医影在线

标题: CT20750:颈椎CT平扫 [打印本页]

作者: 同    时间: 2009-6-24 01:31
标题: CT20750:颈椎CT平扫
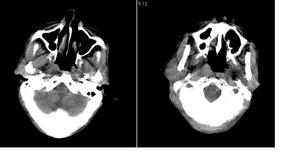
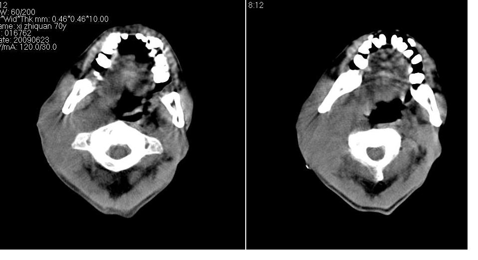
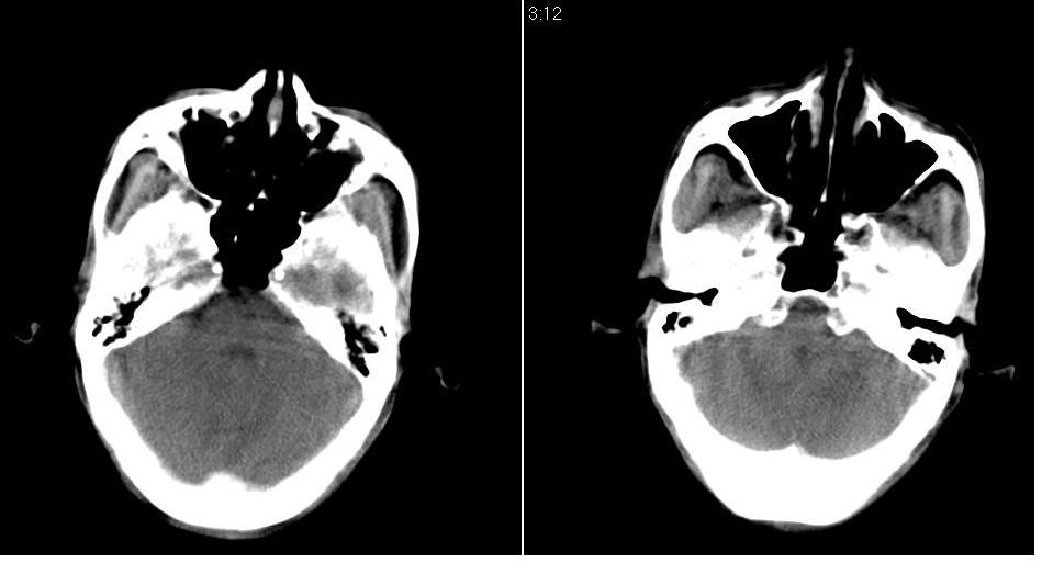
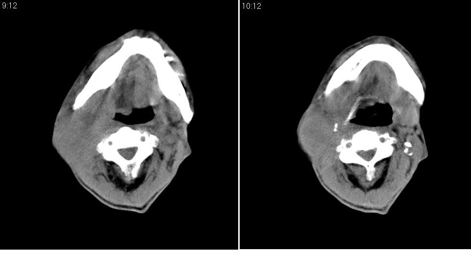
男 70岁,右侧颈部包块八个月余,下午及夜间疼痛加剧,包块质硬。化验穿刺镜下可见大量成堆裸核上皮细胞,可符合结核性淋巴结炎。








[本贴已被 jiajie 于 2009-6-23 17:56:16 修改过]

作者: bmw011    时间: 2009-6-24 02:28
支持考虑淋巴结结核。建议增强。
作者: 杀毒软件    时间: 2009-6-24 02:30
右侧颈部不规则软组织密度肿块影,密度均,边缘不清,颈筋膜间隙闭塞,向内致口喉咽受压变形,外达胸锁乳突肌深部,与之分界不清,周围骨质未见异常。
增强----恶性病变无疑
作者: 子期    时间: 2009-6-24 03:34
高度怀疑恶性。
作者: 光影★小胖    时间: 2009-6-24 03:44
高度怀疑恶性。
作者: chinanyd    时间: 2009-6-24 05:04
病灶广泛呈浸润性生长,提示恶性病变。楼主已经指明是结核了,谢谢。
作者: 泪洒红尘    时间: 2009-6-24 05:29
病灶广泛呈浸润性生长,与周围组织关系模糊不清,提示恶性病变可能性较大。但楼主已经指明是结核了。
作者: zxl51642    时间: 2009-6-24 05:31
学习了
作者: zjzjr    时间: 2009-6-24 06:10
喉癌伴颈部淋巴结转移,不除外喉结核,颈部淋巴结结核。
作者: yangyang2000    时间: 2009-6-24 06:15
高度怀疑恶性
作者: dsl555    时间: 2009-6-24 06:38
j建议增强。
作者: 黑白光影    时间: 2009-6-24 07:00
学习了。
作者: 513ytb    时间: 2009-6-24 08:00
高度怀疑恶性。
作者: 随光逐影    时间: 2009-6-24 15:15
考虑喉癌伴右侧颈部淋巴结转移,结核待排。
作者: doc张    时间: 2009-6-24 18:18
单就影象很难定性,能描述清楚,病变范围就行了。
作者: 帅河马    时间: 2009-6-24 21:30
喉癌伴颈部淋巴结转移,不除外喉结核,颈部淋巴结结核。




欢迎光临 医影在线 (http://bbs.radida.com/bbs/) Powered by Discuz! X3.2