



















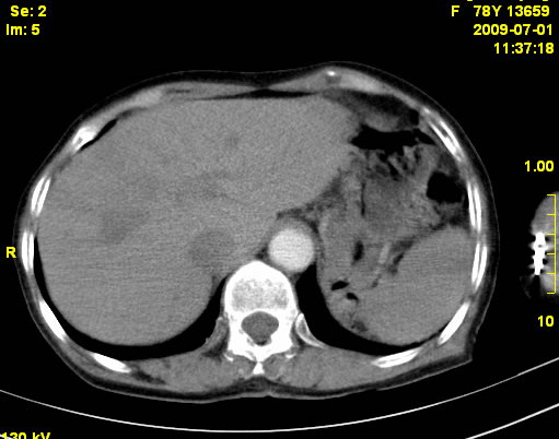
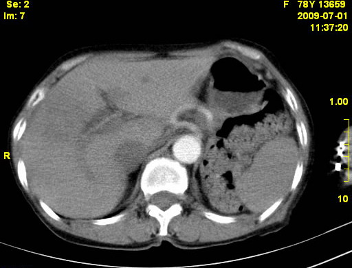
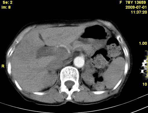
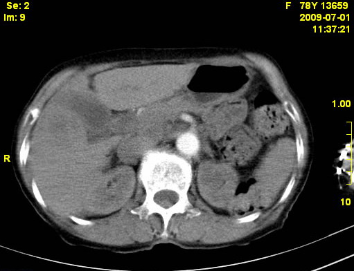
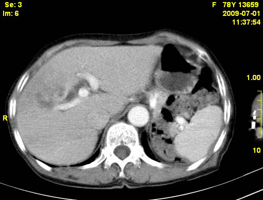
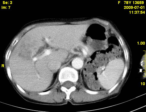
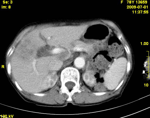
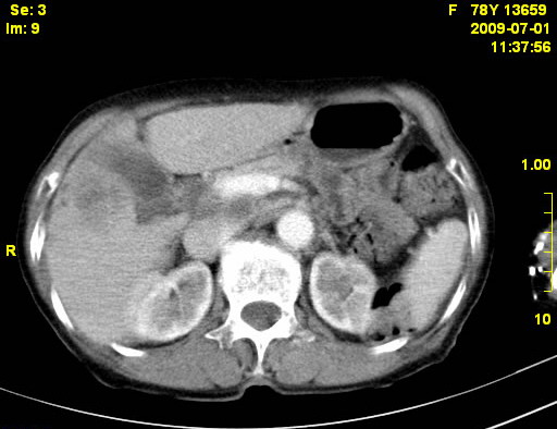
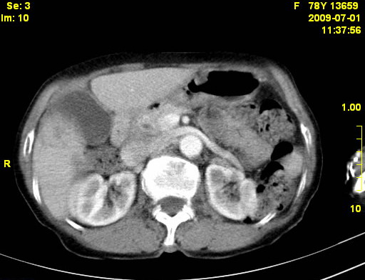
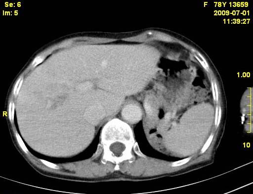
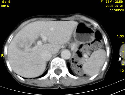
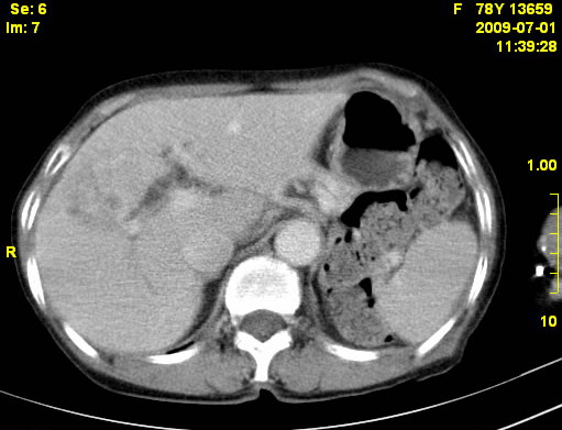
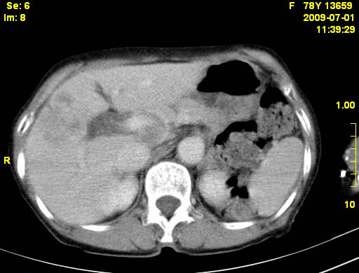
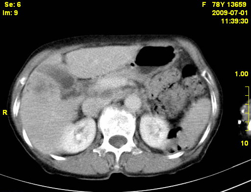
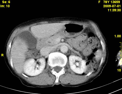
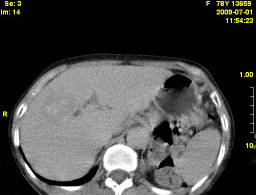
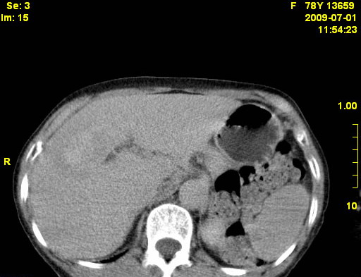
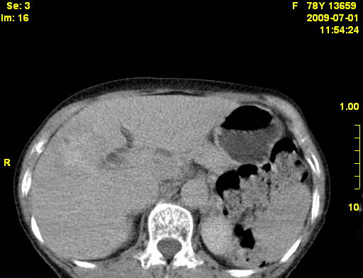
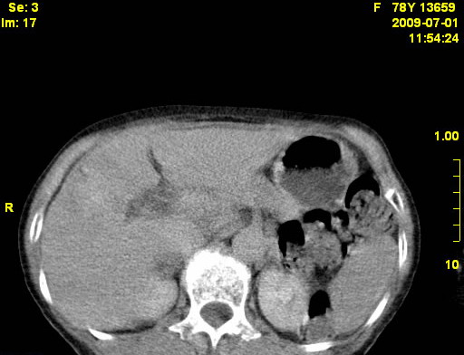
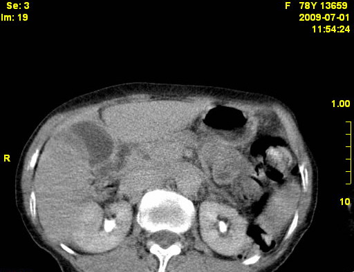
以下是引用zjzjr在2009-7-3 11:02:00的发言:[br]动脉期不均匀强化,门脉期及延迟期强化明显,肝门部见肿大淋巴结影,肝内胆管扩张.考虑肝右叶前段胆管细胞癌伴肝门淋巴结转移,胆内胆管扩张.慢性胆囊炎.
以下是引用dsl555在2009-7-4 10:59:00的发言:[br]考虑肝右叶前段胆管细胞癌伴肝门淋巴结转移,胆内胆管扩张.慢性胆囊炎. [br][br]支持。
| 欢迎光临 医影在线 (http://bbs.radida.com/bbs/) | Powered by Discuz! X3.2 |