医影在线

标题: CT20838:帮忙看看,是软化灶吗? [打印本页]

作者: zwjyr    时间: 2009-6-28 15:56
标题: CT20838:帮忙看看,是软化灶吗?
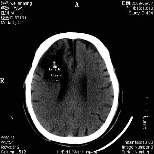
患者,男,67岁.既往有脑血栓病史.若是软化灶里面怎么出现钙化呢?









[本贴已被 jiajie 于 2009-6-28 9:46:17 修改过]

作者: shaobaofu    时间: 2009-6-28 16:12
是软化灶。
作者: 513ytb    时间: 2009-6-28 16:12
考虑软化灶。
作者: pujunzhi    时间: 2009-6-28 16:38
软化灶伴钙化。
作者: 奥特之父    时间: 2009-6-28 17:08
脑软化灶伴灶内钙化,钙化可能是梗塞后出血,出血钙化.
作者: zjzjr    时间: 2009-6-28 17:09
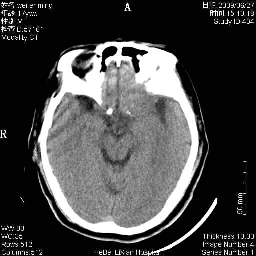
支持软化灶伴穿通畸形,钙化为胶质增生、机化、钙化。
作者: 帅河马    时间: 2009-6-28 17:12
支持软化灶伴穿通畸形,钙化为胶质增生、机化、钙化。
作者: 同    时间: 2009-6-28 17:16
支持脑软化灶伴钙化。
作者: panyishengct    时间: 2009-6-28 17:42
支持脑软化灶伴钙化。
作者: jiangjing    时间: 2009-6-28 18:08
支持软化灶伴穿通畸形,钙化为胶质增生、机化、钙化。
作者: 科室第一人    时间: 2009-6-28 18:27
周围没有水肿,没有占位;结合病史考虑为软化灶,钙化。
作者: songyi    时间: 2009-6-28 18:28
支持软化灶伴穿通畸形,钙化为胶质增生、机化、钙化
作者: 深泽交通    时间: 2009-6-28 18:33
标题: 回复:ct20838:帮忙看看,是软化灶吗?
以下是引用pujunzhi在2009-6-28 8:38:00的发言:[br]软化灶伴钙化。

作者: shenjiu    时间: 2009-6-28 18:38
标题: 回复:ct20838:帮忙看看,是软化灶吗?
以下是引用zjzjr在2009-6-28 9:09:00的发言:[br]支持软化灶伴穿通畸形,钙化为胶质增生、机化、钙化。

作者: 随光逐影    时间: 2009-6-28 18:48
支持 右侧额叶软化灶伴脑穿通畸形(钙化为胶质增生、机化、钙化)。
作者: bmw011    时间: 2009-6-28 21:10
标题: 回复:ct20838:帮忙看看,是软化灶吗?
以下是引用zjzjr在2009-6-28 9:09:00的发言:[br]支持软化灶伴穿通畸形,钙化为胶质增生、机化、钙化。

作者: 黑白光影    时间: 2009-6-28 21:22
软化灶伴穿通畸形,钙化为胶质增生、机化、钙化。支持大家。
作者: LIAOQIANG    时间: 2009-6-28 21:28
考虑脑软化灶伴钙化。不除外软化灶并穿通畸形存在。
作者: 初学者LANMEI    时间: 2009-6-28 21:43
支持软化灶
作者: leijiandepengyo    时间: 2009-6-28 23:38
支持脑软化灶伴钙化。
作者: 宝天曼    时间: 2009-6-28 23:45
软化灶伴钙化
作者: dsl555    时间: 2009-6-29 02:29
支持软化灶伴穿通畸形,钙化为胶质增生、机化、钙化。
作者: zbp537    时间: 2009-6-29 04:33
是脑软化灶,其内的钙化可解释为闭塞血管内的血栓钙化。
作者: 987654zwf    时间: 2009-6-29 04:39
支持脑软化灶伴钙化
作者: 初学者LANMEI    时间: 2009-7-9 21:58
脑软化灶伴灶内钙化,钙化可能是梗塞后出血,出血钙化.
作者: chinanyd    时间: 2009-7-9 23:18
支持六楼老师的意见
作者: chinanyd    时间: 2009-7-9 23:19
支持六楼老师的意见
作者: chendan    时间: 2009-7-20 01:34
支持软化灶伴穿通畸形,钙化为胶质增生、机化、钙化。
作者: zbp537    时间: 2009-7-20 02:30
脑梗塞后形成的软化灶内可以有钙化密度影,系血管出血机化或血管内血栓钙化所致。
作者: zb5205    时间: 2009-7-30 01:29
脑软化灶伴灶内钙化,钙化可能是梗塞后出血,出血钙化.
作者: 帅河马    时间: 2009-7-30 03:44
学习了




欢迎光临 医影在线 (http://bbs.radida.com/bbs/) Powered by Discuz! X3.2