医影在线

标题: CT20647:男性,45岁,胸疼,低热,抗炎治疗后症状缓解 [打印本页]

作者: zgb5618    时间: 2009-6-18 21:56
标题: CT20647:男性,45岁,胸疼,低热,抗炎治疗后症状缓解
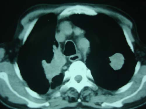
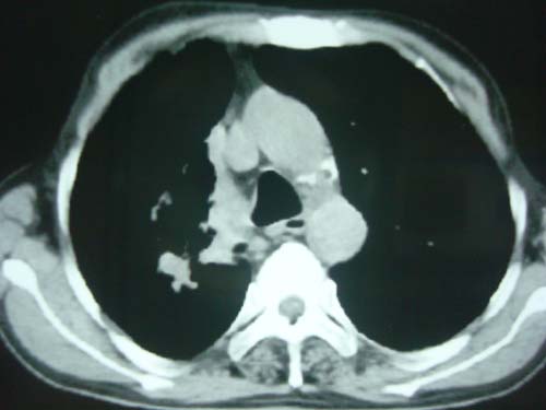
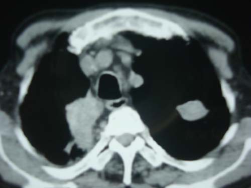
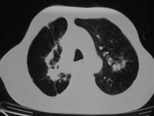
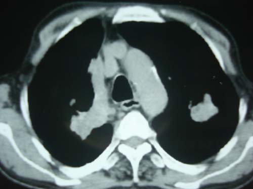
男性,45岁,胸疼,低热,抗炎治疗后症状缓解拍片检查发现左上肺有高密度灶,考虑结核,做ct示条件有限采集了部分图像,图像质量差请谅解














[本贴已被 jiajie 于 2009-6-18 20:01:46 修改过]

作者: liaizhi    时间: 2009-6-18 22:24
病灶有分叶,毛刺,考虑肺癌可能性大,建议穿刺。
作者: DXM    时间: 2009-6-18 22:48
病灶有分叶 毛刺 左侧叶裂上移 考虑肺癌可能性大 建议穿刺
作者: bmw011    时间: 2009-6-18 22:50
考虑肺癌可能性大
作者: xizhong    时间: 2009-6-18 22:57
标题: 回复:胸部ct
以下是引用liaizhi在2009-6-18 14:24:00的发言:[br]病灶有分叶,毛刺,考虑肺癌可能性大,建议穿刺。

作者: hzhhh1105    时间: 2009-6-18 23:24
考虑肺癌可能性大
作者: zjzjr    时间: 2009-6-18 23:52
右上肺结核,左上肺周围型肺癌可能性大
作者: 深泽交通    时间: 2009-6-19 00:41
双肺tb灶
作者: muzi888    时间: 2009-6-19 01:28
考虑结核!
作者: 随光逐影    时间: 2009-6-19 01:38
考虑两肺上叶继发性肺结核;肺气肿(多发肺大泡)。
建议:追踪复查。
作者: ql    时间: 2009-6-19 01:52
结核
作者: 帅河马    时间: 2009-6-19 02:01
怎么两侧都像肺癌啊
作者: 宇宙CT    时间: 2009-6-19 03:15
右上肺结核,左上肺周围型肺癌可能性大
作者: 513ytb    时间: 2009-6-19 03:40
尘肺
作者: 37度    时间: 2009-6-19 03:46
问下职业史,矽肺结节也说不定。
作者: 同    时间: 2009-6-19 04:50
右分叶,右毛刺,考虑肺癌可能性大。
作者: zsl6918    时间: 2009-6-19 04:51
支持继发性结核诊断
作者: dr.yang    时间: 2009-6-19 05:33
考虑两肺上叶继发性肺结核;肺气肿(多发肺大泡)。
建议:追踪复查。
作者: 秋生    时间: 2009-6-19 06:00
肺癌 追问有无粉尘接触史
作者: 黑白光影    时间: 2009-6-19 06:14
考虑两肺上叶继发性肺结核;肺气肿(多发肺大泡)。建议:追踪复查
作者: pujunzhi    时间: 2009-6-19 06:35
考虑双肺上叶继发性肺结核,定期复查。
作者: 影像孺子牛    时间: 2009-6-19 07:37
问下职业史,矽肺结节也说不定。

团块状病灶,病灶周围长毛刺及灶周肺气肿。
作者: yuhongjun    时间: 2009-6-19 13:46
支持楼上。




欢迎光临 医影在线 (http://bbs.radida.com/bbs/) Powered by Discuz! X3.2