医影在线
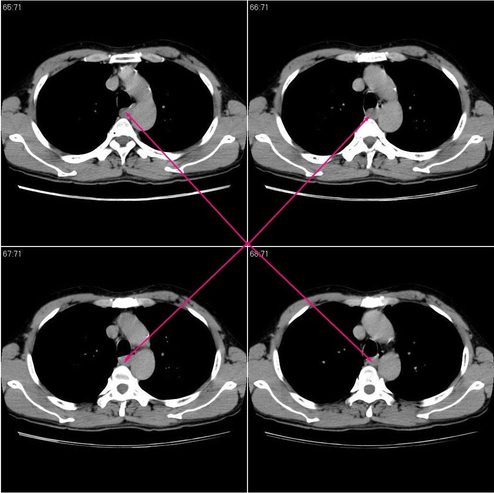
标题: CT20825:男性,46岁。体检时发现食道上段外压性改变。 [打印本页]
作者: sxlcbc 时间: 2009-6-27 18:24
标题: CT20825:男性,46岁。体检时发现食道上段外压性改变。
随后患者做了ct平扫和增强:






















[本贴已被 jiajie 于 2009-6-27 10:25:26 修改过]
作者: 深泽交通 时间: 2009-6-27 18:40
未见明显异常
作者: sxlcbc 时间: 2009-6-27 19:06
标题: 病变应该是很明显的!!


[本贴已被 sxlcbc 于 2009-6-27 11:35:22 修改过]
作者: ncy888888 时间: 2009-6-27 19:11
恕我眼拙,没看出来
作者: zjzjr 时间: 2009-6-27 19:37
食管或气管囊肿可能性大。
作者: 随光逐影 时间: 2009-6-27 19:37
支气管(或食管)囊肿?肿大之淋巴结?神经源性肿瘤?
作者: sxlcbc 时间: 2009-6-27 19:41
神经源性肿瘤基本可以排除,因为病变没有强化。现在的问题是,病变考虑不考虑肿大淋巴结呢?因为病变的环周也没有强化,我们的意见也不考虑。这样的话,患者就需要手术处理了。希望高手还能谈谈各自的高见!
作者: 513ytb 时间: 2009-6-27 19:43
支气管(或食管)囊肿?肿大之淋巴结?神经源性肿瘤?
作者: duanhui007 时间: 2009-6-27 21:17
确实不知,请教!
作者: yuhongjun 时间: 2009-6-27 21:59
还请各位赐教。
作者: 科室第一人 时间: 2009-6-27 22:04
1:淋巴结;
2:平滑肌瘤可能。
作者: 杀毒软件 时间: 2009-6-28 02:07
标题: 回复:ct20825:男性,46岁。体检时发现食道上段外压性改变
以下是引用zjzjr在2009-6-27 11:37:00的发言:[br]食管或气管囊肿可能性大。
支持
作者: 黑白光影 时间: 2009-6-28 06:00
考虑气管囊肿可能性大。
作者: 帅河马 时间: 2009-6-28 06:40
不好说
考虑气管囊肿可能性大。
作者: chinanyd 时间: 2009-6-28 14:24
食管或者气管囊肿,期待结果的公布啊
作者: 323 时间: 2009-6-28 16:24
学习
作者: pujunzhi 时间: 2009-6-28 16:36
考虑 1淋巴结 2气管或食管囊肿 3食管良性肿物
| 欢迎光临 医影在线 (http://bbs.radida.com/bbs/) |
Powered by Discuz! X3.2 |