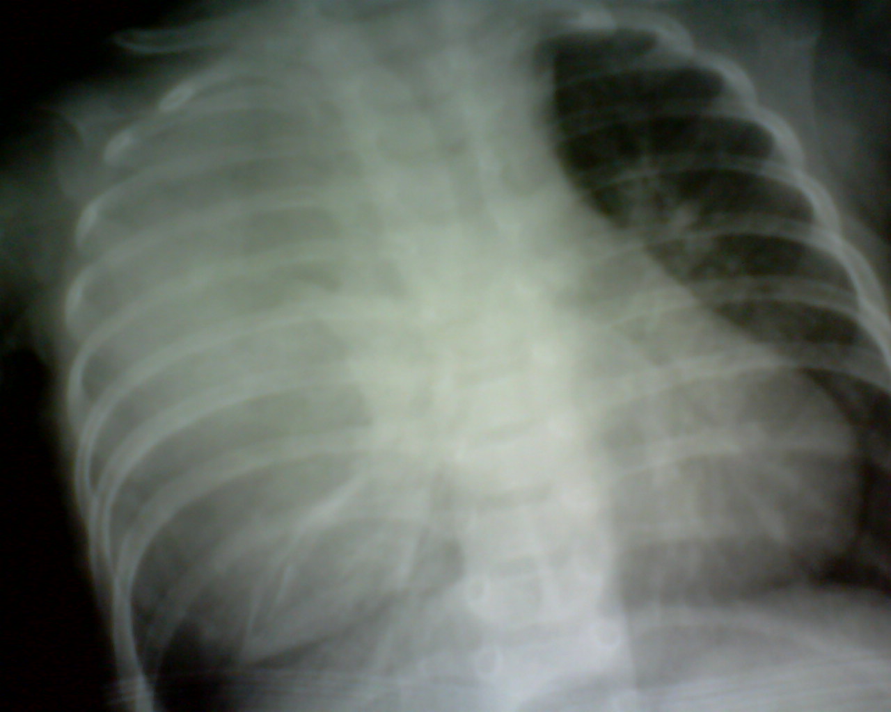
以下是引用随光逐影在2009-6-13 17:22:00的发言:[br]考虑纵隔巨大占位性病变(皮样囊肿?);建议行ct扫描检查。 [br] [br]
以下是引用me13930865在2009-6-13 17:33:00的发言:[br]纵隔占位性病变?建议ct检查,没有病史?
以下是引用随光逐影在2009-6-13 17:22:00的发言:[br]考虑纵隔巨大占位性病变(皮样囊肿?);建议行ct扫描检查。 [br] [br]
以下是引用heroin29在2009-6-14 2:02:00的发言:[br]纵隔无移位啊,如此大的占位无压迫?
以下是引用随光逐影在2009-6-13 17:22:00的发言:[br]考虑纵隔巨大占位性病变(皮样囊肿?);建议行ct扫描检查。 [br] [br]
以下是引用随光逐影在2009-6-13 17:22:00的发言:[br]考虑纵隔巨大占位性病变(皮样囊肿?);建议行ct扫描检查。 [br] [br]
以下是引用随光逐影在2009-6-13 17:22:00的发言:[br]考虑纵隔巨大占位性病变(皮样囊肿?);建议行ct扫描检查。 [br] [br]
以下是引用随光逐影在2009-6-13 17:22:00的发言:[br]考虑纵隔巨大占位性病变(皮样囊肿?);建议行ct扫描检查。 [br] [br]
| 欢迎光临 医影在线 (http://bbs.radida.com/bbs/) | Powered by Discuz! X3.2 |