医影在线

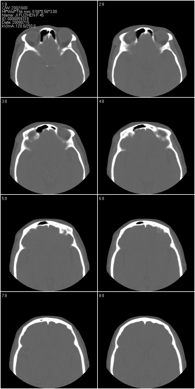
标题: CT21103:女性,45岁。意外发现右眼角颞侧肿物 [打印本页]

作者: sxlcbc    时间: 2009-7-15 17:34
标题: CT21103:女性,45岁。意外发现右眼角颞侧肿物




[本贴已被 jiajie 于 2009-7-15 13:16:32 修改过]

作者: muzi888    时间: 2009-7-15 18:06
右眦部软组织肿物,性质待定。
作者: zhengfaming    时间: 2009-7-15 18:12
右眶眦部软组织肿物,炎性?占位?
作者: zjzjr    时间: 2009-7-15 18:16
表皮样囊肿或皮样囊肿可能性大.
作者: 王仕学    时间: 2009-7-15 18:20
标题: 回复:女性,45岁。意外发现右眼角颞侧肿物
以下是引用zjzjr在2009-7-15 10:16:00的发言:[br]表皮样囊肿或皮样囊肿可能性大.

作者: LIAOQIANG    时间: 2009-7-15 18:43
考虑表皮样囊肿或皮样囊肿可能性大。
作者: sxlcbc    时间: 2009-7-15 18:50
该肿物质地比较硬
作者: 杀毒软件    时间: 2009-7-15 19:14
病灶缺乏脂性密度,又较硬,先考虑---炎性肉芽肿。
作者: 随光逐影    时间: 2009-7-15 19:16
不排除皮样囊肿可能。
作者: 边生丽    时间: 2009-7-15 19:35
病灶缺乏脂性密度,又较硬,先考虑---炎性肉芽肿。
作者: 深泽交通    时间: 2009-7-15 20:20
标题: 回复:女性,45岁。意外发现右眼角颞侧肿物
以下是引用liaoqiang在2009-7-15 10:43:00的发言:[br]考虑表皮样囊肿或皮样囊肿可能性大。

作者: jiangguowu    时间: 2009-7-15 20:24
支持表皮样囊肿或皮样囊肿
作者: 黑白光影    时间: 2009-7-15 21:15
表皮样囊肿或皮样囊肿可能性大
作者: 帅河马    时间: 2009-7-15 21:15
病灶缺乏脂性密度,又较硬,先考虑---炎性肉芽肿。
作者: xinhb120    时间: 2009-7-15 21:19
标题: 回复:ct21103:女性,45岁。意外发现右眼角颞侧肿物
支持一下。
作者: scdlc2008    时间: 2009-7-15 21:22
炎性肉芽肿
作者: bmw011    时间: 2009-7-15 23:56
纤维瘤可能。
作者: swyyy2007    时间: 2009-7-15 23:59
学习了
作者: zxl51642    时间: 2009-7-16 03:37
标题: 回复:ct21103:女性,45岁。意外发现右眼角颞侧肿物
以下是引用bmw011在2009-7-15 15:56:00的发言:[br]纤维瘤可能。

支持!即俗称粉瘤,门诊常见小手术。




欢迎光临 医影在线 (http://bbs.radida.com/bbs/) Powered by Discuz! X3.2