






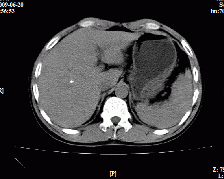
以下是引用随光逐影在2009-6-23 11:37:00的发言:[br]1)考虑胃癌;建议行胃镜检查进一步明确诊断。2)肝右叶肝内胆管结石(或钙化)。
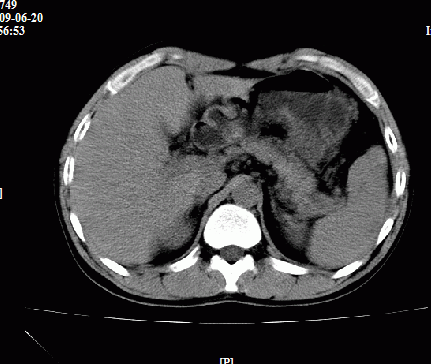
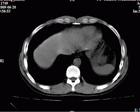
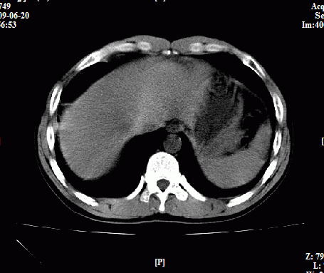
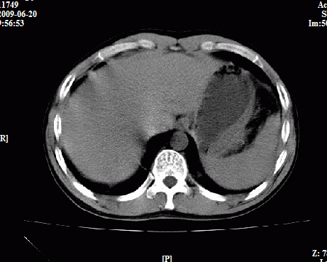
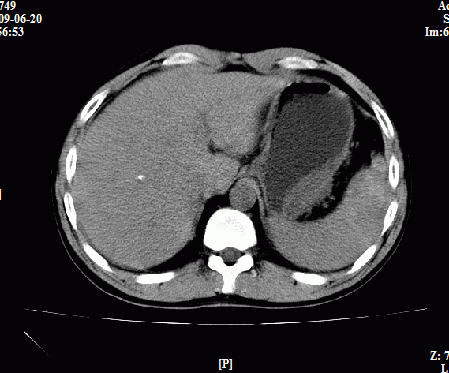
以下是引用zxl51642在2009-6-23 11:31:00的发言:[br]胃大弯侧壁明显增厚呈软组织肿块,考虑胃癌可能性大,建议胃镜活检。
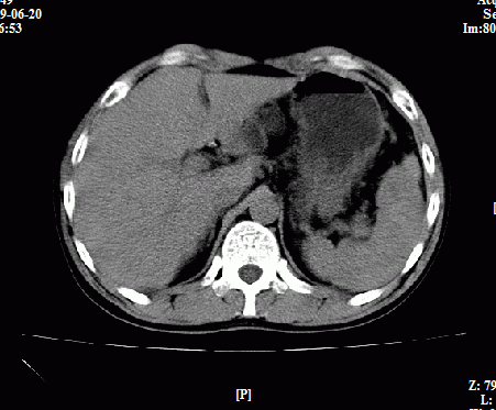
以下是引用随光逐影在2009-6-23 11:37:00的发言:[br]1)考虑胃癌;建议行胃镜检查进一步明确诊断。2)肝右叶肝内胆管结石(或钙化)。
| 欢迎光临 医影在线 (http://bbs.radida.com/bbs/) | Powered by Discuz! X3.2 |