医影在线

标题: CT20936:右肾占位? [打印本页]

作者: 心愿    时间: 2009-7-6 00:37
标题: CT20936:右肾占位?
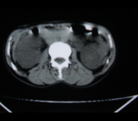
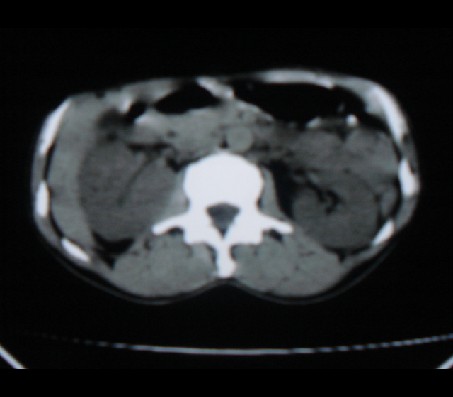
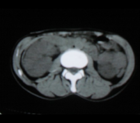
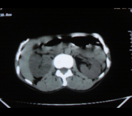
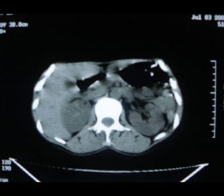
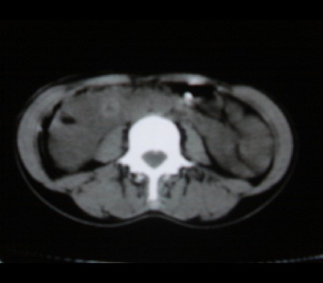
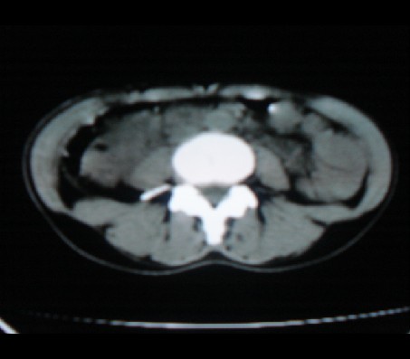
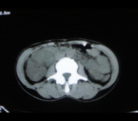
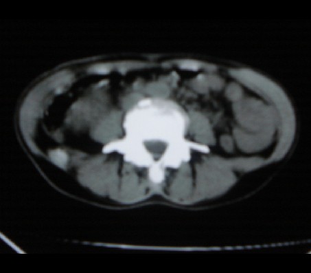
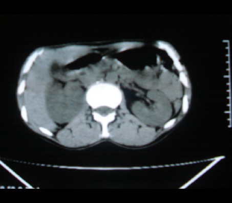
女性,51岁。ct号26154.手术时发现右下腹部包块,b超双肾无明显异常。请会诊!














[本贴已被 翁志蓬 于 2009-7-5 17:06:42 修改过]

作者: 南郭先生    时间: 2009-7-6 00:59
怎么没增强
作者: 深泽交通    时间: 2009-7-6 01:14
右肾弥漫性肿胀,原因?
作者: dr.yang    时间: 2009-7-6 02:59
建议增强
作者: dsl555    时间: 2009-7-6 03:00
增强
作者: 杀毒软件    时间: 2009-7-6 04:03
增强
作者: 子期    时间: 2009-7-6 06:35
黄色肉芽肿性肾盂肾炎?
作者: bmw011    时间: 2009-7-6 06:47
增强
作者: 随光逐影    时间: 2009-7-6 08:16
建议行ct增强扫描检查。
作者: qc80012345    时间: 2009-7-6 13:38
淘汰这台机器吧?影响诊断。
作者: yuhongjun    时间: 2009-7-6 13:40
建议行ct增强扫描检查。
作者: 帅河马    时间: 2009-7-6 15:17
建议行ct增强扫描检查。
作者: jinguoji    时间: 2009-7-6 16:56
建议增强扫描检查。
作者: zxl51642    时间: 2009-7-6 20:01
建议行ct增强扫描检查。
作者: 黑白光影    时间: 2009-7-6 20:41
支持大家行ct增强扫描检查建议。




欢迎光临 医影在线 (http://bbs.radida.com/bbs/) Powered by Discuz! X3.2