医影在线

标题: CT20878:胸部外伤9 [打印本页]

作者: zhanyong    时间: 2009-6-30 22:28
标题: CT20878:胸部外伤9
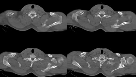
男,36岁  车祸伤及胸部。








[本贴已被 翁志蓬 于 2009-6-30 14:59:57 修改过]

作者: 513ytb    时间: 2009-6-30 22:46
右锁骨骨折,左我们就肩胛骨骨折
作者: 卜一    时间: 2009-6-30 22:50
左侧肩胛骨骨折!
作者: hszhoupeng    时间: 2009-6-30 23:51
右锁骨及左肩胛骨骨折,最后两幅图气管隆突下见结节灶,建议用纵隔窗除外血肿
作者: 随光逐影    时间: 2009-7-1 00:34
右锁骨肩峰端粉碎骨折;左肩胛骨粉碎骨折。
作者: zjzjr    时间: 2009-7-1 00:36
右锁骨骨折,左肩胛骨骨折
作者: 323    时间: 2009-7-1 00:41
左侧肩胛骨骨折
作者: 深泽交通    时间: 2009-7-1 00:41
标题: 回复:ct20878:胸部外伤9
以下是引用随光逐影在2009-6-30 16:34:00的发言:[br]右锁骨肩峰端粉碎骨折;左肩胛骨粉碎骨折。

作者: 杀毒软件    时间: 2009-7-1 03:24
右锁骨骨折,左肩胛骨骨折
作者: zbp537    时间: 2009-7-1 03:41
右侧锁骨及左侧肩胛骨骨折。
作者: bmw011    时间: 2009-7-1 03:44
右锁骨骨折,左肩胛骨骨折
作者: 帅河马    时间: 2009-7-1 03:49
右锁骨肩峰端粉碎骨折;左肩胛骨粉碎骨折。
作者: 黑白光影    时间: 2009-7-1 05:44
右锁骨肩峰端粉碎骨折;左肩胛骨粉碎骨折。
作者: wangdch2008    时间: 2009-7-1 06:02
右侧锁骨及左侧肩胛骨骨折。
作者: fenglin930    时间: 2010-1-10 18:32
再加上左侧第2后肋骨折。
作者: dr.yang    时间: 2013-4-2 16:35
右锁骨肩峰端粉碎骨折;左肩胛骨粉碎骨折。




欢迎光临 医影在线 (http://bbs.radida.com/bbs/) Powered by Discuz! X3.2