医影在线
标题: PED1984:患者,男性,13岁,腰痛尿频一周 [打印本页]
作者: HSXFH 时间: 2009-7-5 09:54
标题: PED1984:患者,男性,13岁,腰痛尿频一周





































[本贴已被 余辉 于 2009-7-5 17:06:22 修改过]
作者: HSXFH 时间: 2009-7-5 10:05
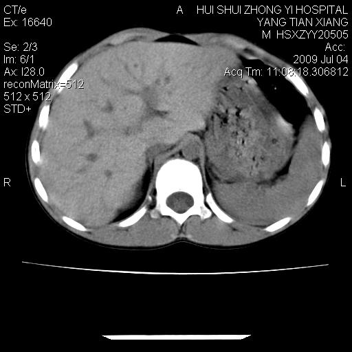
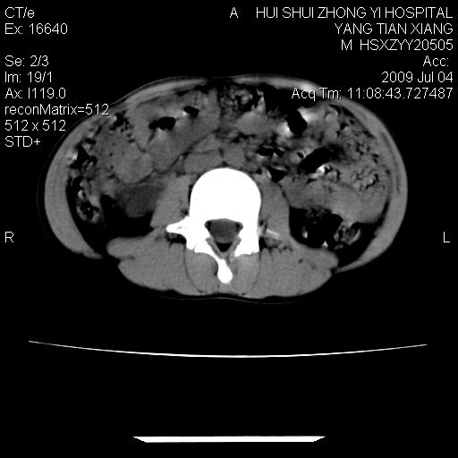
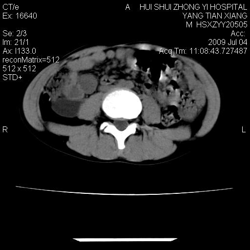
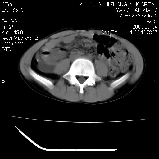
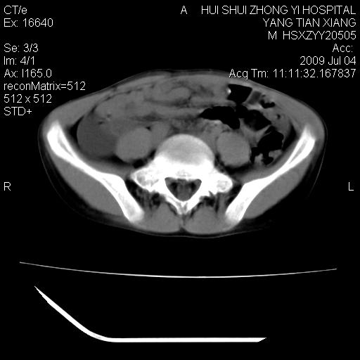
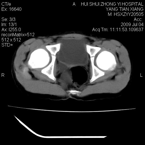
肝右叶胆管内见条状高密度影,脾脏增大,双肾上腺无异常;右肾正常结构消失,其实质内见类圆形低密度灶,ct值范围0-6hu,界清,右输尿管全程伴行多发低密度灶,界清,膀胱壁增厚,腹盆腔未见确切肿大淋巴结。
考虑:1、肝内多发胆管结石并肝内胆管扩张。2、右肾、输尿管多发脂肪瘤,多发平滑肌瘤?建议ct增强检查。4、膀胱壁增厚。
作者: 卜一 时间: 2009-7-5 11:38
先天发育异常——巨输尿管(原发性梗阻性)可能性大!
作者: 513ytb 时间: 2009-7-5 14:23
先天发育异常——巨输尿管(原发性梗阻性)可能性大!
作者: sl789 时间: 2009-7-5 16:24
先天性发育异常(巨输尿管)
作者: 深泽交通 时间: 2009-7-5 17:04
1 肝内胆管结石,2考虑右肾慢性梗阻性积水并发肾萎缩
作者: 987654zwf 时间: 2009-7-5 17:04
右侧巨输尿管可能。
膀胱壁增厚。
建议增强
作者: zjzjr 时间: 2009-7-5 17:47
重复肾盂\\输尿管不除外,建议增强或肾盂造影.
作者: doc张 时间: 2009-7-5 18:40
标题: 回复:患者,男性,13岁,腰痛尿频一周
以下是引用卜一在2009-7-5 3:38:00的发言:[br]先天发育异常——巨输尿管(原发性梗阻性)可能性大!
作者: pujunzhi 时间: 2009-7-5 18:45
标题: 回复:患者,男性,13岁,腰痛尿频一周
以下是引用卜一在2009-7-5 3:38:00的发言:[br]先天发育异常——巨输尿管(原发性梗阻性)可能性大!
支持!
作者: zxl51642 时间: 2009-7-5 19:34
右侧重复肾盂\\输尿管不除外,建议ctu或肾盂造影.
作者: 帅河马 时间: 2009-7-5 20:13
mru
作者: 随光逐影 时间: 2009-7-5 21:30
1)考虑右侧巨输尿管畸形。2)肝内胆管多发性结石。3)脾大。
作者: bmw011 时间: 2009-7-5 21:48
标题: 回复:患者,男性,13岁,腰痛尿频一周
以下是引用zjzjr在2009-7-5 9:47:00的发言:[br]重复肾盂\\输尿管不除外,建议增强或肾盂造影.
作者: zbp537 时间: 2009-7-5 22:47
1、肝内胆管结石。
2、右侧巨输尿管并右肾积水可能性大。
作者: tanjiuzhe313 时间: 2009-7-5 22:48
标题: 回复:患者,男性,13岁,腰痛尿频一周
以下是引用卜一在2009-7-5 3:38:00的发言:[br]先天发育异常——巨输尿管(原发性梗阻性)可能性大!
支持
作者: dyqct 时间: 2009-7-5 22:58
标题: 回复:患者,男性,13岁,腰痛尿频一周
以下是引用随光逐影在2009-7-5 13:30:00的发言:[br]1)考虑右侧巨输尿管畸形。2)肝内胆管多发性结石。3)脾大。
支持!
作者: 余辉 时间: 2009-7-6 01:18
标题: 回复:ped1984:患者,男性,13岁,腰痛尿频一周
以下是引用zjzjr在2009-7-5 9:47:00的发言:[br]重复肾盂\\输尿管不除外,建议增强或肾盂造影.
作者: 拾荒者 时间: 2009-7-31 00:56
标题: 2
右侧巨输尿管并神谕积水,左肾代偿性肥大,脾大,肝内胆管多发结石并胆管扩张。
[本贴已被 拾荒者 于 2009-7-30 16:57:09 修改过]
| 欢迎光临 医影在线 (http://bbs.radida.com/bbs/) |
Powered by Discuz! X3.2 |