












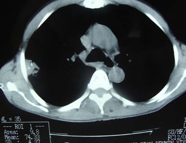
以下是引用pujunzhi在2009-6-21 21:48:00的发言:[br]右肺上叶后段见一空洞性病灶,灶周有渗出即晕征,右肺门肿大---可考虑感染性空洞和癌性空洞,先抗炎抗痨后复查并完善相关检查。有癌性空洞伴肺门淋巴结转移的可能。
以下是引用宝天曼在2009-6-21 22:48:00的发言:[br]首先考虑肺tb
以下是引用泪洒红尘在2009-6-21 21:55:00的发言:[br]考虑结核合并感染。
以下是引用pujunzhi在2009-6-21 21:48:00的发言:[br]右肺上叶后段见一空洞性病灶,灶周有渗出即晕征,右肺门肿大---可考虑感染性空洞和癌性空洞,先抗炎抗痨后复查并完善相关检查。有癌性空洞伴肺门淋巴结转移的可能。
| 欢迎光临 医影在线 (http://bbs.radida.com/bbs/) | Powered by Discuz! X3.2 |