医影在线

标题: CT20999:邓主任 用手机拍的 [打印本页]

作者: ft445741743    时间: 2009-7-9 19:59
标题: CT20999:邓主任 用手机拍的








[本贴已被 jiajie 于 2009-7-9 13:09:57 修改过]

作者: 深泽交通    时间: 2009-7-9 20:15
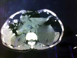
胰腺假囊肿?
作者: ft445741743    时间: 2009-7-9 20:23
患者女  外伤    b超示左肾脏积水    左输尿管扩张    现在法医就是要看有没有肾脏损伤
作者: bmw011    时间: 2009-7-9 21:16
1、肾实质未见异常密度影。
2、结合b超,考虑左输尿管下段梗阻,原因待查。
作者: zjzjr    时间: 2009-7-9 22:52
重度肾积水
作者: 随光逐影    时间: 2009-7-9 22:59
左肾重度积水,原因待查。
作者: chinanyd    时间: 2009-7-9 23:27
肾盂积水,原因待查
作者: LIAOQIANG    时间: 2009-7-10 00:18
左肾重度积水。
作者: zxl51642    时间: 2009-7-10 00:32
1、肾实质未见异常密度影。
2、结合b超,考虑左输尿管下段梗阻,原因待查。
作者: 卜一    时间: 2009-7-10 00:55
左肾重度积水,原因待查。
作者: 余辉    时间: 2009-7-10 01:37
左肾重度积水
作者: 杀毒软件    时间: 2009-7-10 02:26
左肾重度积水,原因待查
作者: dsl555    时间: 2009-7-10 02:31
左肾重度积水,原因待查。
作者: hongtao    时间: 2009-7-10 04:07
左肾重度积水
作者: 康振朝    时间: 2009-7-10 05:01
左肾重度积水,原因待查。
作者: 黑白光影    时间: 2009-7-10 05:19
左肾重度积水,原因待查。
作者: 帅河马    时间: 2009-7-10 08:29
支持哈




欢迎光临 医影在线 (http://bbs.radida.com/bbs/) Powered by Discuz! X3.2