医影在线

标题: CT20910:胰腺病变还是肾上腺病变? [打印本页]

作者: qian    时间: 2009-7-3 05:37
标题: CT20910:胰腺病变还是肾上腺病变?
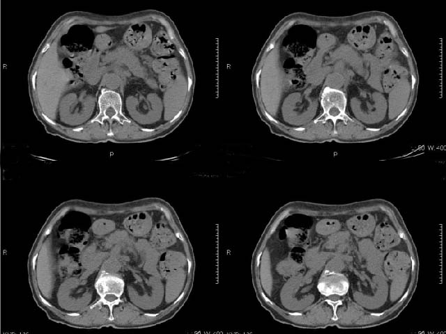
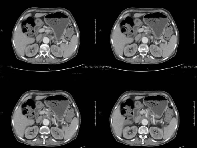
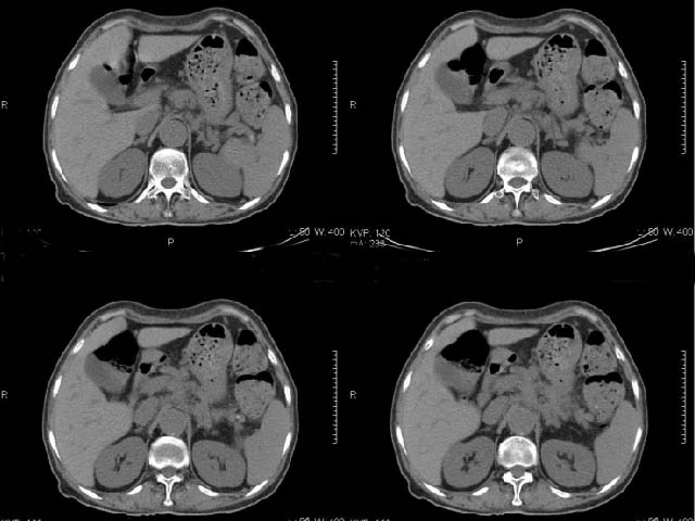
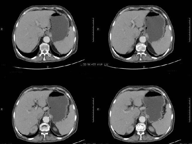
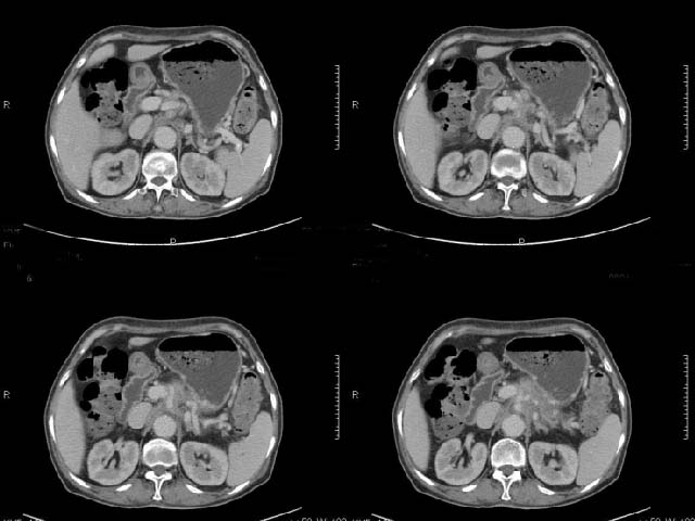
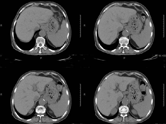
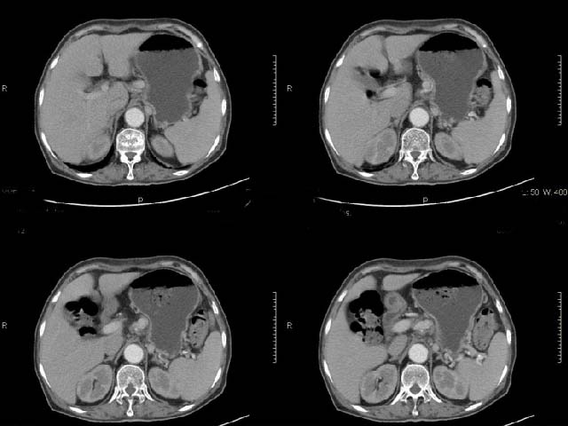
女,69岁,浑身乏力,腹泻半年余,无腹疼,排泄物中含有脂肪球,抗炎治疗一周仍不缓解,来我院检查发现明显低钾血症,给予补钾(氯化钾)一周后,血钾恢复正常,经化验检查,尿钾持续明显高于正常,临床考虑患者不仅消化道失钾,还伴有泌尿系统失钾,故进行ct增强检查看肾上腺是否有病变。ct表现为胰腺肥大,而且体尾部强化较弱,明显呈稍低密度,胰尾见有更低密度,而且胰腺与周围组织的脂肪间隙不清,大血管周围似乎有包绕现象,患者是否有过胰腺炎病史,家属说不清楚;而双侧肾上腺大小形态,本人认为未见异常,本人倾向于考虑:慢性胰腺炎伴假性囊肿,不排除胰腺占位可能;但是不知怎么解释持续尿钾现象。请大家发表高见!
平扫





动脉期





静脉期







[本贴已被 翁志蓬 于 2009-7-3 1:08:20 修改过]

作者: bmw011    时间: 2009-7-3 06:04
支持楼主。持续尿钾现象由临床解决。
作者: yokogawa    时间: 2009-7-3 06:39
标题: 回复:胰腺病变还是肾上腺病变?
以下是引用bmw011在2009-7-2 22:04:00的发言:[br]支持楼主。持续尿钾现象由临床解决。

作者: hufangzhi    时间: 2009-7-3 06:53
支持楼主的意见
作者: 513ytb    时间: 2009-7-3 07:12
胰腺炎
作者: guanaishengming    时间: 2009-7-3 08:06
胰腺肿瘤
作者: jiahui7z    时间: 2009-7-3 08:44
支持并学习
作者: 卜一    时间: 2009-7-3 12:06
支持楼主的意见
作者: yuhongjun    时间: 2009-7-3 12:22
支持楼主的意见
作者: hszhoupeng    时间: 2009-7-3 15:50
血糖是否正常
作者: leijiandepengyo    时间: 2009-7-3 15:56
支持楼主的意见
作者: aka502    时间: 2009-7-3 16:28
支持楼主的意见.
作者: zjzjr    时间: 2009-7-3 16:38
胰腺癌可能性大.
作者: 余辉    时间: 2009-7-3 16:55
女,69岁,浑身乏力,腹泻半年余,无腹疼,排泄物中含有脂肪球,
考虑慢性胰源性腹泻,慢性胰腺炎,胰腺纤维化\\脂变
作者: 深泽交通    时间: 2009-7-3 17:02
建议除外胰腺炎,左肾上腺增生检查
作者: huangyinshan    时间: 2009-7-3 17:43
女,69岁,浑身乏力,腹泻半年余,无腹疼,排泄物中含有脂肪球,
考虑慢性胰源性腹泻,慢性胰腺炎,胰腺纤维化\\脂变
作者: scdlc2008    时间: 2009-7-3 20:18
慢性胰腺炎
作者: 查无此人    时间: 2009-7-3 21:03
不错的贴子.支持你.论坛有你更精彩.
作者: sunbin    时间: 2009-7-3 22:58
支持楼主。
作者: sunhongyan0520    时间: 2009-7-4 19:30
慢性胰腺炎
作者: 随光逐影    时间: 2009-7-5 19:34
考虑慢性胰腺炎,不排除胰腺癌。
作者: 黑白光影    时间: 2009-7-6 18:47
标题: 回复:ct20910:胰腺病变还是肾上腺病变?
以下是引用随光逐影在2009-7-5 11:34:00的发言:[br]考虑慢性胰腺炎,不排除胰腺癌。

作者: jinguoji    时间: 2009-7-6 19:32
支持楼主的意见考虑慢性胰腺炎。
作者: hhhhhh6    时间: 2009-7-7 18:24
标题: 回复:ct20910:胰腺病变还是肾上腺病变?
以下是引用随光逐影在2009-7-5 11:34:00的发言:[br]考虑慢性胰腺炎,不排除胰腺癌。





欢迎光临 医影在线 (http://bbs.radida.com/bbs/) Powered by Discuz! X3.2