







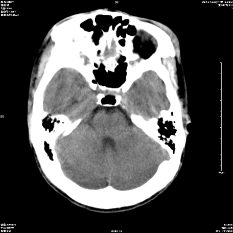
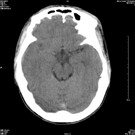
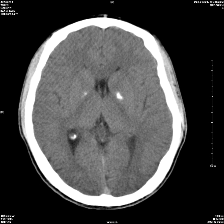
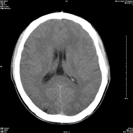
以下是引用随光逐影在2009-6-23 14:30:00的发言:[br]1)颅脑ct轴位平扫颅内未见明确异常。2)左侧额部头皮软组织肿胀。[br][br](双侧苍白球见对称性钙斑,透明隔间腔与vergae腔并存)
以下是引用zxl51642在2009-6-23 14:15:00的发言:[br]1、颅内未见血肿,颅骨未见骨折;[br]2、双侧苍白球对称性钙化,透明隔间腔及verga氏腔形成。
以下是引用zxl51642在2009-6-23 14:15:00的发言:[br]1、颅内未见血肿,颅骨未见骨折;[br]2、双侧苍白球对称性钙化,透明隔间腔及verga氏腔形成。
以下是引用随光逐影在2009-6-23 14:30:00的发言:[br]1)颅脑ct轴位平扫颅内未见明确异常。2)左侧额部头皮软组织肿胀。[br][br](双侧苍白球见对称性钙斑,透明隔间腔与vergae腔并存)
以下是引用随光逐影在2009-6-23 14:30:00的发言:[br]1)颅脑ct轴位平扫颅内未见明确异常。2)左侧额部头皮软组织肿胀。[br][br](双侧苍白球见对称性钙斑,透明隔间腔与vergae腔并存)
| 欢迎光临 医影在线 (http://bbs.radida.com/bbs/) | Powered by Discuz! X3.2 |