医影在线

标题: X6080:双跟骨轴侧位,有双侧跟骨骨刺形成吗?好像是跟骨结 [打印本页]

作者: 车友谊    时间: 2009-7-16 05:56
标题: X6080:双跟骨轴侧位,有双侧跟骨骨刺形成吗?好像是跟骨结
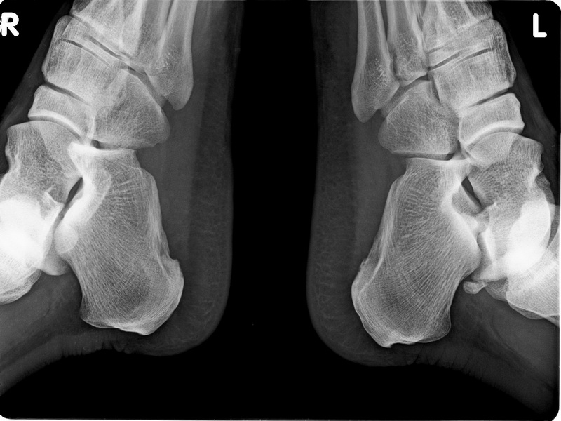
双跟骨轴侧位,有双侧跟骨骨刺形成吗?好像是跟骨结节呀?



[本贴已被 翁志蓬 于 2009-7-16 0:31:04 修改过]

作者: 黑白光影    时间: 2009-7-16 06:08
双侧跟骨下结节处未见明确骨刺形成。
作者: zhanggenliang    时间: 2009-7-16 06:19
没有骨刺形成
作者: 李    时间: 2009-7-16 06:20
未见明显骨刺形成
作者: 帅河马    时间: 2009-7-16 06:39
未见明显骨刺形成
作者: 寻芳者    时间: 2009-7-16 07:09
双侧跟骨下结节处未见明确骨刺形成--------------
作者: qxhxf    时间: 2009-7-16 07:23
未见明显骨刺形成,但是侧位不侧,像斜位
作者: gaoyang8    时间: 2009-7-16 10:25
未见明显骨刺形成
作者: 随光逐影    时间: 2009-7-16 15:06
双侧跟骨未见明显骨刺形成。
作者: 余辉    时间: 2009-7-16 15:06
比较毛糙,还是有骨质增生
作者: 杀毒软件    时间: 2009-7-16 15:33
未见明显骨刺形成
作者: sdynlxt2009    时间: 2009-7-16 16:11
未见明显骨刺形成
作者: zxl51642    时间: 2009-7-16 17:05
双侧跟骨未见明显骨刺形成。
作者: zjgdzq    时间: 2009-7-17 00:24
没有,但可以按骨刺治疗
作者: ft445741743    时间: 2009-7-17 02:02
未见明显骨刺影
作者: dr.yang    时间: 2009-7-17 04:35
标题: 回复:x6080:双跟骨轴侧位,有双侧跟骨骨刺形成吗?好像
以下是引用余辉在2009-7-16 7:06:00的发言:[br]比较毛糙,还是有骨质增生

作者: jiahui7z    时间: 2009-7-17 05:32
双侧跟骨未见明显骨刺形成。
作者: 斌斌    时间: 2009-7-17 06:30
无骨刺形成
作者: 道哥    时间: 2009-7-17 16:07
问题不大啊!
作者: hexue    时间: 2009-7-17 17:07
未见明显异常
作者: jinguoji    时间: 2009-7-17 22:33
双侧跟骨未见明显骨刺形成。
作者: 康振朝    时间: 2009-7-17 23:02
双侧跟骨未见明显骨刺形成。
作者: 车友谊    时间: 2009-7-18 22:46
我认为在私营医院,最多弄个轻度骨质增生诊断,要说双侧跟骨骨刺形成,就太过度了。如是在公立医院我就当正常好了,等以后真得有骨刺了再报也不迟。
作者: 江广1996    时间: 2009-7-18 23:49
双侧跟骨未见明显骨刺形成
作者: 医盲    时间: 2009-7-19 15:50
双跟骨下结节未见明显骨刺形成。
作者: 观影朔征    时间: 2009-7-19 16:57
正常
作者: zhang1957    时间: 2009-7-20 00:20
未见明显骨刺形成。
作者: dyqct    时间: 2009-7-20 17:43
未见明显异常。
作者: shibing    时间: 2014-8-7 10:13
双侧跟骨下结节处未见明确骨刺形成




欢迎光临 医影在线 (http://bbs.radida.com/bbs/) Powered by Discuz! X3.2