医影在线
标题: CT20748:M 15Y 头痛,以前有外伤史请老师看看除了囊肿还有别 [打印本页]
作者: 黑白总动员 时间: 2009-6-23 22:04
标题: CT20748:M 15Y 头痛,以前有外伤史请老师看看除了囊肿还有别
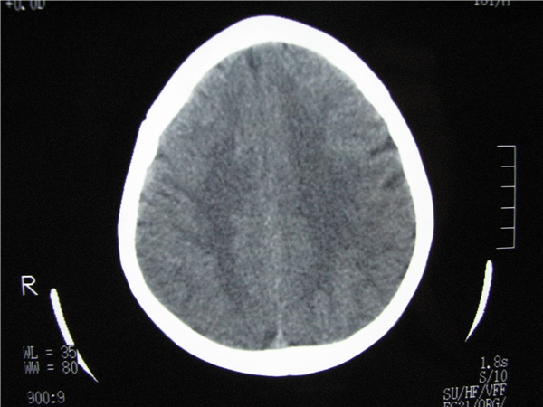
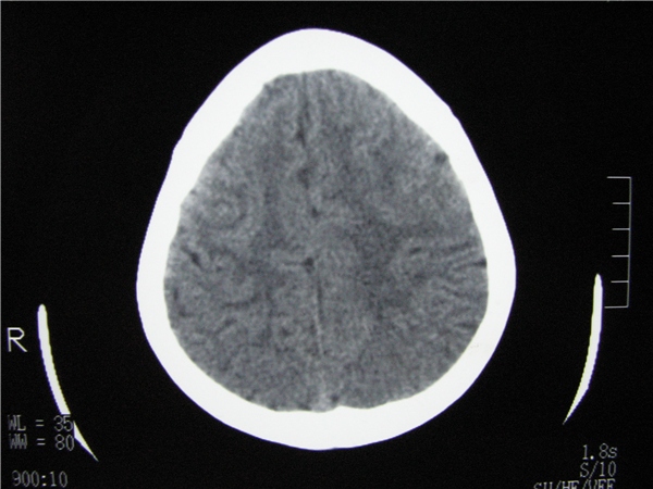
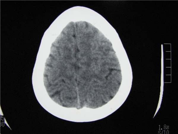
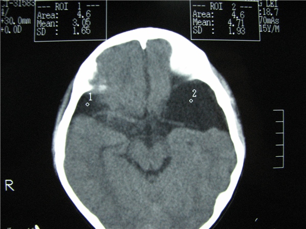
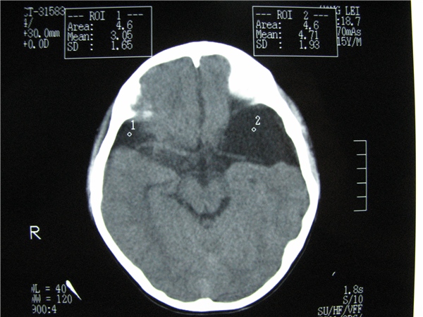
ct-31583














[本贴已被 jiajie 于 2009-6-23 16:26:56 修改过]
作者: zxl51642 时间: 2009-6-23 22:23
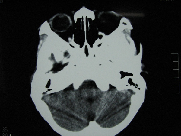
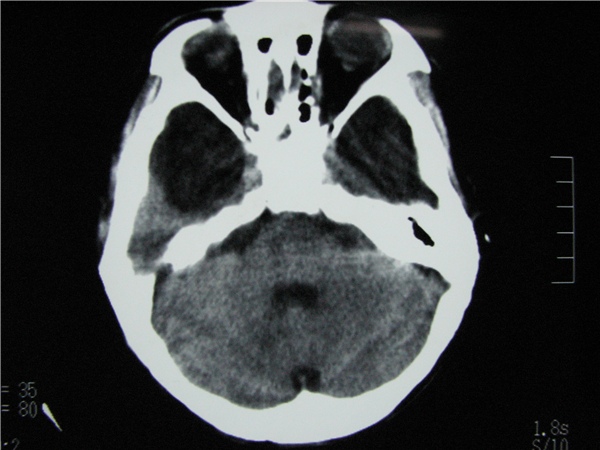
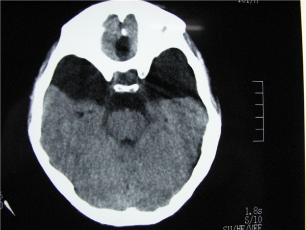
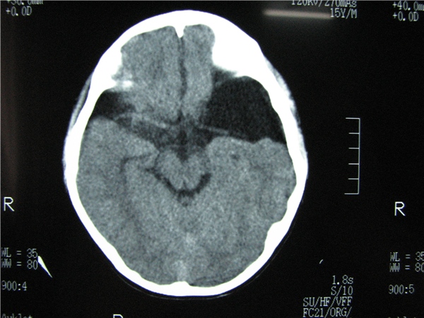
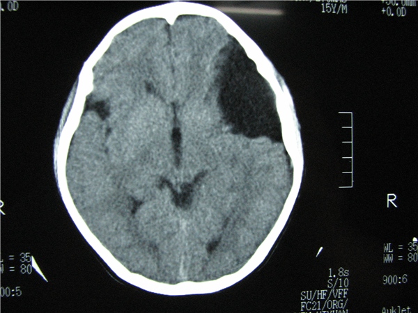
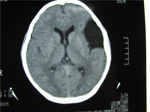
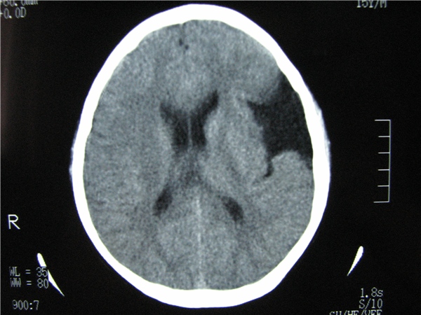
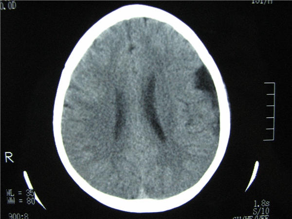
m 15y 头痛,以前有外伤史请老师看看除了囊肿还有别的吗?
蛛网膜囊肿。眼拙,看不出别的,倒是看到了双侧大脑中动脉影,类似“致密动脉征”。
作者: 流星1234 时间: 2009-6-23 22:46
蛛网膜囊肿
作者: LIAOQIANG 时间: 2009-6-23 22:53
双侧侧裂池和纵裂池近前颅窝蛛网膜囊肿。
作者: 深泽交通 时间: 2009-6-23 23:14
不能除外脑穿通畸形
作者: hhhhhh6 时间: 2009-6-24 00:02
标题: 额叶
额叶哪要是容积效应,或不是脂肪就没看见别的了
[本贴已被 hhhhhh6 于 2009-6-23 16:07:40 修改过]
作者: 随光逐影 时间: 2009-6-24 00:44
支持 蛛网膜囊肿。
作者: 杀毒软件 时间: 2009-6-24 01:41
标题: 回复:ct20748:m 15y 头痛,以前有外伤史请老师看看除了囊肿
以下是引用深泽交通医院在2009-6-23 15:14:00的发言:[br]不能除外脑穿通畸形
支持
作者: bmw011 时间: 2009-6-24 02:19
双侧侧裂池和纵裂池近前颅窝蛛网膜囊肿。
作者: 宇宙CT 时间: 2009-6-24 02:19
蛛网膜囊肿。眼拙,看不出别的,倒是看到了双侧大脑中动脉影,类似“致密动脉征”。
作者: 光影★小胖 时间: 2009-6-24 02:42
蛛网膜囊肿。
作者: songyi 时间: 2009-6-24 05:12
支持 蛛网膜囊肿
作者: scw007 时间: 2009-6-24 05:16
无明显占位及负占位效应,考虑软化灶并脑室穿通畸形囊肿、局限性脑萎缩
作者: 泪洒红尘 时间: 2009-6-24 06:01
除了蛛网膜囊肿应该没有别的了。
作者: dsl555 时间: 2009-6-24 06:04
双侧侧裂池和纵裂池近前颅窝蛛网膜囊肿。
作者: zjzjr 时间: 2009-6-24 06:07
支持 蛛网膜囊肿。
作者: yangyang2000 时间: 2009-6-24 06:11
蛛网膜囊肿
作者: 黑白光影 时间: 2009-6-24 06:49
蛛网膜囊肿,不能除外脑穿通畸形,支持。
作者: 张辉9999 时间: 2009-6-24 17:16
蛛网膜囊肿
作者: yxr97 时间: 2009-6-24 17:30
支持蛛网膜囊肿!
作者: 帅河马 时间: 2009-6-24 22:14
谁把这病灶和表皮样囊肿鉴别哈
作者: 初学者LANMEI 时间: 2009-6-24 22:26
双侧侧裂池和纵裂池近前颅窝蛛网膜囊肿
| 欢迎光临 医影在线 (http://bbs.radida.com/bbs/) |
Powered by Discuz! X3.2 |