









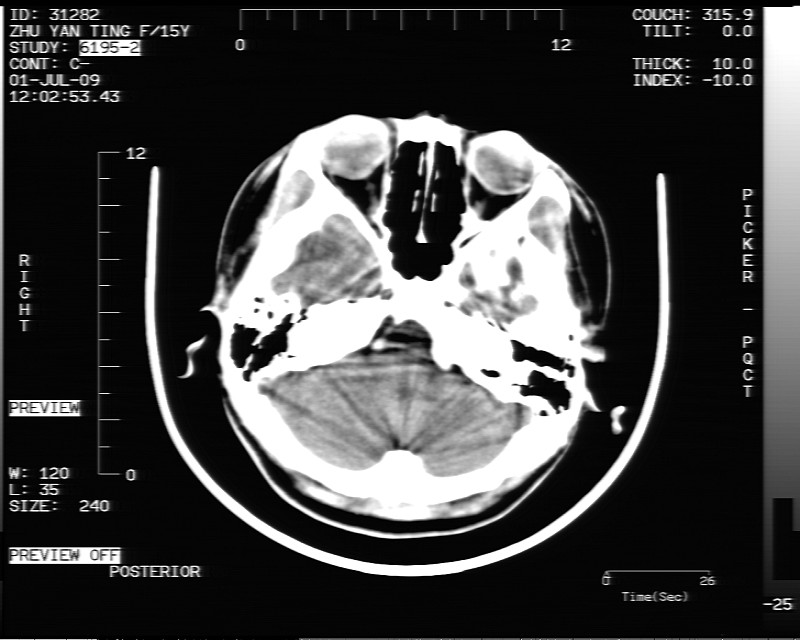
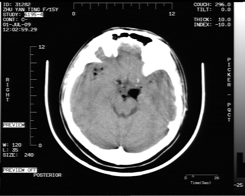
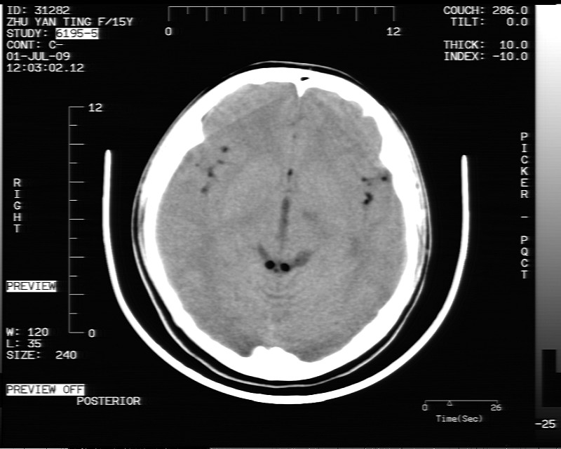
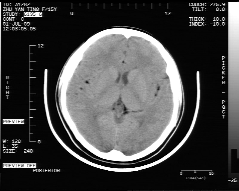
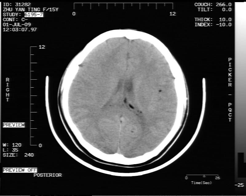
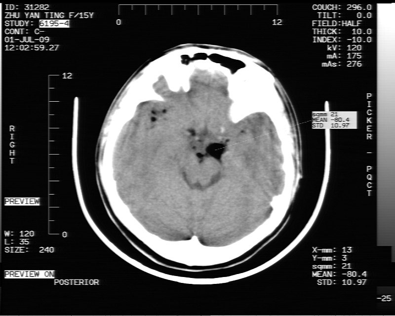
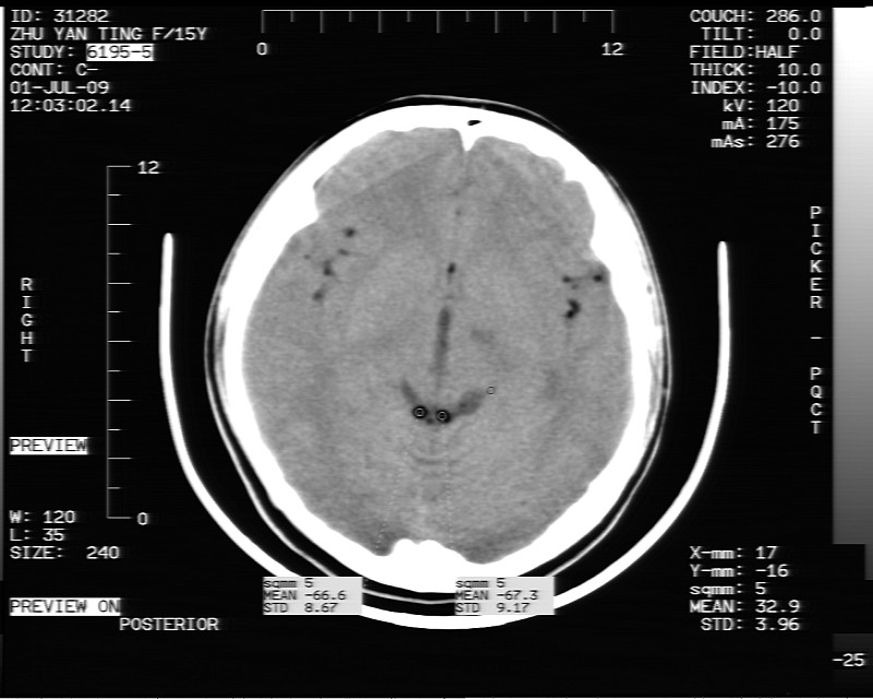
以下是引用随光逐影在2009-7-1 16:26:00的发言:[br]鞍上池表皮样囊肿或含脂肪类肿瘤破裂并化学性脑炎?
以下是引用余辉在2009-7-1 17:20:00的发言:[br]病变ct值-20至-80[br]考虑脑内脂肪瘤破裂,瘤主体应该在右侧桥小脑角池及鞍上池[br]鞍上池病灶面积较大,ct值应该能够测准,应此病灶应该就是脂肪密度,病灶密度有ct值-20至-80hu,为成熟脂肪密度,因此考虑脂肪瘤,也不除外其他含成熟脂肪的病灶[br]皮样囊肿密度应该稍高一点
以下是引用随光逐影在2009-7-1 16:26:00的发言:[br]鞍上池表皮样囊肿或含脂肪类肿瘤破裂并化学性脑炎?
以下是引用zjzjr在2009-7-1 16:52:00的发言:[br]支持皮样囊肿破裂.,表皮样囊肿一般密度均高.[br][br][本贴已被 zjzjr 于 2009-7-1 16:52:29 修改过]
| 欢迎光临 医影在线 (http://bbs.radida.com/bbs/) | Powered by Discuz! X3.2 |