医影在线

标题: CT20652:男性 65岁 胸片发现右下肺包块.诊断肺ca并纵隔转移没 [打印本页]

作者: 18269611    时间: 2009-6-19 06:29
标题: CT20652:男性 65岁 胸片发现右下肺包块.诊断肺ca并纵隔转移没
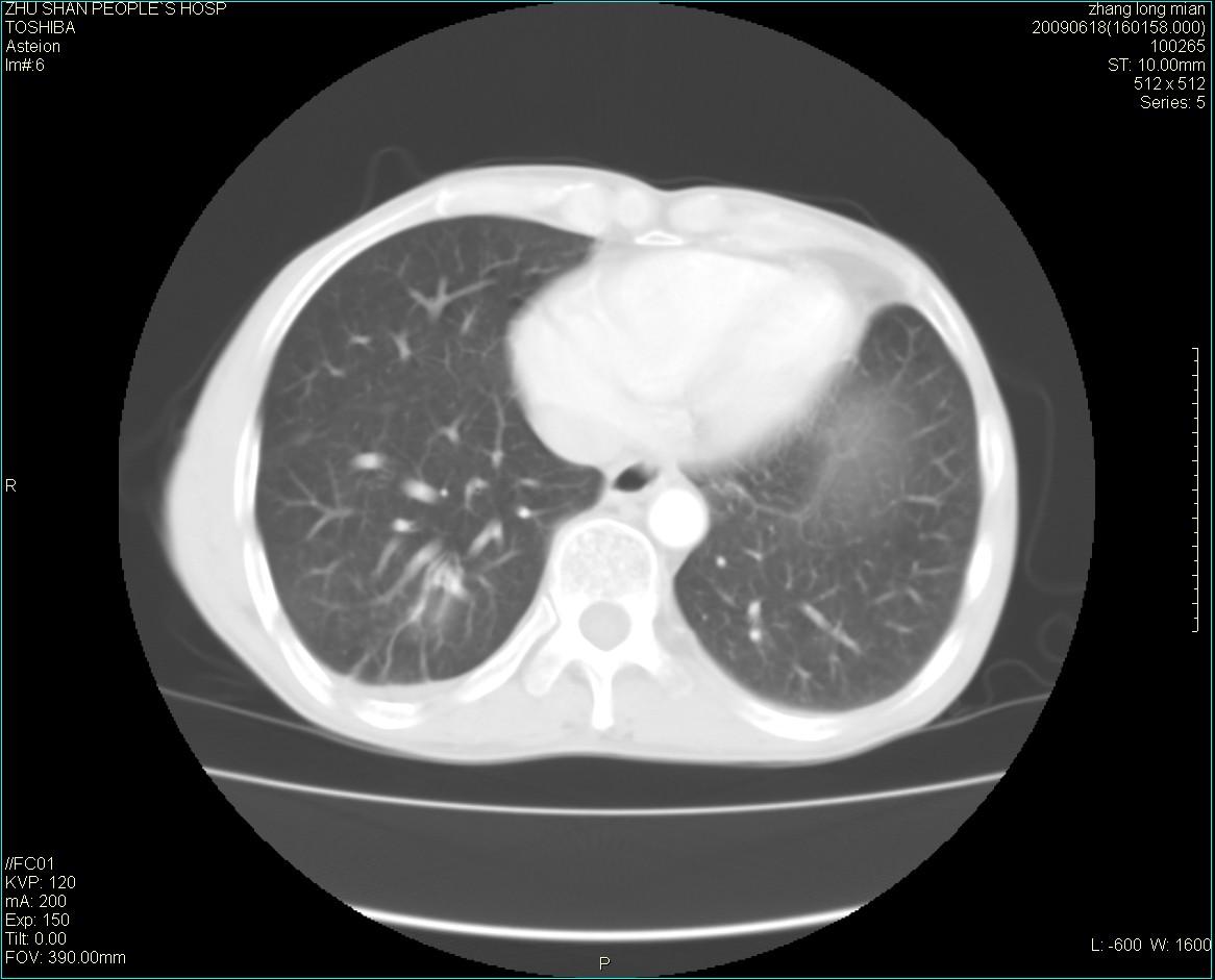
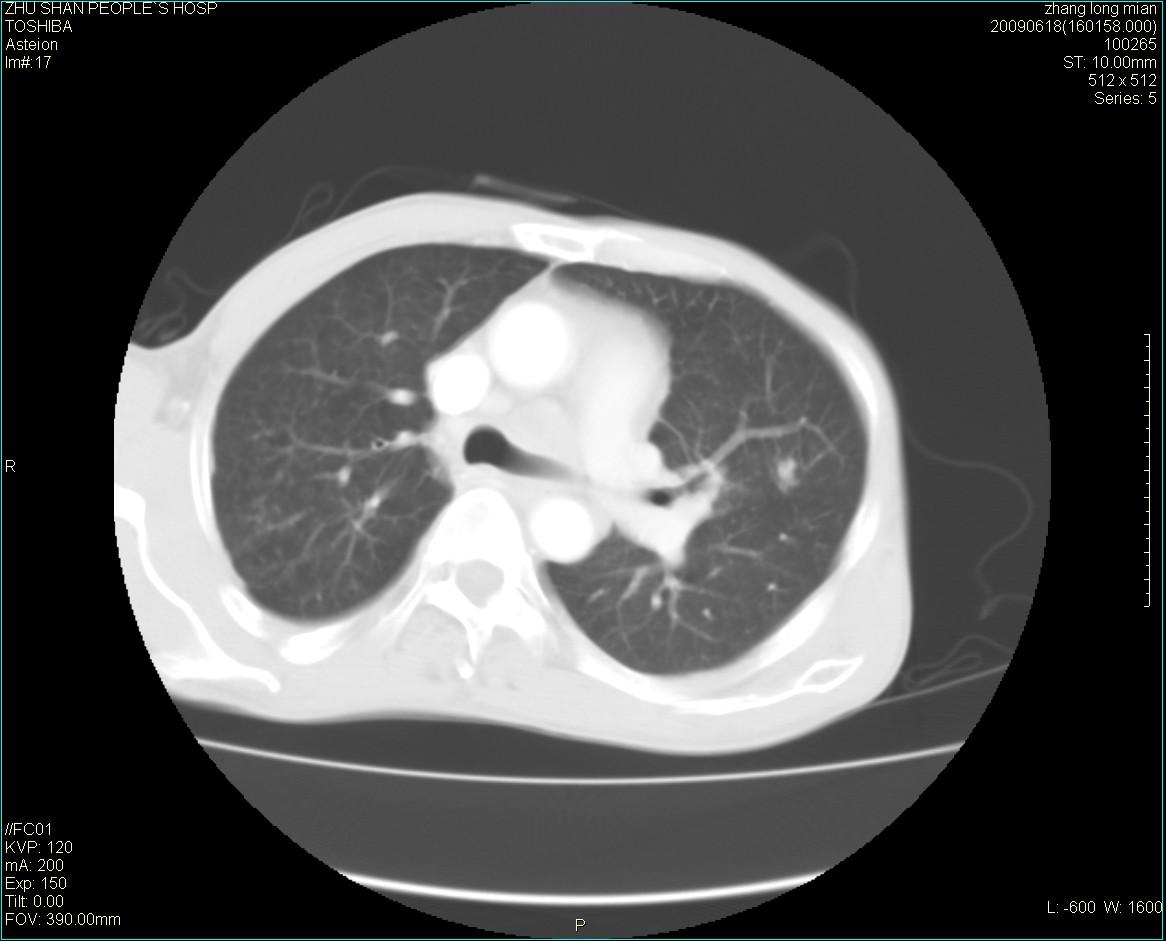
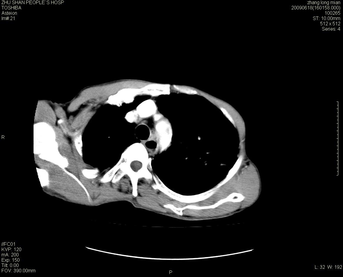
男性 65岁 胸片发现右下肺包块.诊断肺ca并纵隔转移没有问题吧!
































[本贴已被 jiajie 于 2009-6-19 12:47:44 修改过]

作者: 513ytb    时间: 2009-6-19 06:42
肺ca并纵隔转移,阻塞性炎症。
作者: bmw011    时间: 2009-6-19 06:49
肺ca并纵隔转移,阻塞性炎症。
作者: zss关东小先    时间: 2009-6-19 06:57
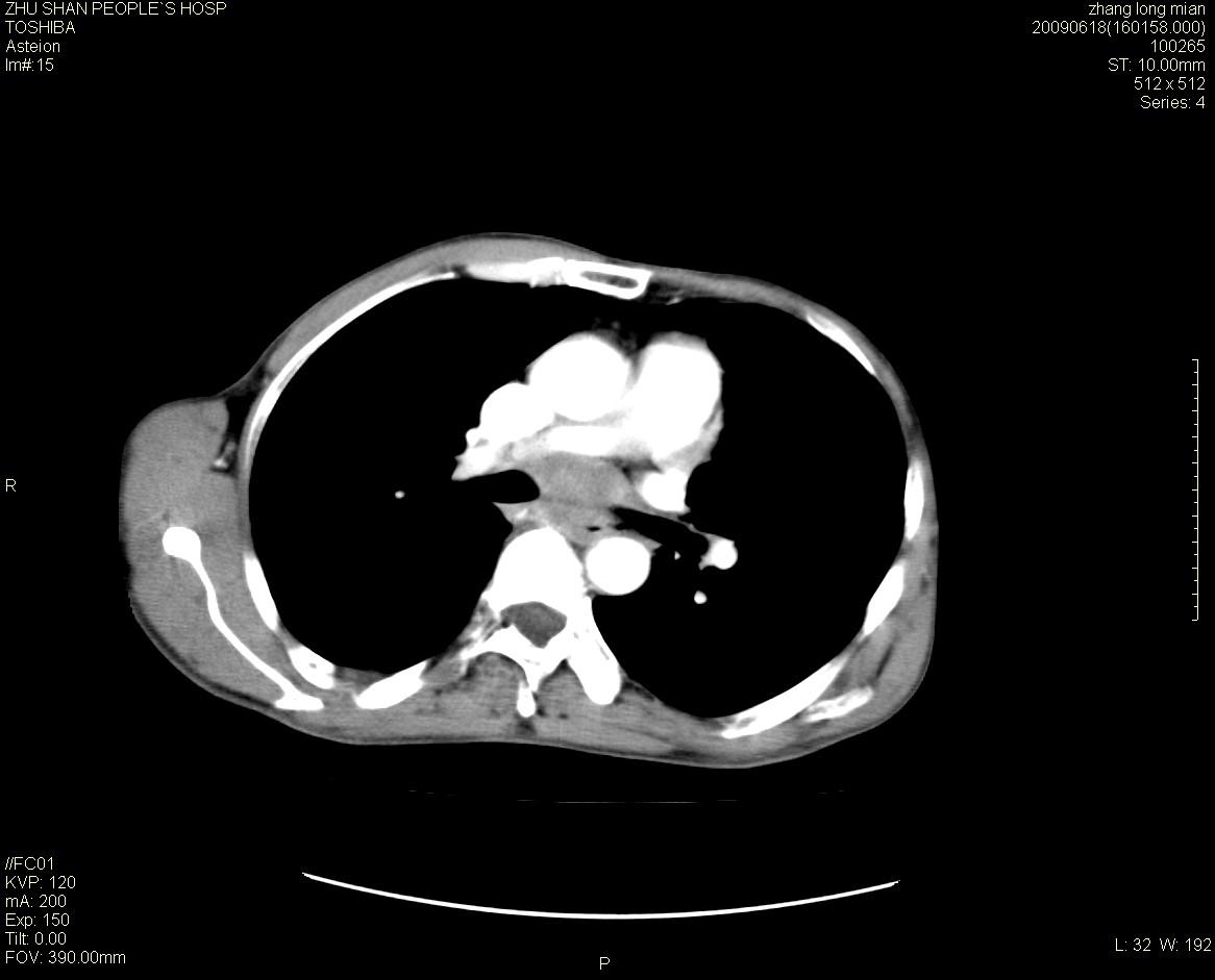
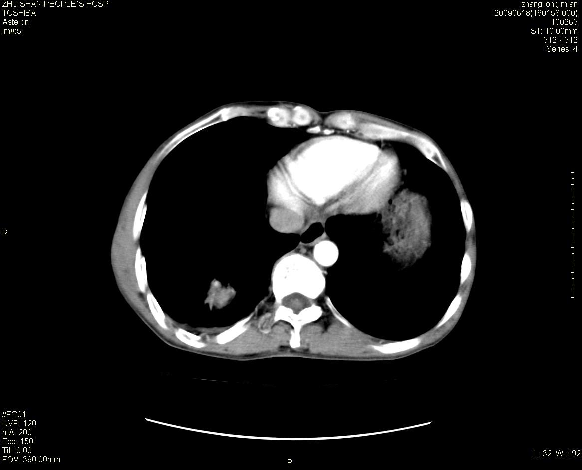
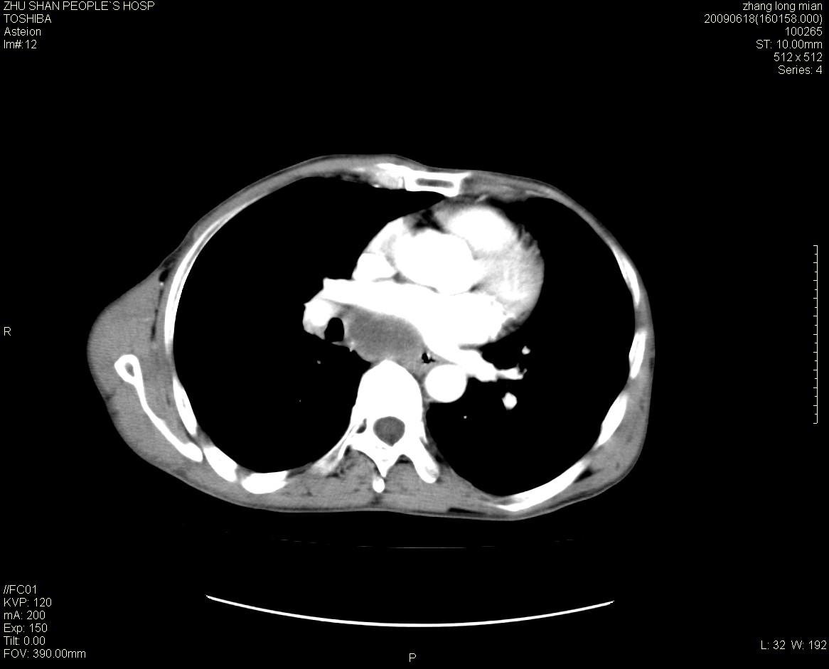
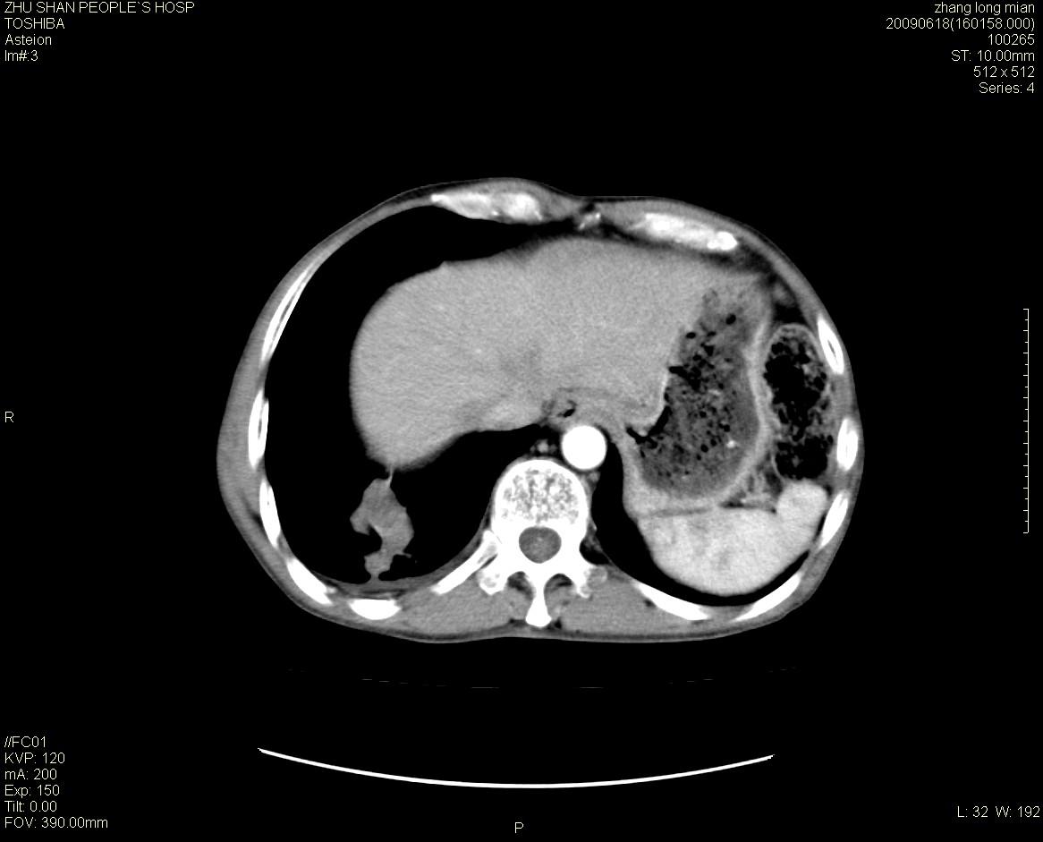
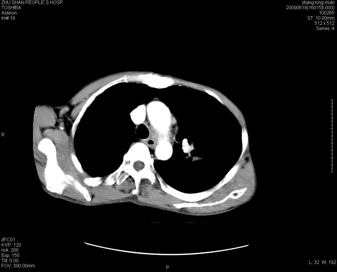
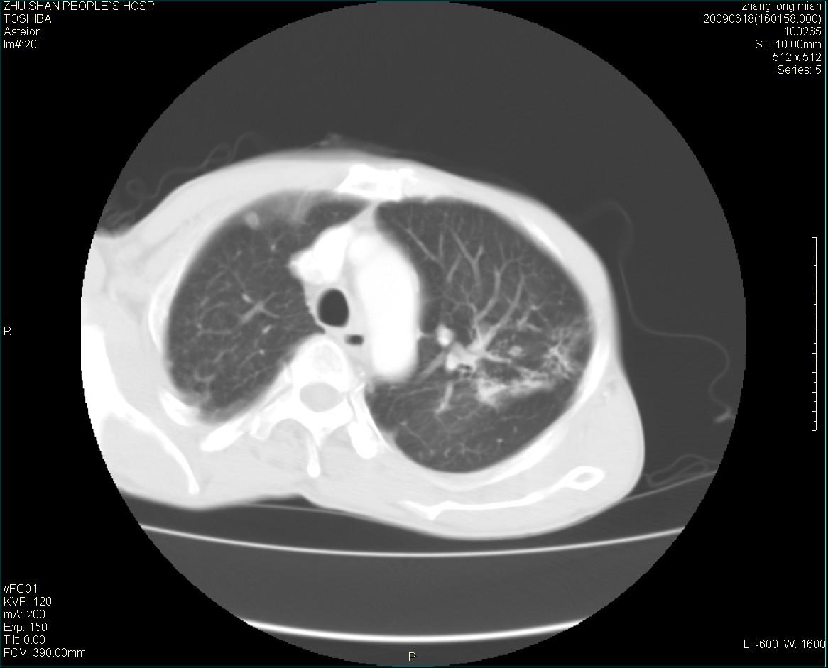
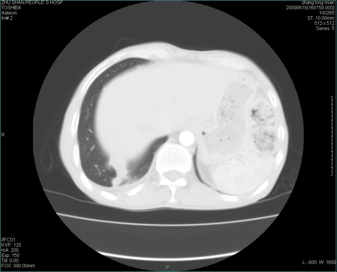
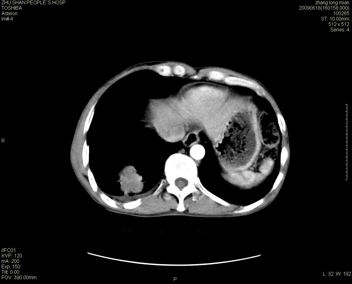
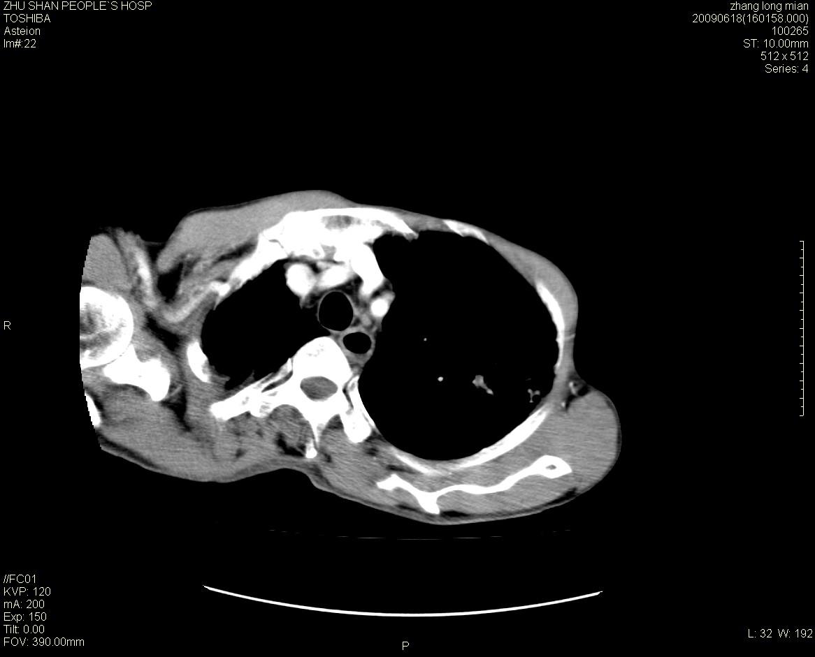
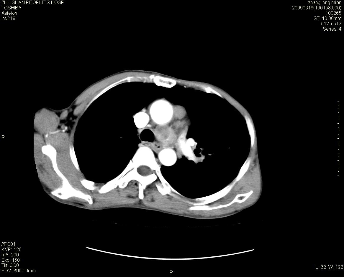
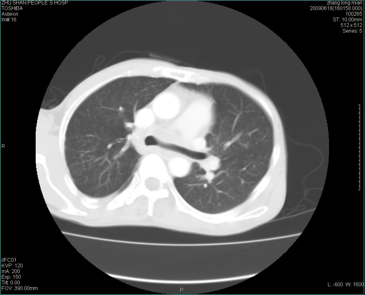
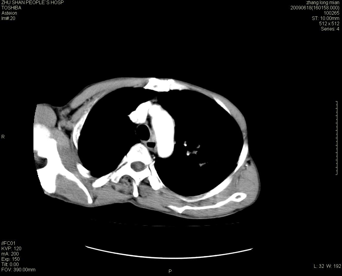
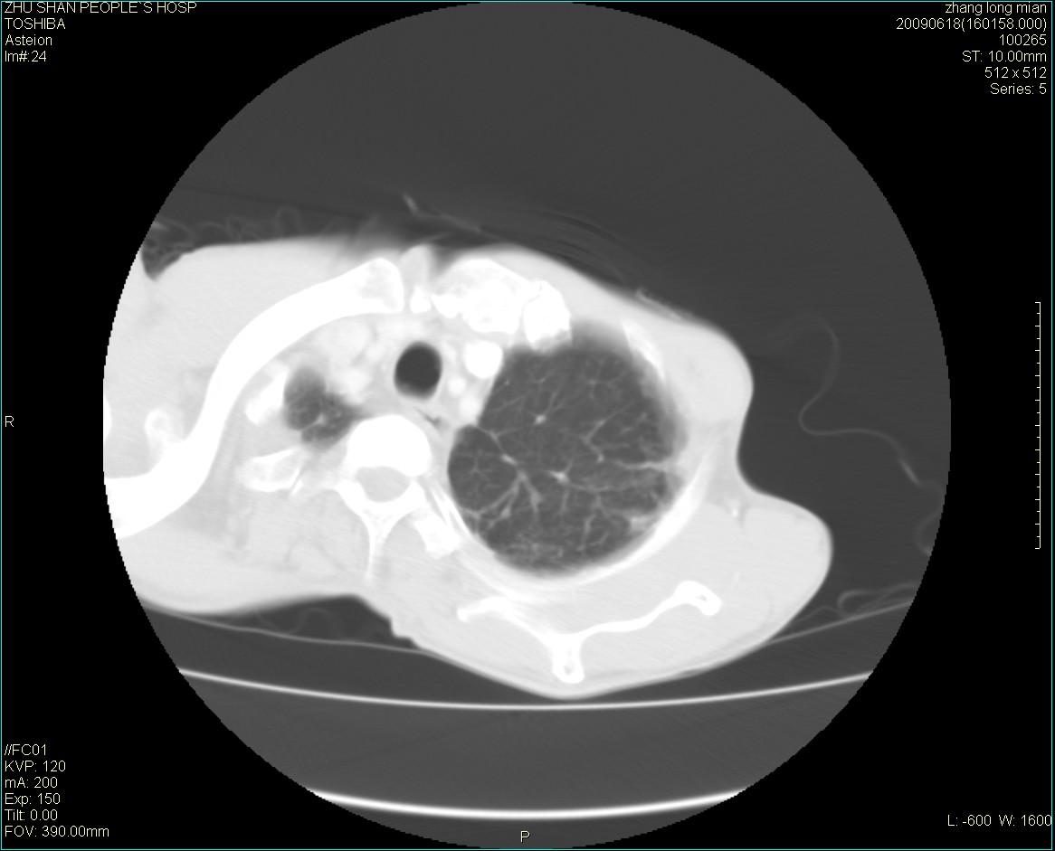
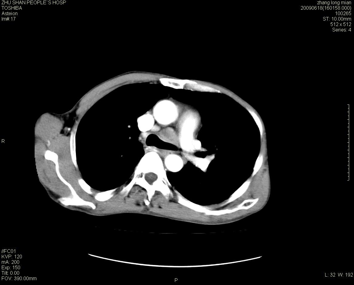
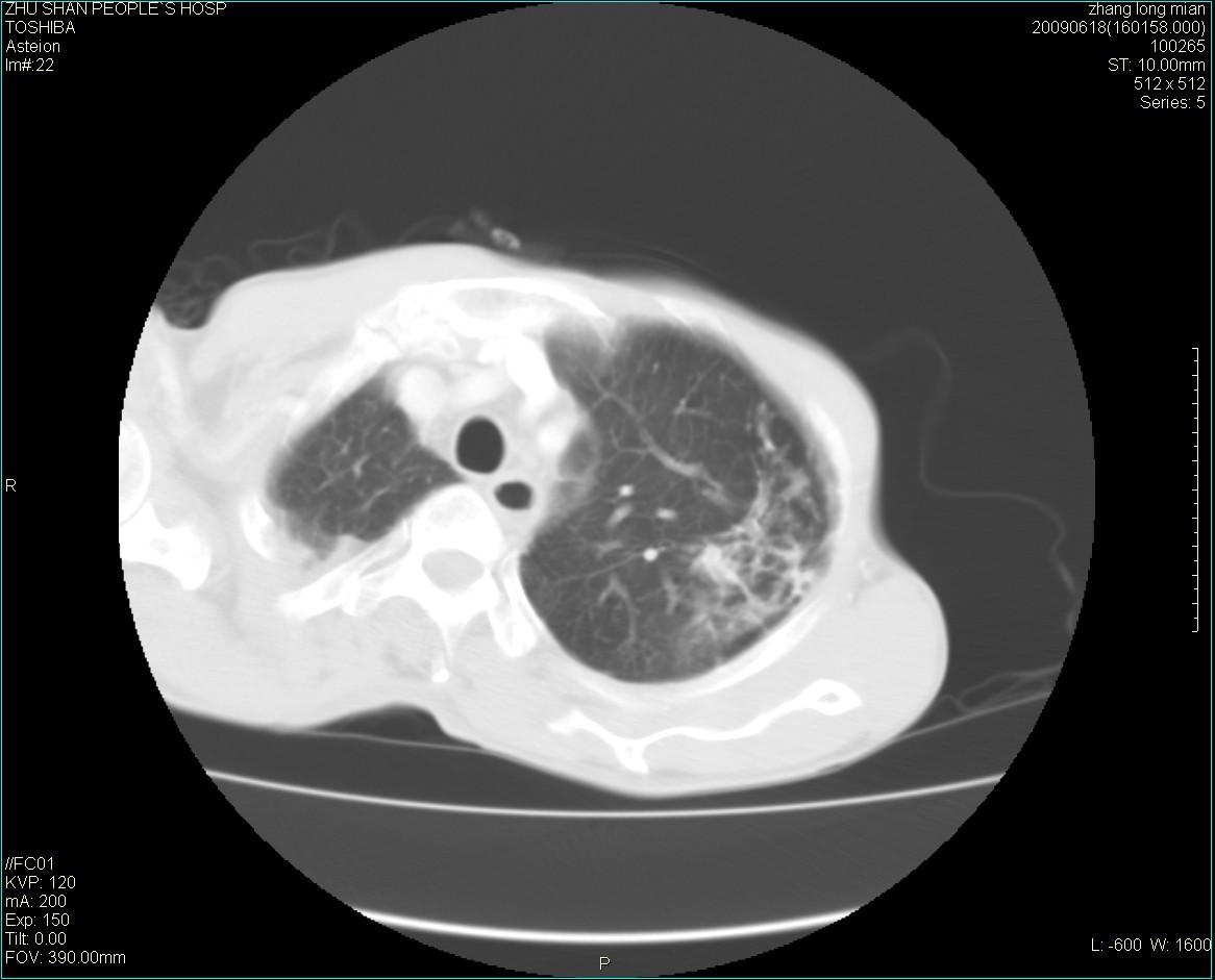
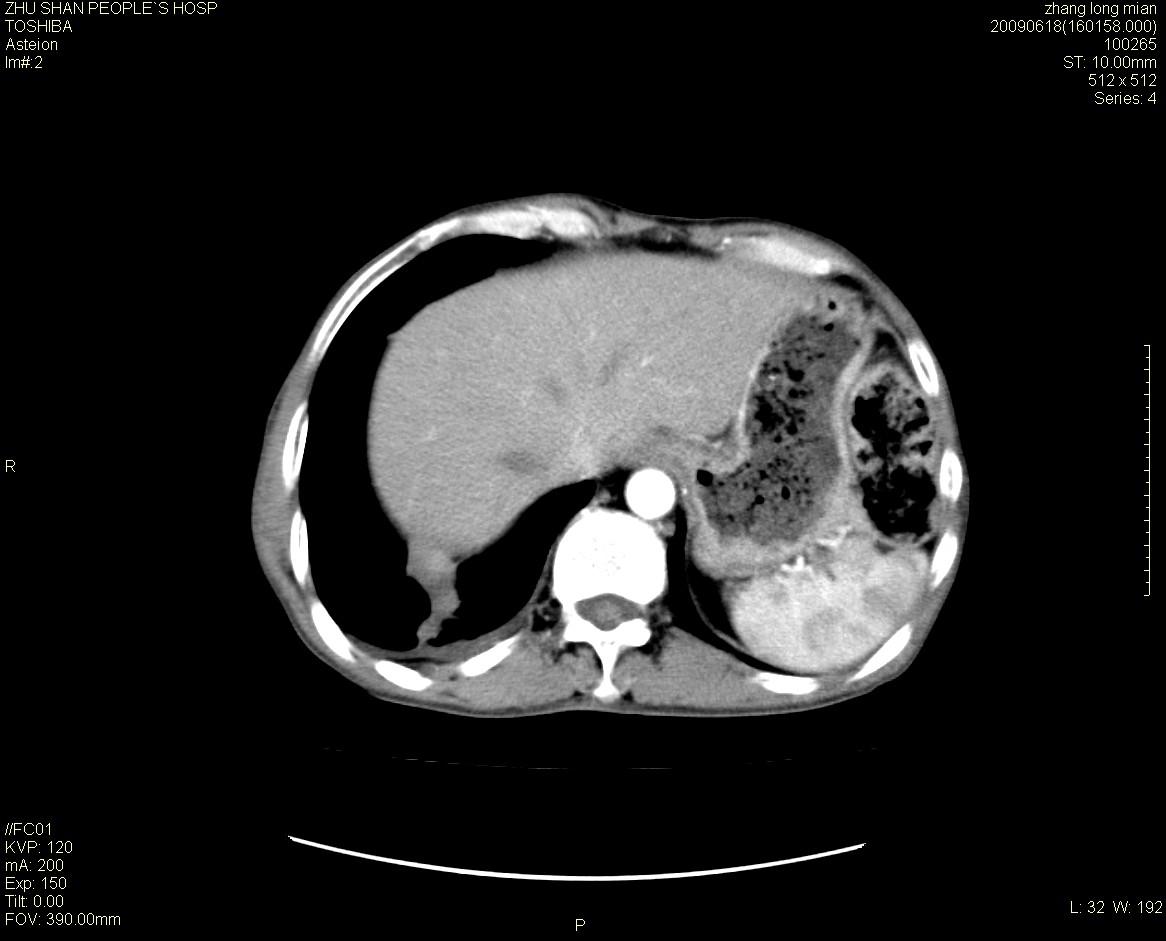
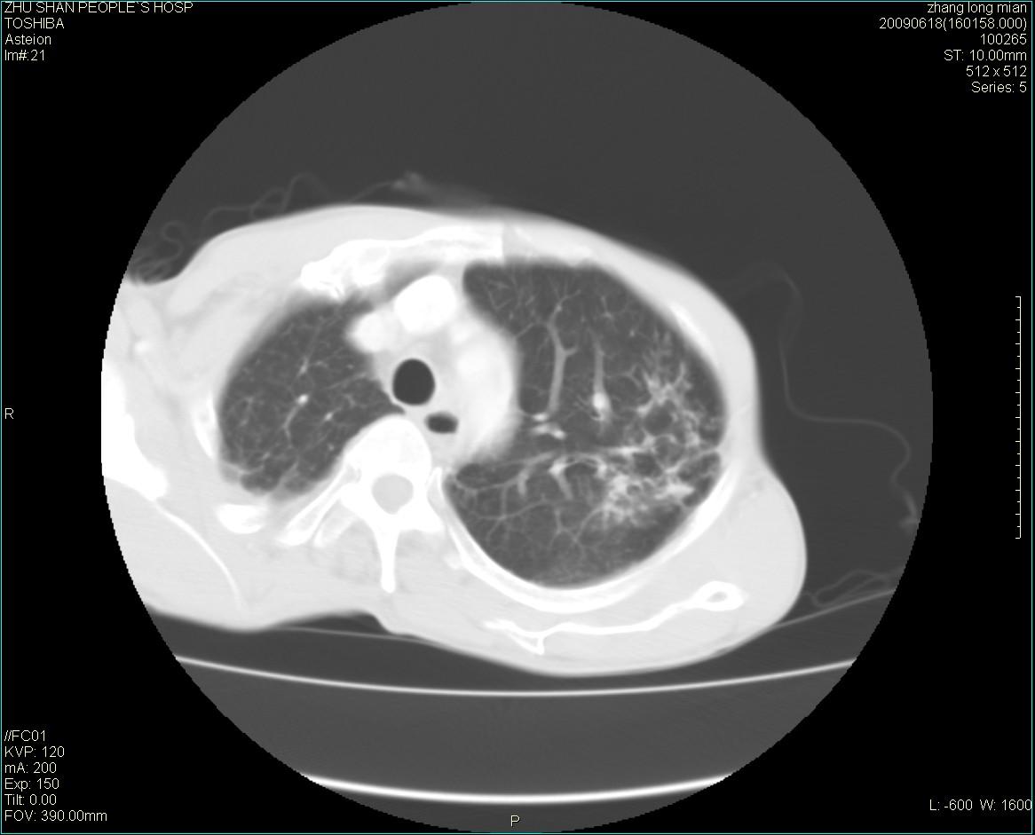
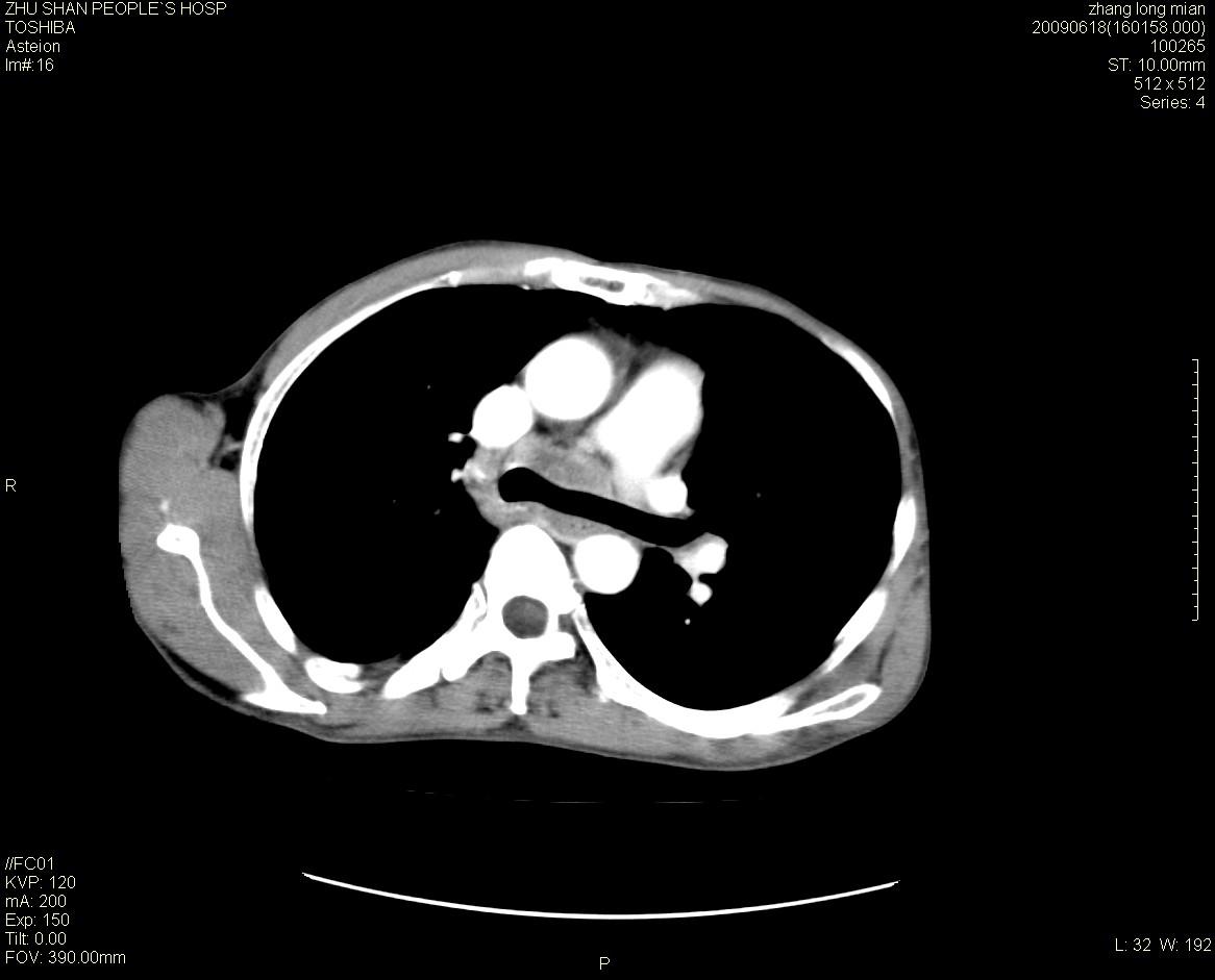
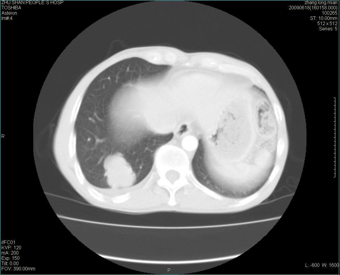
两侧胸廓不对称,右侧呈塌陷改变,右肺萎缩。
右下肺见浅分叶状软组织块影,边缘有毛刺,其下部似见不完整偏心空洞影,邻近胸膜凹陷征,并胸腔积液。
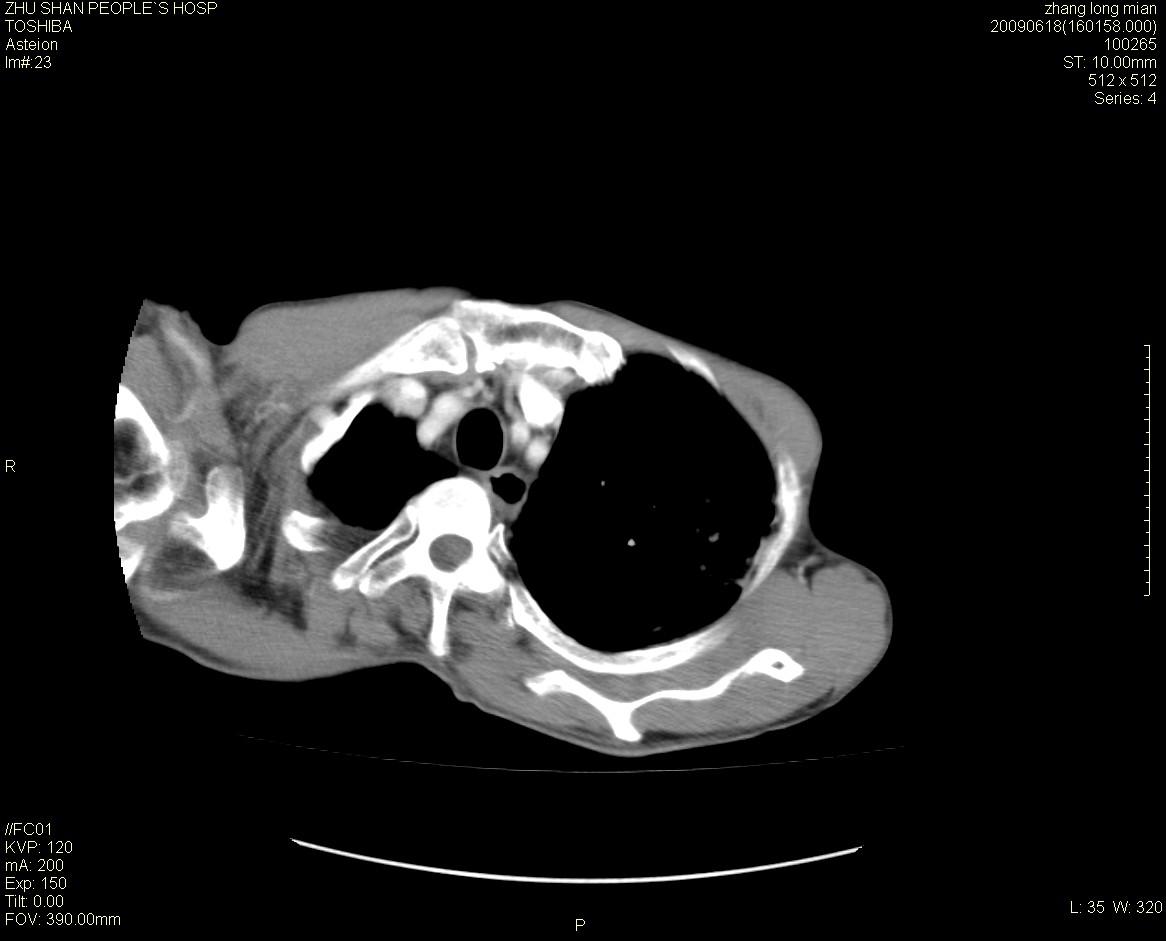
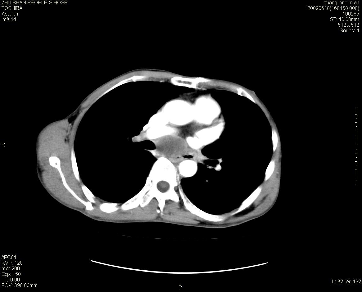
增强见纵隔区气管隆突上下及左肺门区肿大淋巴结。左肺感染性病灶。
另见右上肺见一枚小结节影,性质待定。
作者: pujunzhi    时间: 2009-6-19 07:24
支持楼主意见。
作者: 37度    时间: 2009-6-19 08:34
99%跑不了。
作者: yuhongjun    时间: 2009-6-19 13:40
支持楼主意见。
作者: 吴承学    时间: 2009-6-19 14:15
标题: 回复:男性 65岁 胸片发现右下肺包块.诊断肺ca并纵隔转移
以下是引用yuhongjun在2009-6-19 5:40:00的发言:[br]支持楼主意见。  [br]   [br]

作者: zsl6918    时间: 2009-6-19 14:38
同意楼主意见
作者: 随光逐影    时间: 2009-6-19 15:16
支持楼主意见。
作者: 余辉    时间: 2009-6-19 15:37
支持楼主意见。
作者: aka502    时间: 2009-6-19 15:54
支持楼主意见。
作者: zjzjr    时间: 2009-6-19 17:14
支持楼主意见。左上肺继发型肺结核.
作者: hhhhhh6    时间: 2009-6-19 17:37
标题: 回复:男性 65岁 胸片发现右下肺包块.诊断肺ca并纵隔转移
以下是引用随光逐影在2009-6-19 7:16:00的发言:[br]支持楼主意见。

作者: songyi    时间: 2009-6-19 18:03
支持楼主意见
作者: doc张    时间: 2009-6-19 18:12
这种患者扫描起来有难度。
作者: LYB999    时间: 2009-6-19 18:53
支持
作者: 卜一    时间: 2009-6-19 18:54
支持楼主意见。
作者: 奥特之父    时间: 2009-6-19 19:15
支持。
作者: jiangjing    时间: 2009-6-19 22:33
支持楼主意见。
作者: 黑白光影    时间: 2009-6-20 00:40
支持楼主意见。




欢迎光临 医影在线 (http://bbs.radida.com/bbs/) Powered by Discuz! X3.2