医影在线

标题: X6018:胸部+腹部平片,请会诊 [打印本页]

作者: xuyongqi    时间: 2009-7-2 21:39
标题: X6018:胸部+腹部平片,请会诊
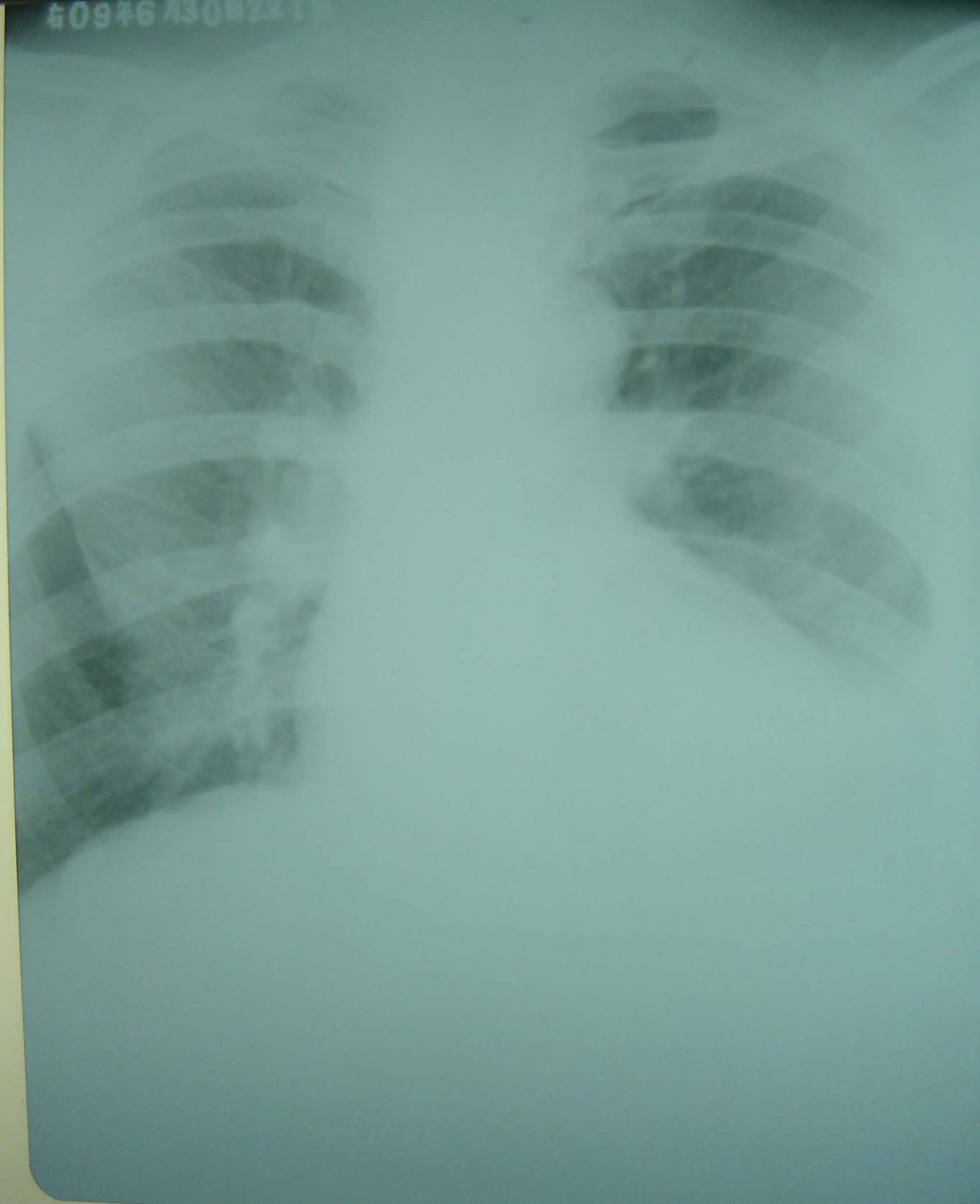
男、75岁、左季肋部疼痛,无其它不适。




[本贴已被 翁志蓬 于 2009-7-3 1:17:59 修改过]

作者: jiahui7z    时间: 2009-7-2 22:13
建议把片子拍好一点,胸片两边漏了一半,kub又没包全,左肾区感觉有个小结石。
作者: 观影朔征    时间: 2009-7-2 22:28
左侧少量胸腔积液?左侧输尿管上段结石?片子较模糊,l5si左侧水平好像有条形高密度影。
作者: xuyongqi    时间: 2009-7-3 01:31
片子质量不是很好 ,请各位老师原谅、今后本人将努力改正,此病人的ct片已在ct讨论栏里上传。
http://www.radida.com/radinet/read.php?tid=55453
作者: 杀毒软件    时间: 2009-7-3 02:54
支持2,3楼
作者: 987654zwf    时间: 2009-7-3 03:27
支持2,3楼
作者: yanguoliang    时间: 2009-7-3 05:31
结石?
作者: bmw011    时间: 2009-7-3 05:42
左侧胸腔积液,左侧输尿管上段结石。
作者: dyqct    时间: 2009-7-3 05:48
不好做出明确诊断。
作者: 513ytb    时间: 2009-7-3 07:35
不符合条件
作者: yuhongjun    时间: 2009-7-3 13:02
平片可看不出来什么,不能定什么。
作者: leihencan    时间: 2009-7-3 16:38
山寨片
作者: gaoyang8    时间: 2009-7-4 01:21
标题: 回复:x6018:胸部+腹部平片,请会诊
以下是引用yuhongjun在2009-7-3 5:02:00的发言:[br]平片可看不出来什么,不能定什么。

作者: 随光逐影    时间: 2009-7-5 18:21
1)左侧胸腔积液?2)左侧输尿管上段结石可能;建议行进一步检查。
作者: 黑白光影    时间: 2009-7-5 19:04
支持2,3楼。
拍这样的片子师傅要打屁屁滴!
作者: 左击手    时间: 2009-7-5 20:31
左侧少量胸腔积液,左侧输尿管上段结石?
作者: zhanggenliang    时间: 2009-7-11 05:03
左侧少量胸腔积液,左侧输尿管上段结石?
作者: 张辉9999    时间: 2009-7-11 21:09
左侧少量胸腔积液?左侧输尿管上段结石?片子较模糊,l5si左侧水平好像有条形高密度影。
作者: sdzyy    时间: 2010-9-7 19:56
片子质量不是很好
作者: 谨言慎行    时间: 2010-9-8 00:23
是一个人的片子吗
作者: ZHANGZHONGSHOU    时间: 2010-9-8 16:18
这是静脉肾盂造影的片子,输尿管显影,左侧高密度影不在输尿管显影区




欢迎光临 医影在线 (http://bbs.radida.com/bbs/) Powered by Discuz! X3.2