
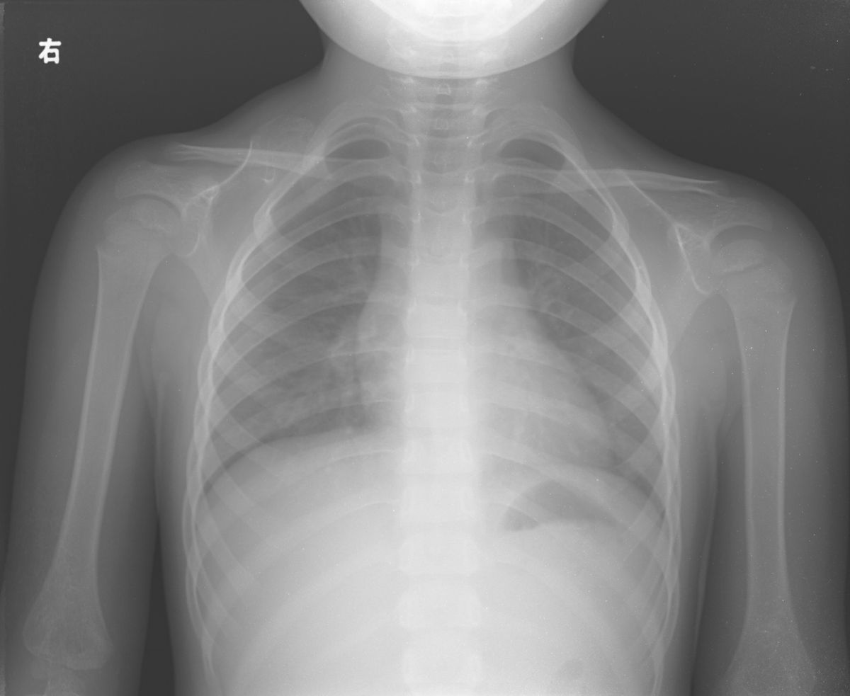
以下是引用杀毒软件在2009-7-2 18:53:00的发言:[br]先考虑---先天性高位肩胛症,不排除-----右肩胛骨骨软骨瘤或骨质肥大畸形。
以下是引用dr.yang在2009-7-2 23:12:00的发言:[br]右肩胛骨骨软骨瘤或骨质肥大畸形。不象先天性高位肩胛症
以下是引用杀毒软件在2009-7-2 18:53:00的发言:[br]先考虑---先天性高位肩胛症,不排除-----右肩胛骨骨软骨瘤或骨质肥大畸形。
| 欢迎光临 医影在线 (http://bbs.radida.com/bbs/) | Powered by Discuz! X3.2 |