医影在线

标题: CT20935:左肾占位,请会诊! [打印本页]

作者: 心愿    时间: 2009-7-6 00:34
标题: CT20935:左肾占位,请会诊!
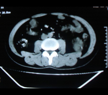
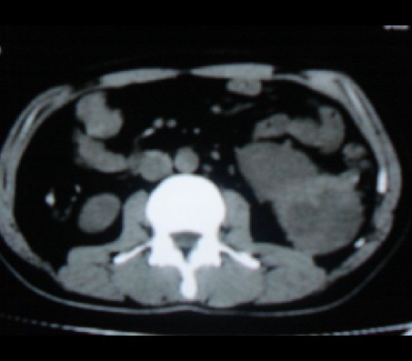
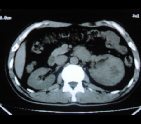
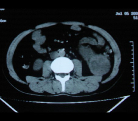
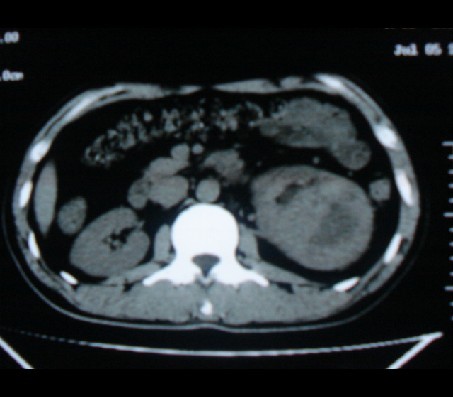
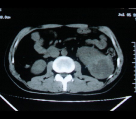
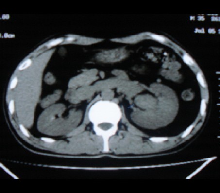
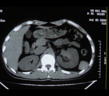
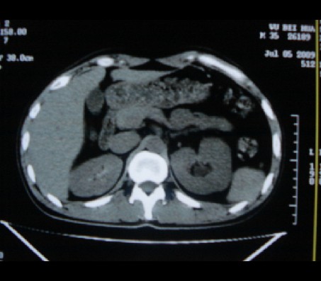
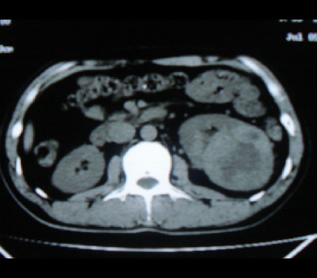
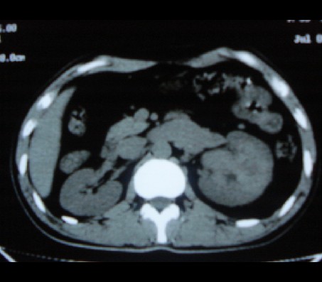
男性,35岁,ct号26189,左侧腰痛并血尿一天入院。














[本贴已被 翁志蓬 于 2009-7-5 17:06:18 修改过]

作者: zjzjr    时间: 2009-7-6 00:38
左肾癌侵犯肾盂可能性大,建议增强.
作者: zbp537    时间: 2009-7-6 00:41
考虑左肾癌可能性大,建议增强扫描。
作者: 随光逐影    时间: 2009-7-6 00:46
左肾癌侵犯肾盂可能性大。
作者: 深泽交通    时间: 2009-7-6 01:18
肾癌出血可能
作者: 王必曦    时间: 2009-7-6 02:19
肾癌侵犯肾盂,肾盂出血,肾盂内为血肿
作者: liyf    时间: 2009-7-6 02:50
左肾癌
作者: 323    时间: 2009-7-6 02:56
肾癌侵犯肾盂,肾盂出血,肾盂内为血肿
作者: dr.yang    时间: 2009-7-6 02:56
标题: 回复:ct20935:左肾占位,请会诊!
以下是引用随光逐影在2009-7-5 16:46:00的发言:[br]左肾癌侵犯肾盂可能性大。

作者: dsl555    时间: 2009-7-6 02:59
肾癌侵犯肾盂,肾盂出血,肾盂内为血肿
作者: 杀毒软件    时间: 2009-7-6 04:05
支持大家
作者: 513ytb    时间: 2009-7-6 04:19
考虑左肾癌可能性大,建议增强扫描。
作者: yz-6023    时间: 2009-7-6 06:26
考虑左肾癌
作者: bmw011    时间: 2009-7-6 06:48
标题: 回复:ct20935:左肾占位,请会诊!
以下是引用zjzjr在2009-7-5 16:38:00的发言:[br]左肾癌侵犯肾盂可能性大,建议增强.

作者: yuhongjun    时间: 2009-7-6 13:43
支持大家意见。
作者: 帅河马    时间: 2009-7-6 15:12
首先考虑恶性肿瘤性病变,考虑左肾癌可能性大,建议增强扫描。
作者: jinguoji    时间: 2009-7-6 17:00
考虑左肾癌可能性大,建议增强扫描。
作者: zxl51642    时间: 2009-7-6 19:59
左肾癌侵犯肾盂可能性大,建议增强
作者: 黑白光影    时间: 2009-7-6 20:38
左肾癌侵犯肾盂可能性大。
作者: hhhhhh6    时间: 2009-7-7 17:49
标题: 回复:ct20935:左肾占位,请会诊!
以下是引用随光逐影在2009-7-5 16:46:00的发言:[br]左肾癌侵犯肾盂可能性大。





欢迎光临 医影在线 (http://bbs.radida.com/bbs/) Powered by Discuz! X3.2