医影在线

标题: PED1957:男性,5个月。抽风两次。 [打印本页]

作者: sxlcbc    时间: 2009-6-19 00:12
标题: PED1957:男性,5个月。抽风两次。



[本贴已被 余辉 于 2009-6-18 19:19:26 修改过]

作者: zoujunhui1977    时间: 2009-6-19 00:58
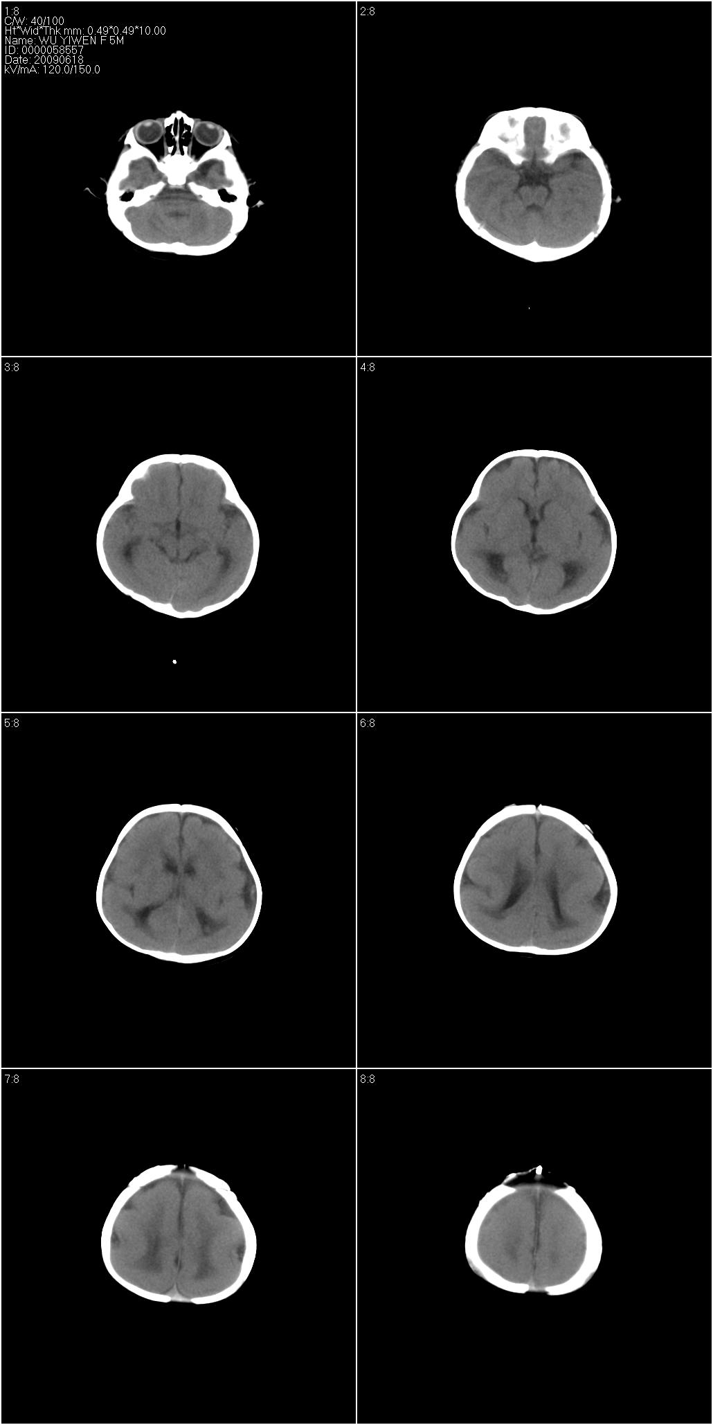
巨脑回
作者: zjzjr    时间: 2009-6-19 01:33
支持巨脑回.脑白质稀少,考虑发育不良.
作者: 随光逐影    时间: 2009-6-19 01:45
符合巨脑回表现。
作者: bmw011    时间: 2009-6-19 02:31
符合巨脑回表现。
作者: 沉默是金    时间: 2009-6-19 03:30
巨脑回
作者: 余辉    时间: 2009-6-19 03:41
大脑发育不良(巨脑回为主)
作者: 拾荒者    时间: 2009-6-19 05:13
标题: 回复:ped1957:男性,5个月。抽风两次。
以下是引用zjzjr在2009-6-18 17:33:00的发言:[br]支持巨脑回.脑白质稀少,考虑发育不良.

作者: zsl6918    时间: 2009-6-19 05:25
支持巨脑回
作者: 吴承学    时间: 2009-6-19 15:04
标题: 回复:ped1957:男性,5个月。抽风两次。
以下是引用随光逐影在2009-6-18 17:45:00的发言:[br]符合巨脑回表现。

作者: 黑白光影    时间: 2009-6-19 17:21
标题: 回复:ped1957:男性,5个月。抽风两次。
以下是引用余辉在2009-6-18 19:41:00的发言:[br]大脑发育不良(巨脑回为主)

作者: hhhhhh6    时间: 2009-6-19 17:53
巨脑回看见了,有名有肾上腺脑白质营养不良什么的
作者: 水蓝色的    时间: 2009-6-19 23:47
支持巨脑回。
作者: 杀毒软件    时间: 2009-6-20 01:57
巨脑回
作者: scdlc2008    时间: 2009-6-20 08:11
巨脑回
作者: 513ytb    时间: 2009-6-20 09:04
支持巨脑回.脑白质稀少,考虑发育不良
作者: 康振朝    时间: 2009-6-20 20:58
符合巨脑回表现
作者: xizhong    时间: 2009-6-24 17:45
支持巨脑回
作者: 帅河马    时间: 2009-6-24 22:43
支持巨脑回.
作者: yuhongjun    时间: 2009-11-30 13:58
支持巨脑回.脑白质稀少,考虑发育不良




欢迎光临 医影在线 (http://bbs.radida.com/bbs/) Powered by Discuz! X3.2